ISO 9001:2015 Certified
Live Customer Support
4.5/5 on Trustpilot
100% Quality Guarantee

Anti-SELL Antibody (A29984)

$435

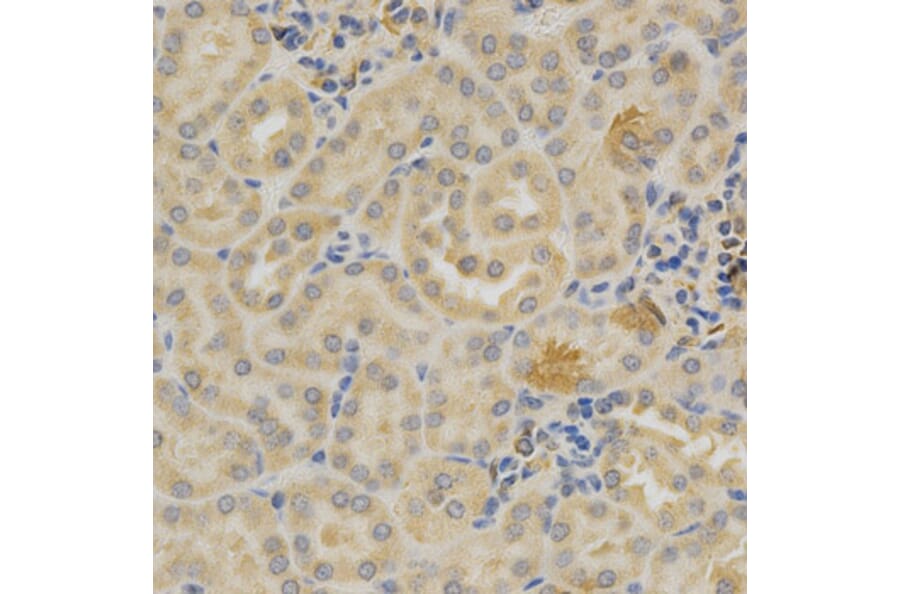
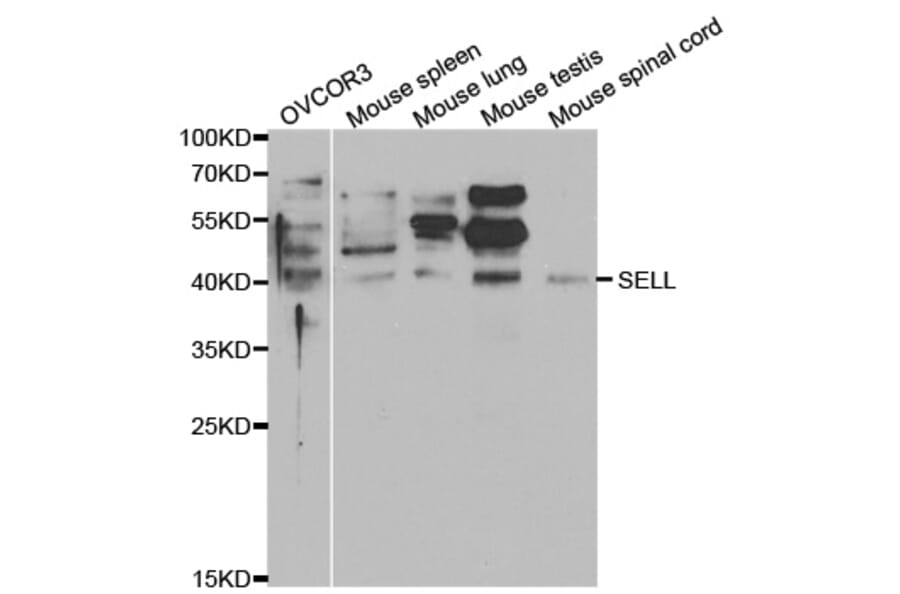
Rabbit polyclonal antibody to SELL for WB and IHC.

Shipping Information

$40
Dispatched from St. Louis, MO.
Lead Time: 7-10 business days.
Name
Anti-SELL Antibody
Description
Rabbit polyclonal antibody to SELL
Specificity
SELL pAb detects endogenous levels of SELL protein.
Applications
WB, IHC
Reactivity
Human, Mouse, Rat
Immunogen
Recombinant full length Human SELL.
Host
Rabbit
Clonality
Polyclonal
Conjugate

Unconjugated

Molecular Weight
~ 42 kDa
Purity
The antibody was affinity-purified from rabbit antiserum by affinity-chromatography using epitope-specific immunogen and the purity is > 95% (by SDS-PAGE).
Product Form
1mg/ml in PBS with 0.1% Sodium Azide, 50% Glycerol.
Synonyms
CD62 antigen-like family member L, L-selectin, LAM-1, LECAM1, Leukocyte adhesion molecule 1, Leukocyte surface antigen Leu-8, Leukocyte-endothelial cell adhesion molecule 1, LNHR, LYAM1, Lymph node homing receptor
Disclaimer
This product is for research use only. It is not intended for diagnostic or therapeutic use.
Publishing research using Anti-SELL Antibody (A29984)? Please let us know so that we can list the citation on this page.

Alternative products to Anti-SELL Antibody (A29984)

Proteins predicted to interact with CD62L

Predicted protein interactions based upon String database. Revelancy score correlates with probability of interaction.
99.9% Relevancy Score
99.9% Relevancy Score
99.8% Relevancy Score
99.8% Relevancy Score
99.5% Relevancy Score
98.8% Relevancy Score
98.6% Relevancy Score
97.6% Relevancy Score
97% Relevancy Score