Primary Antibodies
Secondary Antibodies
Proteins & Peptides
ELISA Kits
About Us
Contact Us
Sign In/Register
0
ISO 9001:2015 Certified
Live Customer Support
4.5/5 on Trustpilot
100% Quality Guarantee
Home
Primary Antibodies
CD48 Antibodies
Anti-CD48 Antibody (A38819)
Anti-CD48 Antibody (A38819)
Overview
Specifications
Images
Enlarge Image
Enlarge Image
$430
Product Datasheet
Rabbit polyclonal antibody to CD48 for WB and IHC.
100% Guarantee
Price Match Guarantee
Product Size:
100µl
Quantity:
1
2
3
4
5
6
7
8
9
10
Add To Cart
Request a Quotation
Custom or Bulk Request
Shipping Information
Freight/Packing Charges:
$40
Dispatched from St. Louis, MO.
Lead Time: 6-9 business days.
Specifications
Name
Anti-CD48 Antibody
Description
Rabbit polyclonal antibody to CD48
Specificity
The antibody detects endogenous levels of total CD48 protein.
Applications
WB
,
IHC
Reactivity
Human, Mouse
Immunogen
Synthetic peptide corresponding to a region derived from internal residues of human CD48 molecule
Host
Rabbit
Clonality
Polyclonal
Conjugate
Unconjugated
Purification
Antigen affinity purification.
Concentration
2.2 mg/mL
Formulation
Supplied in PBS, pH 7.3, containing 0.05% sodium azide and 50% glycerol.
Storage
Shipped at 4°C. Upon delivery aliquot and store at -20°C. Avoid freeze/thaw cycles.
Synonyms
B-lymphocyte activation marker BLAST-1, BCM1, BCM1 surface antigen, BLAST1, CD48 antigen, Leukocyte antigen MEM-102, Signaling lymphocytic activation molecule 2, SLAM family member 2, SLAMF2, TCT.1
Suitable Secondaries
Goat Anti-Rabbit IgG H&L Antibody (AP) (A294874)
Goat Anti-Rabbit IgG H&L Antibody (Biotin) (A294795)
Goat Anti-Rabbit IgG H&L Antibody (FITC) (A294887)
Goat Anti-Rabbit IgG H&L Antibody (HRP) (A294888)
See all Anti-Rabbit IgG Secondaries →
Disclaimer
This product is for research use only. It is not intended for diagnostic or therapeutic use.
Scientific Validation Data
Validation Data
(2)
Enlarge Image
Anti-CD48 Antibody (A38819)
Gel: 12% SDS-PAGE Lysate: 40ug Raw264.7 cell Primary antibody: 1/550 dilution Secondary antibody dilution: 1/8000 Exposure time: 3 minutes
Enlarge Image
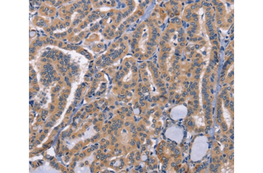
Immunohistochemistry - Anti-CD48 Antibody (A38819)
Immunohistochemical analysis of paraffin-embedded Human thyroid cancer tissue using #37475 at dilution 1/50.
Publishing research using Anti-CD48 Antibody (A38819)? Please
let us know
so that we can list the citation on this page.
Alternative products to Anti-CD48 Antibody (A38819)
(4)
A101511
Anti-CD48 Antibody
Rabbit polyclonal antibody to CD48 for WB, IHC, IF and ELISA.
(5)
A277861
Anti-CD48 Antibody [CD48/4787]
Mouse monoclonal [CD48/4787] antibody to CD48 for WB and IHC-P.
(5)
A278449
Anti-CD48 Antibody [CD48/4787] - BSA and Azide free
Mouse monoclonal [CD48/4787] antibody to CD48 for WB and IHC-P.
(5)
A278448
Anti-CD48 Antibody [CD48/4786] - BSA and Azide free
Mouse monoclonal [CD48/4786] antibody to CD48 for WB and IHC-P.
(5)
A278447
Anti-CD48 Antibody [CD48/4785] - BSA and Azide free
Mouse monoclonal [CD48/4785] antibody to CD48 for WB and IHC-P.
