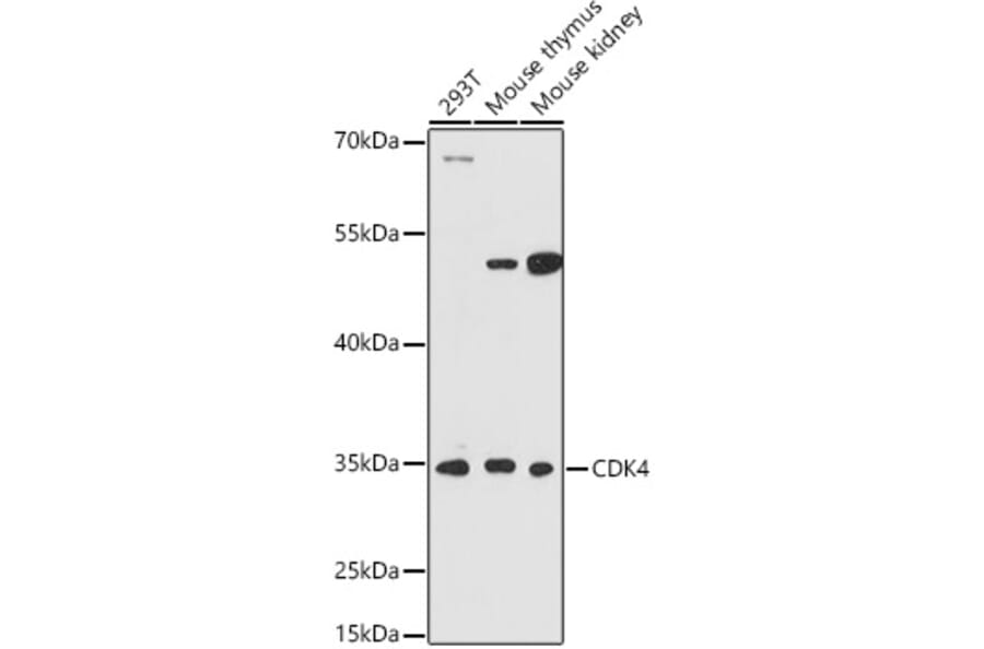
Western blot analysis of extracts of various cell lines, using Anti-Cdk4 Antibody (A309050) at 1:1,000 dilution. The secondary antibody was Goat Anti-Rabbit IgG H&L Antibody (HRP) at 1:10,000 dilution. Lysates/proteins were present at 25µg per lane. The blocking buffer used was 3% non-fat dry milk in TBST. Detection was with a ECL Basic Kit. Exposure time: 60s.
Western blot analysis of extracts of 293T cells, using Anti-Cdk4 Antibody (A309050) at 1:1,000 dilution. The secondary antibody was Goat Anti-Rabbit IgG H&L Antibody (HRP) at 1:10,000 dilution. Lysates/proteins were present at 25µg per lane. The blocking buffer used was 3% non-fat dry milk in TBST. Detection was with a ECL Basic Kit. Exposure time: 60s.
Western blot analysis of extracts from wild type (WT) and CDK4 knockout (KO) HeLa cells, using Anti-Cdk4 Antibody (A309050) at 1:1,000 dilution. The secondary antibody was Goat Anti-Rabbit IgG H&L Antibody (HRP) at 1:10,000 dilution. Lysates/proteins were present at 25µg per lane. The blocking buffer used was 3% non-fat dry milk in TBST. Detection was with a ECL Basic Kit. Exposure time: 60s.
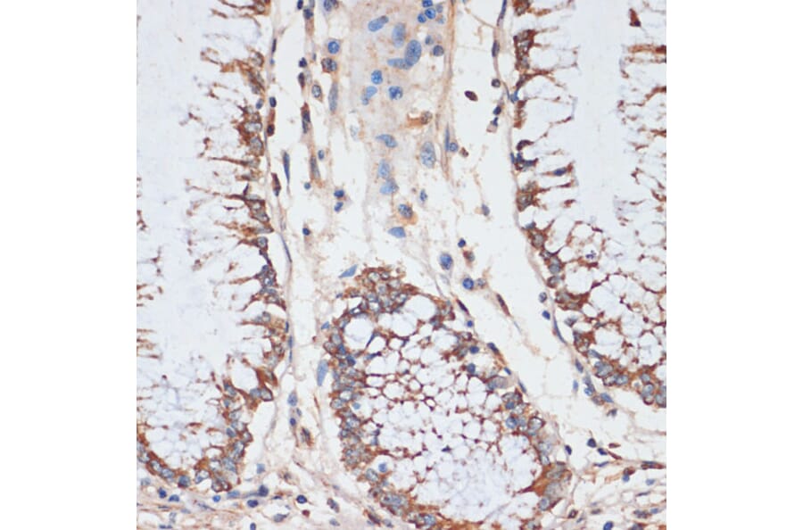
Immunohistochemistry analysis of paraffin-embedded human colon tissue using Anti-Cdk4 Antibody (A309050) at a dilution of 1:100 (40x lens). Perform microwave antigen retrieval with 10 mM PBS buffer pH 7.2 before commencing with IHC staining protocol.
Immunofluorescence analysis of NIH/3T3 using Anti-Cdk4 Antibody (A309050) at a dilution of 1:100 (40x lens). DAPI was used to stain the cell nuclei (blue).
Immunoprecipitation analysis of 200µg extracts of 293T cells using 3µg of Anti-Cdk4 Antibody (A309050). This Western blot was performed on the immunoprecipitate using Anti-Cdk4 Antibody (A309050) at a dilution of 1:1000.