ISO 9001:2015 Certified
Live Customer Support
4.5/5 on Trustpilot
100% Quality Guarantee

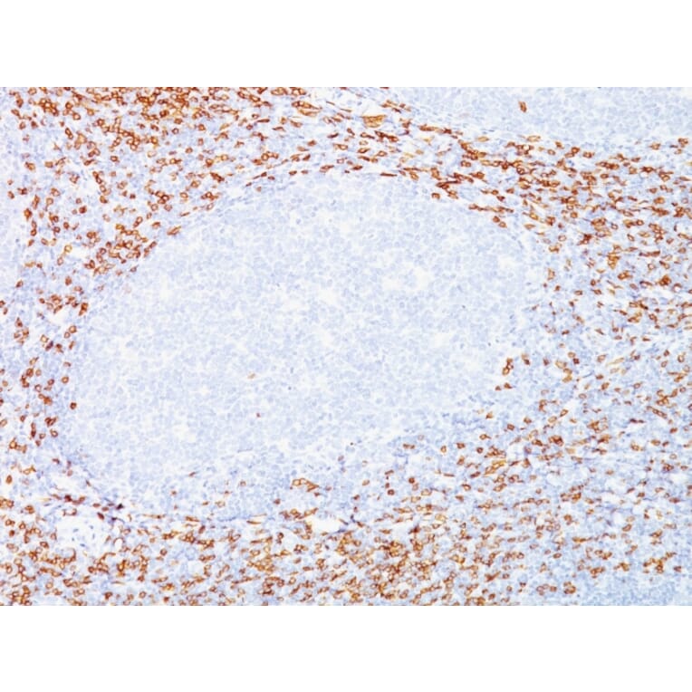
Anti-CD8A Antibody [C8/468 + C8/144B] - BSA and Azide free (A253739)

Mouse monoclonal [C8/468 + C8/144B] antibody to CD8A for IHC-P.

Alternative Formats and ConjugatesAlternative Formats

Shipping Information

$40
Dispatched from St. Louis, MO.
Lead Time: 5-8 business days.
Name
Anti-CD8A Antibody [C8/468 + C8/144B] - BSA and Azide free
Description
Mouse monoclonal [C8/468 + C8/144B] antibody to CD8A.
Applications
IHC-P
Dilutions
IHC-P: 1-2 µg/ml
Reactivity
Human
Immunogen
Clone C8/468: Recombinant human CD8 protein. Clone C8/144B: Synthetic peptide corresponding to 13 amino acids from the C terminal cytoplasmic domain of alpha chain of human CD8 molecule.
Host
Mouse
Clonality
Oligoclonal
Clone ID
C8/468 + C8/144B
Isotype
IgG1, kappa + IgG1, kappa
Conjugate

Unconjugated

Purification
Protein A/G chromatography.
Concentration
1 mg/ml
Molecular Weight
32 kDa
Product Form
Liquid
Formulation
Supplied in 10mM Phosphate Buffered Saline; without Sodium Azide and carrier free.
Storage
Shipped at 4°C. Upon delivery aliquot and store at -20°C. Avoid freeze / thaw cycles.
General Notes

Please note, this product is an oligoclonal antibody; it is a cocktail of monoclonal antibodies that have been carefully selected. Oligoclonal antibodies not only have the specificity and batch-to-batch consistency of a monoclonal antibody, but they also have the advantage of the sensitivity of a polyclonal antibody due to their ability to recognize multiple epitopes on an antigen.

This oligoclonal antibody is also available in a different formulation with BSA and Sodium Azide - Anti-CD8A Antibody [C8/468 + C8/144B] (A250559).

Synonyms
MAL, T-cell surface glycoprotein CD8 alpha chain, T-lymphocyte differentiation antigen T8/Leu-2
Disclaimer
This product is for research use only. It is not intended for diagnostic or therapeutic use.
Publishing research using Anti-CD8A Antibody [C8/468 + C8/144B] - BSA and Azide free (A253739)? Please let us know so that we can list the citation on this page.

Alternative products to Anti-CD8A Antibody [C8/468 + C8/144B] - BSA and Azide free (A253739)

Proteins predicted to interact with CD8 alpha

Predicted protein interactions based upon String database. Revelancy score correlates with probability of interaction.
99.9% Relevancy Score
99.9% Relevancy Score
99.9% Relevancy Score
99.9% Relevancy Score
99.9% Relevancy Score
99.8% Relevancy Score
99.8% Relevancy Score
99.8% Relevancy Score
99.8% Relevancy Score