(5)
A278446
Anti-CD48 Antibody [CD48/4784] - BSA and Azide free
Mouse monoclonal [CD48/4784] antibody to CD48 for WB and IHC-P.
(5)
A277860
Anti-CD48 Antibody [CD48/4786]
Mouse monoclonal [CD48/4786] antibody to CD48 for WB and IHC-P.
(5)
A277859
Anti-CD48 Antibody [CD48/4785]
Mouse monoclonal [CD48/4785] antibody to CD48 for WB and IHC-P.
(5)
A277858
Anti-CD48 Antibody [CD48/4784]
Mouse monoclonal [CD48/4784] antibody to CD48 for WB and IHC-P.
(4)
A278445
Anti-CD48 Antibody [CD48/4783] - BSA and Azide free
Mouse monoclonal [CD48/4783] antibody to CD48 for WB and IHC-P.
(2)
A323948
Anti-CD48 Antibody [Research Grade Antibody] - Low endotoxin, Azide free
Recombinant human monoclonal antibody to CD48 for ELISA, FACS, Functional Assay and In Vivo.
(4)
A318652
Anti-CD48 Antibody [DM43] - BSA and Azide free
Recombinant rabbit monoclonal [DM43] antibody to CD48 for ELISA and Flow Cytometry.
(4)
A101511
Anti-CD48 Antibody
Rabbit polyclonal antibody to CD48 for WB, IHC, IF and ELISA.
(5)
A277861
Anti-CD48 Antibody [CD48/4787]
Mouse monoclonal [CD48/4787] antibody to CD48 for WB and IHC-P.
(5)
A278449
Anti-CD48 Antibody [CD48/4787] - BSA and Azide free
Mouse monoclonal [CD48/4787] antibody to CD48 for WB and IHC-P.
(5)
A278448
Anti-CD48 Antibody [CD48/4786] - BSA and Azide free
Mouse monoclonal [CD48/4786] antibody to CD48 for WB and IHC-P.
(5)
A278447
Anti-CD48 Antibody [CD48/4785] - BSA and Azide free
Mouse monoclonal [CD48/4785] antibody to CD48 for WB and IHC-P.
(5)
A278446
Anti-CD48 Antibody [CD48/4784] - BSA and Azide free
Mouse monoclonal [CD48/4784] antibody to CD48 for WB and IHC-P.
(5)
A277860
Anti-CD48 Antibody [CD48/4786]
Mouse monoclonal [CD48/4786] antibody to CD48 for WB and IHC-P.
(5)
A277859
Anti-CD48 Antibody [CD48/4785]
Mouse monoclonal [CD48/4785] antibody to CD48 for WB and IHC-P.
(5)
A277858
Anti-CD48 Antibody [CD48/4784]
Mouse monoclonal [CD48/4784] antibody to CD48 for WB and IHC-P.
(4)
A278445
Anti-CD48 Antibody [CD48/4783] - BSA and Azide free
Mouse monoclonal [CD48/4783] antibody to CD48 for WB and IHC-P.
(2)
A323948
Anti-CD48 Antibody [Research Grade Antibody] - Low endotoxin, Azide free
Recombinant human monoclonal antibody to CD48 for ELISA, FACS, Functional Assay and In Vivo.
(4)
A318652
Anti-CD48 Antibody [DM43] - BSA and Azide free
Recombinant rabbit monoclonal [DM43] antibody to CD48 for ELISA and Flow Cytometry.
See all CD48 Antibodies
Proteins predicted to interact with CD48
Predicted protein interactions based upon String database. Revelancy score correlates with probability of interaction.
CD244 Antibodies
99.9% Relevancy Score
CD2 Antibodies
99.8% Relevancy Score
Lck Antibodies
95.7% Relevancy Score
CD229 Antibodies
94.8% Relevancy Score
SLAMF6 Antibodies
93.9% Relevancy Score
SH2D1A Antibodies
91.5% Relevancy Score
CD84 Antibodies
91.4% Relevancy Score
CD58 Antibodies
90.9% Relevancy Score
CD52 Antibodies
90.3% Relevancy Score
Top