Primary Antibodies
Secondary Antibodies
Proteins & Peptides
ELISA Kits
About Us
Contact Us
Sign In/Register
0
ISO 9001:2015 Certified
Live Customer Support
4.5/5 on Trustpilot
100% Quality Guarantee
Home
Primary Antibodies
CDX2 Antibodies
Anti-CDX2 Antibody (A34156)
Anti-CDX2 Antibody (A34156)
Overview
Specifications
Images
Enlarge Image
Enlarge Image
Enlarge Image
$430
Product Datasheet
Mouse monoclonal antibody to CDX2 for WB, IP and ICC/IF.
100% Guarantee
Price Match Guarantee
Product Size:
100µl
Quantity:
1
2
3
4
5
6
7
8
9
10
Add To Cart
Request a Quotation
Custom or Bulk Request
Shipping Information
Freight/Packing Charges:
$40
Dispatched from St. Louis, MO.
Lead Time: 6-9 business days.
Specifications
Name
Anti-CDX2 Antibody
Description
Mouse monoclonal antibody to CDX2
Specificity
This antibody detects endogenous levels of CDX2,and does not cross-react with related proteins.
Applications
WB
,
IP
,
ICC/IF
Dilutions
Western blotting: 1:1000
Reactivity
Human, Monkey, Mouse
Immunogen
Purified recombinant human CDX2 protein fragments expressed in E.coli
Host
Mouse
Clonality
Monoclonal
Isotype
lgG2b
Conjugate
Unconjugated
Purification
Affinity purified
Formulation
Purified mouse monoclonal in PBS(pH 7.4)containing with 0.2% sodium azide,50% glycerol.
Storage
Shipped at 4°C. Upon delivery aliquot and store at -20°C. Avoid freeze/thaw cycles.
Synonyms
Caudal-type homeobox protein 2, CDX-3, CDX3, Homeobox protein CDX-2
Suitable Secondaries
Goat Anti-Mouse IgG H&L Antibody (AP) (A301438)
Goat Anti-Mouse IgG H&L Antibody (Biotin) (A301439)
Goat Anti-Mouse IgG H&L Antibody (FITC) (A301669)
Goat Anti-Mouse IgG H&L Antibody (HRP) (A301445)
See all Anti-Mouse IgG Secondaries →
Disclaimer
This product is for research use only. It is not intended for diagnostic or therapeutic use.
Scientific Validation Data
Validation Data
(3)
Enlarge Image
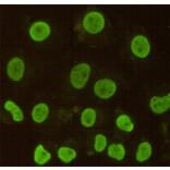
Immunocytochemistry - Anti-CDX2 Antibody (A34156)
Immunocytochemistry stain of Hela using CDX2 antibody (1: 100).
Enlarge Image
Anti-CDX2 Antibody (A34156)
Western blot detection of CDX2 in Hela,Caco2,C2C12,SW480,COS7,HepG2 & 3T3 cell lysates using CDX2 antibody (1: 1000 diluted).Predicted band size: 34KDa,Observed band size: 34KDa.
Enlarge Image
Immunoprecipitation - Anti-CDX2 Antibody (A34156)
Immunoprecipitation analysis of Hela cell lysate using CDX2 antibody.
Publishing research using Anti-CDX2 Antibody (A34156)? Please
let us know
so that we can list the citation on this page.
Alternative products to Anti-CDX2 Antibody (A34156)
(8)
A308015
Anti-CDX2 Antibody [ARC0450]
Rabbit monoclonal [ARC0450] antibody to CDX2 for WB, IHC, ICC/IF and IP.
(2)
A54972
Anti-CDX2 Antibody
Rabbit polyclonal antibody to CDX2 for ELISA, IHC, IP and WB.
(4)
A309330
Anti-CDX2 Antibody [ARC3070]
Rabbit monoclonal [ARC3070] antibody to CDX2 for WB and IHC.
