Western Blot - Anti-CDX2 Antibody [ARC0450] (A308015)
Western blot analysis of extracts of various cell lines, using Anti-CDX2 Antibody [ARC0450] (A308015) at 1:1,000 dilution. The secondary antibody was Goat Anti-Rabbit IgG H&L Antibody (HRP) at 1:10,000 dilution. Lysates/proteins were present at 25µg per lane. The blocking buffer used was 3% non-fat dry milk in TBST. Detection was with a ECL Basic Kit. Exposure time: 3min.
Western Blot - Anti-CDX2 Antibody [ARC0450] (A308015)
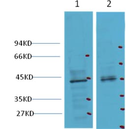
Western blot analysis of extracts from wild type(WT) and CDX2 knockout (KO) 293T cells, using Anti-CDX2 Antibody [ARC0450] (A308015) at 1:500 dilution. The secondary antibody was Goat Anti-Rabbit IgG H&L Antibody (HRP) at 1:10,000 dilution. Lysates/proteins were present at 25µg per lane. The blocking buffer used was 3% non-fat dry milk in TBST. Detection was with a ECL Basic Kit. Exposure time: 30s.
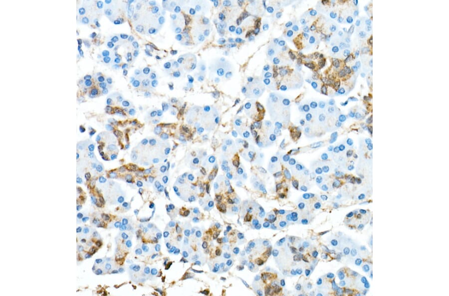
Immunohistochemistry analysis of paraffin-embedded human pancreas using Anti-CDX2 Antibody [ARC0450] (A308015) at a dilution of 1:300 (40x lens). Perform microwave antigen retrieval with 10 mM PBS buffer pH 7.2 before commencing with IHC staining protocol.
Immunohistochemistry analysis of paraffin-embedded human appendix tissue using Anti-CDX2 Antibody [ARC0450] (A308015) at a dilution of 1:300 (40x lens). Perform microwave antigen retrieval with 10 mM PBS buffer pH 7.2 before commencing with IHC staining protocol.
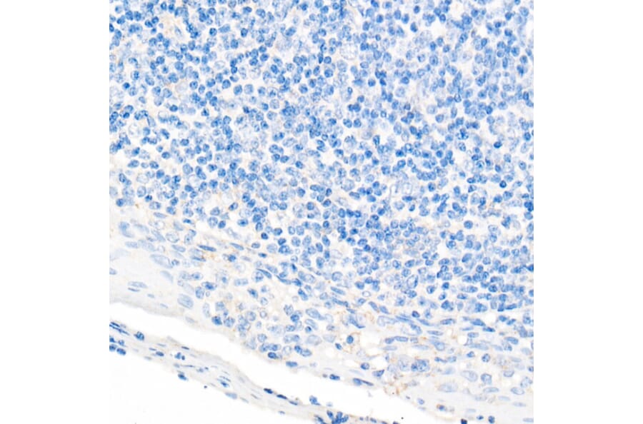
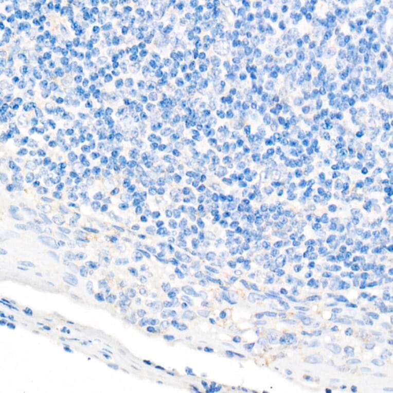
Immunohistochemistry analysis of paraffin-embedded human tonsil (negative control sample) using Anti-CDX2 Antibody [ARC0450] (A308015) at a dilution of 1:300 (40x lens). Perform microwave antigen retrieval with 10 mM PBS buffer pH 7.2 before commencing with IHC staining protocol.
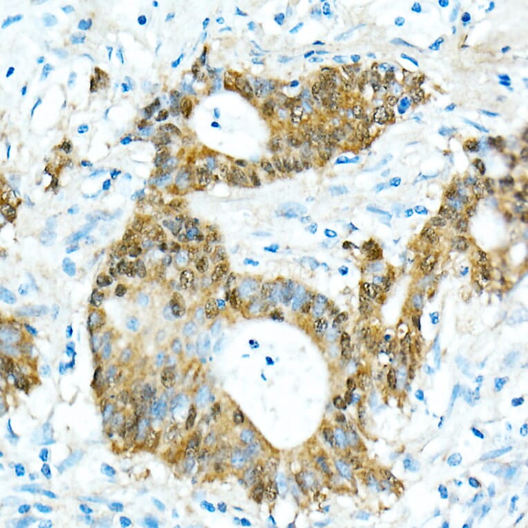
Immunohistochemistry analysis of paraffin-embedded human colon carcinoma tissue using Anti-CDX2 Antibody [ARC0450] (A308015) at a dilution of 1:300 (40x lens). Perform microwave antigen retrieval with 10 mM PBS buffer pH 7.2 before commencing with IHC staining protocol.
Immunofluorescence analysis of mouse colon using Anti-CDX2 Antibody [ARC0450] (A308015) at a dilution of 1:100 (40x lens). DAPI was used to stain the cell nuclei (blue).
Western Blot - Anti-CDX2 Antibody [ARC0450] (A308015)
Immunoprecipitation analysis of 600µg extracts of 293T cells using 3µg of Anti-CDX2 Antibody [ARC0450] (A308015). This Western blot was performed on the immunoprecipitate using Anti-CDX2 Antibody [ARC0450] (A308015) at a dilution of 1:500.