ISO 9001:2015 Certified
Live Customer Support
4.5/5 on Trustpilot
100% Quality Guarantee

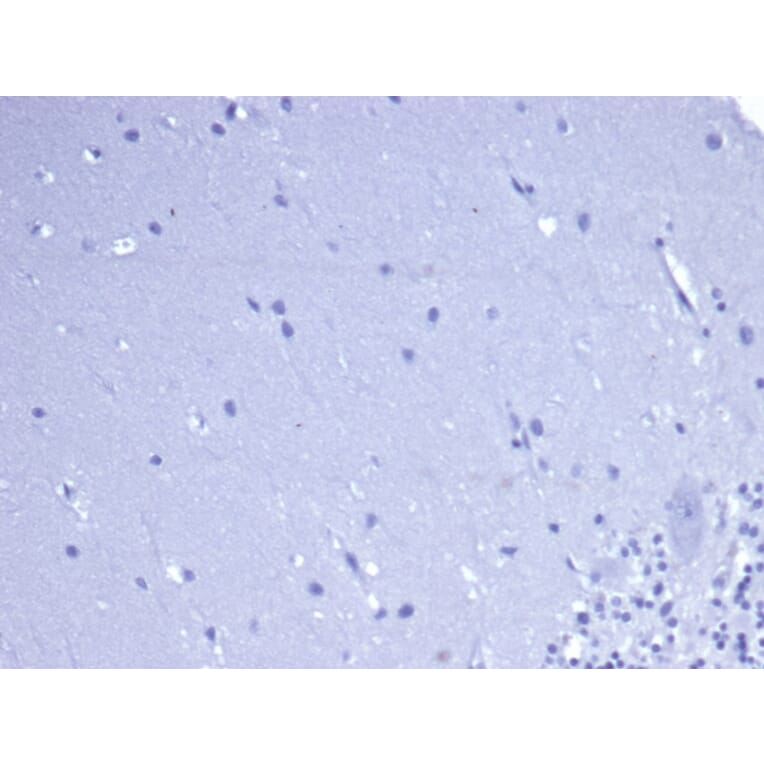
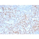
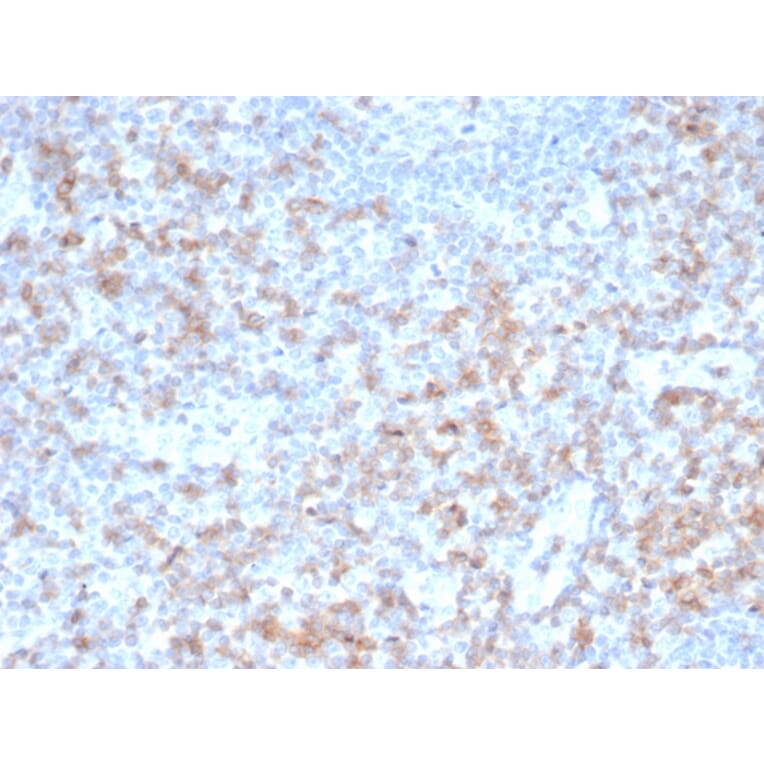
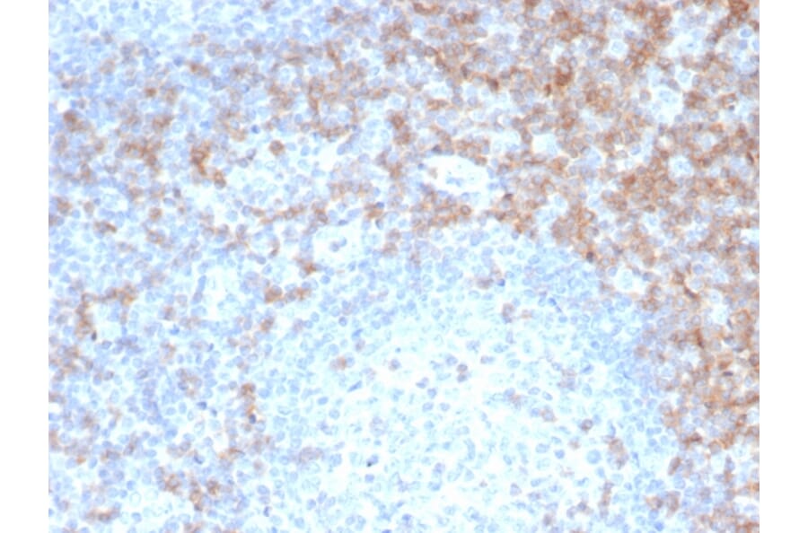
Recombinant Anti-CD5 Antibody [rC5/6462] (A277932)

