ISO 9001:2015 Certified
Live Customer Support
4.5/5 on Trustpilot
100% Quality Guarantee

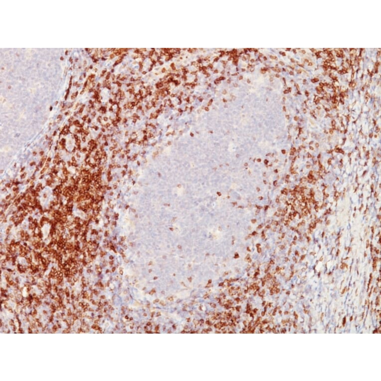
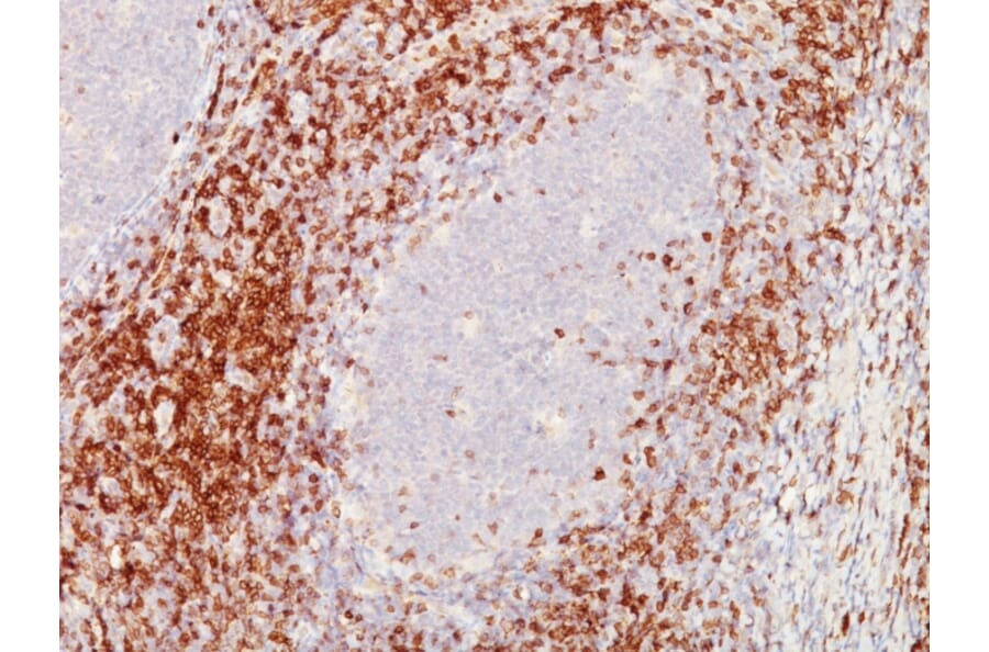
Anti-CD5 Antibody [C5/473 + CD5/54/F6] - BSA and Azide free (A253711)

Mouse monoclonal [C5/473 + CD5/54/F6] antibody to CD5 for ELISA and IHC-P.

Alternative Formats and ConjugatesAlternative Formats

Shipping Information

$40
Dispatched from St. Louis, MO.
Lead Time: 5-8 business days.
Name
Anti-CD5 Antibody [C5/473 + CD5/54/F6] - BSA and Azide free
Description
Mouse monoclonal [C5/473 + CD5/54/F6] antibody to CD5.
Applications
ELISA, IHC-P
Dilutions
ELISA: 1-2 µg/ml, IHC-P: 1-2 µg/ml
Reactivity
Human, Rabbit, Bovine, Rat
Immunogen
Clone C5/473: Recombinant human CD5 protein. Clone CD5/54/F6: A synthetic peptide from the intracellular region of human CD5 protein.
Host
Mouse
Clonality
Oligoclonal
Clone ID
C5/473 + CD5/54/F6
Isotype
IgG1, kappa + IgG1, kappa
Conjugate

Unconjugated

Purification
Protein A/G chromatography.
Concentration
1 mg/ml
Molecular Weight
67 kDa
Product Form
Liquid
Formulation
Supplied in 10mM Phosphate Buffered Saline; without Sodium Azide and carrier free.
Storage
Shipped at 4°C. Upon delivery aliquot and store at -20°C. Avoid freeze / thaw cycles.
General Notes

Please note, this product is an oligoclonal antibody; it is a cocktail of monoclonal antibodies that have been carefully selected. Oligoclonal antibodies not only have the specificity and batch-to-batch consistency of a monoclonal antibody, but they also have the advantage of the sensitivity of a polyclonal antibody due to their ability to recognize multiple epitopes on an antigen.

This oligoclonal antibody is also available in a different formulation with BSA and Sodium Azide - Anti-CD5 Antibody [C5/473 + CD5/54/F6] (A250531).

Synonyms
LEU1, Lymphocyte antigen T1/Leu-1, T-cell surface glycoprotein CD5
Disclaimer
This product is for research use only. It is not intended for diagnostic or therapeutic use.
Publishing research using Anti-CD5 Antibody [C5/473 + CD5/54/F6] - BSA and Azide free (A253711)? Please let us know so that we can list the citation on this page.

Alternative products to Anti-CD5 Antibody [C5/473 + CD5/54/F6] - BSA and Azide free (A253711)

Proteins predicted to interact with CD5

Predicted protein interactions based upon String database. Revelancy score correlates with probability of interaction.
99.7% Relevancy Score
99.4% Relevancy Score
99.4% Relevancy Score
98.5% Relevancy Score
97% Relevancy Score
96.3% Relevancy Score
95.7% Relevancy Score
94.1% Relevancy Score
94% Relevancy Score