(3)
A34157
Anti-CDX2 Antibody
Mouse monoclonal antibody to CDX2 for WB, IP and ICC/IF.
(3)
A93194
Anti-CDX2 Antibody
Rabbit polyclonal antibody to CDX2 for IHC-P and ELISA.
(2)
A48432
Anti-CDX2 Antibody
Rabbit polyclonal antibody to CDX2 for ELISA, WB and IHC.
(2)
A36173
Anti-CDX2 Antibody
Mouse monoclonal antibody to CDX2 for WB, ICC/IF and IHC.
(2)
A13560
Anti-CDX2 Antibody
Rabbit polyclonal antibody to CDX2 for WB and ICC/IF.
(3)
A248115
Anti-CDX2 Antibody [CDX2/2951R]
Recombinant rabbit monoclonal [CDX2/2951R] antibody to CDX2 for ELISA and IHC-P.
(4)
A248111
Anti-CDX2 Antibody [CDX2/1690]
Mouse monoclonal [CDX2/1690] antibody to CDX2 for ELISA and IHC-P.
(4)
A251294
Anti-CDX2 Antibody [CDX2/1690] - BSA and Azide free
Mouse monoclonal [CDX2/1690] antibody to CDX2 for ELISA and IHC-P.
A54971
Anti-CDX2 Antibody
Rabbit polyclonal antibody to CDX2 for ELISA, IMM and WB.
(8)
A308015
Anti-CDX2 Antibody [ARC0450]
Rabbit monoclonal [ARC0450] antibody to CDX2 for WB, IHC, ICC/IF and IP.
(2)
A54972
Anti-CDX2 Antibody
Rabbit polyclonal antibody to CDX2 for ELISA, IHC, IP and WB.
(4)
A309330
Anti-CDX2 Antibody [ARC3070]
Rabbit monoclonal [ARC3070] antibody to CDX2 for WB and IHC.
(3)
A34157
Anti-CDX2 Antibody
Mouse monoclonal antibody to CDX2 for WB, IP and ICC/IF.
(3)
A93194
Anti-CDX2 Antibody
Rabbit polyclonal antibody to CDX2 for IHC-P and ELISA.
(2)
A48432
Anti-CDX2 Antibody
Rabbit polyclonal antibody to CDX2 for ELISA, WB and IHC.
(2)
A36173
Anti-CDX2 Antibody
Mouse monoclonal antibody to CDX2 for WB, ICC/IF and IHC.
(2)
A13560
Anti-CDX2 Antibody
Rabbit polyclonal antibody to CDX2 for WB and ICC/IF.
(3)
A248115
Anti-CDX2 Antibody [CDX2/2951R]
Recombinant rabbit monoclonal [CDX2/2951R] antibody to CDX2 for ELISA and IHC-P.
(4)
A248111
Anti-CDX2 Antibody [CDX2/1690]
Mouse monoclonal [CDX2/1690] antibody to CDX2 for ELISA and IHC-P.
(4)
A251294
Anti-CDX2 Antibody [CDX2/1690] - BSA and Azide free
Mouse monoclonal [CDX2/1690] antibody to CDX2 for ELISA and IHC-P.
A54971
Anti-CDX2 Antibody
Rabbit polyclonal antibody to CDX2 for ELISA, IMM and WB.
See all CDX2 Antibodies
Proteins predicted to interact with CDX2
Predicted protein interactions based upon String database. Revelancy score correlates with probability of interaction.
Cytokeratin 20 Antibodies
92.4% Relevancy Score
OCT4 Antibodies
92.3% Relevancy Score
GATA6 Antibodies
89.4% Relevancy Score
Cytokeratin 7 Antibodies
88.7% Relevancy Score
MUC2 Antibodies
86.8% Relevancy Score
SOX2 Antibodies
86.6% Relevancy Score
HNF1 alpha Antibodies
83.3% Relevancy Score
GLP1 Antibodies
83.1% Relevancy Score
FOXA2 Antibodies
81.3% Relevancy Score
Top