Western Blot - Anti-CDX2 Antibody [ARC3070] (A309330)
Western blot analysis of extracts of SW620 cells, using Anti-CDX2 Antibody [ARC3070] (A309330) at 1:1,000 dilution. The secondary antibody was Goat Anti-Rabbit IgG H&L Antibody (HRP) at 1:10,000 dilution. Lysates/proteins were present at 25µg per lane. The blocking buffer used was 3% non-fat dry milk in TBST. Detection was with a ECL Basic Kit. Exposure time: 10s.
Western Blot - Anti-CDX2 Antibody [ARC3070] (A309330)
Western blot analysis of extracts from wild type(WT) and CDX2 knockout (KO) 293T cells, using Anti-CDX2 Antibody [ARC3070] (A309330) at 1:500 dilution. The secondary antibody was Goat Anti-Rabbit IgG H&L Antibody (HRP) at 1:10,000 dilution. Lysates/proteins were present at 25µg per lane. The blocking buffer used was 3% non-fat dry milk in TBST. Detection was with a ECL Basic Kit. Exposure time: 10s.
Western Blot - Anti-CDX2 Antibody [ARC3070] (A309330)
Western blot analysis of Mouse colon, using Anti-CDX2 Antibody [ARC3070] (A309330) at 1:1,000 dilution. The secondary antibody was Goat Anti-Rabbit IgG H&L Antibody (HRP) at 1:10,000 dilution. Lysates/proteins were present at 25µg per lane. The blocking buffer used was 3% non-fat dry milk in TBST. Detection was with a ECL Basic Kit. Exposure time: 30s.
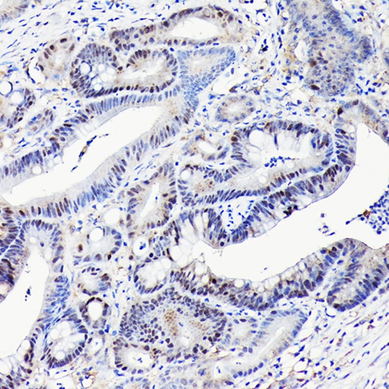
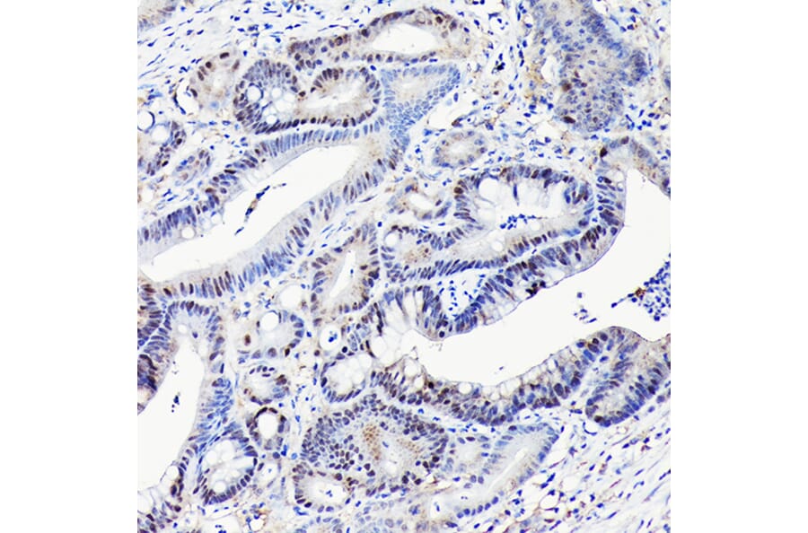
Immunohistochemistry analysis of paraffin-embedded human colon carcinoma tissue using Anti-CDX2 Antibody [ARC3070] (A309330) at a dilution of 1:50 (40x lens). Perform high pressure antigen retrieval with 10 mM citrate buffer pH 6.0 before commencing with IHC staining protocol.
Publishing research using Anti-CDX2 Antibody [ARC3070] (A309330)? Please let us know so that we can list the citation on this page.
Alternative products to Anti-CDX2 Antibody [ARC3070] (A309330)