ISO 9001:2015 Certified
Live Customer Support
4.5/5 on Trustpilot
100% Quality Guarantee

Anti-CD5 Antibody [CD5/2419] - BSA and Azide free (A253716)

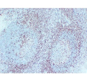
Mouse monoclonal [CD5/2419] antibody to CD5 for IHC-P.

Alternative Formats and ConjugatesAlternative Formats

Shipping Information

$40
Dispatched from St. Louis, MO.
Lead Time: 5-8 business days.
Name
Anti-CD5 Antibody [CD5/2419] - BSA and Azide free
Description
Mouse monoclonal [CD5/2419] antibody to CD5.
Applications
IHC-P
Dilutions
IHC-P: 1-2 µg/ml
Reactivity
Human
Immunogen
Recombinant fragment, around amino acids 269-366, of human CD5 protein. The exact sequence is proprietary.
Host
Mouse
Clonality
Monoclonal
Clone ID
CD5/2419
Isotype
IgG2c
Light Chains
kappa
Conjugate

Unconjugated

Purification
Protein A/G chromatography.
Concentration
1 mg/ml
Molecular Weight
67 kDa
Product Form
Liquid
Formulation
Supplied in 10mM Phosphate Buffered Saline; without Sodium Azide and carrier free.
Storage
Shipped at 4°C. Upon delivery aliquot and store at -20°C. Avoid freeze / thaw cycles.
General Notes
This monoclonal antibody is also available in a different formulation with BSA and Sodium Azide - Anti-CD5 Antibody [CD5/2419] (A250536).
Synonyms
LEU1, Lymphocyte antigen T1/Leu-1, T-cell surface glycoprotein CD5
Disclaimer
This product is for research use only. It is not intended for diagnostic or therapeutic use.
Publishing research using Anti-CD5 Antibody [CD5/2419] - BSA and Azide free (A253716)? Please let us know so that we can list the citation on this page.

Alternative products to Anti-CD5 Antibody [CD5/2419] - BSA and Azide free (A253716)

Proteins predicted to interact with CD5

Predicted protein interactions based upon String database. Revelancy score correlates with probability of interaction.
99.7% Relevancy Score
99.4% Relevancy Score
99.4% Relevancy Score
98.5% Relevancy Score
97% Relevancy Score
96.3% Relevancy Score
95.7% Relevancy Score
94.1% Relevancy Score
94% Relevancy Score