ISO 9001:2015 Certified
Live Customer Support
4.5/5 on Trustpilot
100% Quality Guarantee

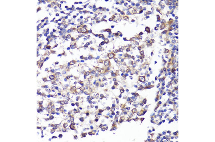
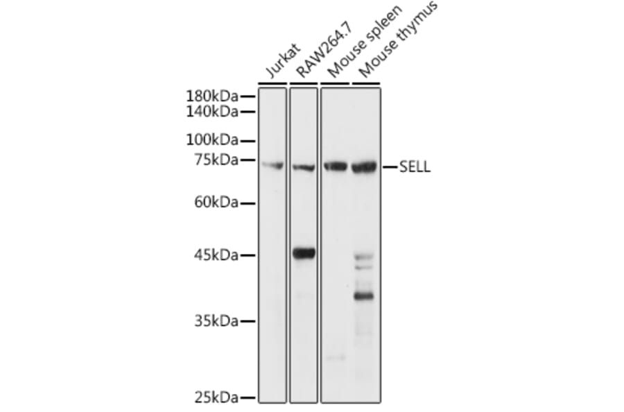
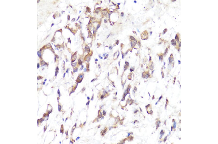
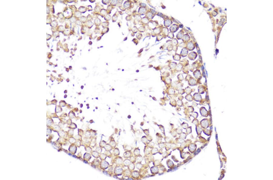
Anti-CD62L Antibody (A13554)

Rabbit polyclonal antibody to CD62L for WB and IHC.

Shipping Information

$40
Dispatched from St. Louis, MO.
Lead Time: 7-10 business days.
Name
Anti-CD62L Antibody
Description
Rabbit polyclonal antibody to CD62L.
Applications
WB, IHC
Dilutions
WB: 1:500-1:1,000, IHC: 1:50-1:200
Reactivity
Human, Mouse, Rat
Immunogen
A synthetic peptide corresponding to a sequence within amino acids 1-100 of human CD62L/L-Selectin (NP_000646.2).
Sequence
MGCRRTREGPSKAMIFPWKCQSTQRDLWNIFKLWGWTMLCCDFLAHHGTDCWTYHYSEKPMNWQRARRFCRDNYTDLVAIQNKAEIEYLEKTLPFSRSYY
Host
Rabbit
Clonality
Polyclonal
Isotype
IgG
Conjugate

Unconjugated

Purification
Affinity purification.
Concentration
Lot Specific
Molecular Weight
75 kDa
Product Form
Liquid
Formulation
Supplied in Phosphate Buffered Saline, pH 7.3, with 50% Glycerol and 0.01% Thiomersal.
Storage
Shipped at 4°C. Upon delivery aliquot and store at -20°C. Avoid freeze/thaw cycles.
Synonyms
CD62 antigen-like family member L, L-selectin, LAM-1, LECAM1, Leukocyte adhesion molecule 1, Leukocyte surface antigen Leu-8, Leukocyte-endothelial cell adhesion molecule 1, LNHR, LYAM1, Lymph node homing receptor, SELL
Disclaimer
This product is for research use only. It is not intended for diagnostic or therapeutic use.
Publishing research using Anti-CD62L Antibody (A13554)? Please let us know so that we can list the citation on this page.

Alternative products to Anti-CD62L Antibody (A13554)

Proteins predicted to interact with CD62L

Predicted protein interactions based upon String database. Revelancy score correlates with probability of interaction.
99.9% Relevancy Score
99.9% Relevancy Score
99.8% Relevancy Score
99.8% Relevancy Score
99.5% Relevancy Score
98.8% Relevancy Score
98.6% Relevancy Score
97.6% Relevancy Score
97% Relevancy Score