Recombinant mouse monoclonal [rC5/6462] antibody to CD5 for IHC-P.

Alternative Formats and ConjugatesAlternative Formats

Shipping Information

$40
Dispatched from St. Louis, MO.
Lead Time: 5-8 business days.
Name
Anti-CD5 Antibody [rC5/6462]
Description
Recombinant mouse monoclonal [rC5/6462] antibody to CD5.
Specificity
The CD5 antigen is a transmembrane glycoprotein expressed on the surface of practically all mature human T-cells (about 10% of CD4+ T-cells being CD5 negative). In immature (CD34+) T-cells, CD5 is weakly expressed, the intensity of expression increasing with maturation. CD5 is also expressed in a small subset of normal human B-cells (20% of B-cells in the peripheral blood, scattered cells in the lymph node mantle zone). The CD5+ cells are probably involved in B-T interaction and their ligand is CD72 which is expressed on all B cells. It appears that CD5+ B-cells on activation primarily produce IgM. They also produce more autoantibodies than normal CD5 negative B-cells. Thus, the CD5+ B-cell population is expanded in rheumatoid arthritis and systemic lupus erythematosus. The CD5 antibody reacts with CD5 expressed on B and T cells, and may be a useful aid for the classification of B and T-cell malignancies. This includes B-cell chronic lymphoid leukemia (B-CLL), B-cell small lymphocytic lymphoma (B-SLL), mantle cell lymphoma (MCL) and T-cell lymphoma and leukemia.
Applications
IHC-P
Dilutions
IHC-P: 1-2 µg/ml
Reactivity
Human
Immunogen
Recombinant full-length human CD5 protein.
Host
Mouse
Clonality
Monoclonal
Clone ID
rC5/6462
Isotype
IgG2a
Light Chains
kappa
Conjugate

Unconjugated

Purification
Protein A/G chromatography.
Concentration
200 µg/ml
Molecular Weight
67 kDa
Product Form
Liquid
Formulation
Supplied in 10mM Phosphate Buffered Saline with 0.05% BSA and 0.05% Sodium Azide.
Storage
Shipped at 4°C. Upon delivery aliquot and store at -20°C. Avoid freeze / thaw cycles.
General Notes
This monoclonal antibody is also available in a different formulation without BSA and Sodium Azide - Anti-CD5 Antibody [rC5/6462] - BSA and Azide free (A278520).
Synonyms
LEU1, Lymphocyte antigen T1/Leu-1, T-cell surface glycoprotein CD5
Disclaimer
This product is for research use only. It is not intended for diagnostic or therapeutic use.
Publishing research using Recombinant Anti-CD5 Antibody [rC5/6462] (A277932)? Please let us know so that we can list the citation on this page.

Alternative products to Anti-CD5 Antibody [rC5/6462] (A277932)

Proteins predicted to interact with CD5

Predicted protein interactions based upon String database. Revelancy score correlates with probability of interaction.
99.7% Relevancy Score
99.4% Relevancy Score
99.4% Relevancy Score
98.5% Relevancy Score
97% Relevancy Score
96.3% Relevancy Score
95.7% Relevancy Score
94.1% Relevancy Score
94% Relevancy Score