Notice: Error: The total number of locks exceeds the lock table size
Error No: 1206
INSERT INTO oc_analytics set ip = '', agent = 'Mozilla/5.0 AppleWebKit/537.36 (KHTML, like Gecko; compatible; ClaudeBot/1.0; +claudebot@anthropic.com)', url = '/catalog/primary-antibodies/ck1-epsilon-antibody-a305708', route = 'product/product', port = '62345', country_code ='US', country_name='United States', city='Columbus', organisation='', referrer='', adflag='N', adcampaign='', adurl='', product_id='305708' in D:\wwwroot_antibodies\system\library\db\mysqli.php on line 42 Anti-CK1 epsilon Antibody (A305708) | Antibodies.com
ISO 9001:2015 Certified
Live Customer Support
4.5/5 on Trustpilot
100% Quality Guarantee

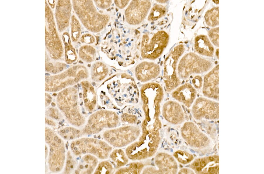
Anti-CK1 epsilon Antibody (A305708)

Rabbit polyclonal antibody to CK1 epsilon for IHC.

Shipping Information

$40
Dispatched from St. Louis, MO.
Lead Time: 7-10 business days.
Name
Anti-CK1 epsilon Antibody
Description
Rabbit polyclonal antibody to CK1 epsilon.
Applications
IHC
Dilutions
IHC: 1:50-1:200
Reactivity
Human
Immunogen
Recombinant fusion protein containing a sequence corresponding to amino acids 247-416 of human CSNK1E (NP_689407.1).
Sequence
EFSTYLNFCRSLRFDDKPDYSYLRQLFRNLFHRQGFSYDYVFDWNMLKFGAARNPEDVDRERREHEREERMGQLRGSATRALPPGPPTGATANRLRSAAEPVASTPASRIQPAGNTSPRAISRVDRERKVSMRLHRGAPANVSSSDLTGRQEVSRIPASQTSVPFDHLGK
Host
Rabbit
Clonality
Polyclonal
Isotype
IgG
Conjugate

Unconjugated

Purification
Affinity purification.
Concentration
Lot Specific
Product Form
Liquid
Formulation
Supplied in Phosphate Buffered Saline, pH 7.3, with 50% Glycerol and 0.02% Sodium Azide.
Storage
Shipped at 4°C. Upon delivery aliquot and store at -20°C. Avoid freeze/thaw cycles.
Synonyms
Casein kinase 1 epsilon, Casein kinase I, Casein kinase I epsilon, Casein kinase I isoform epsilon, CKI epsilon, CKI-epsilon, CKIe, CKIepsilon, CSNK 1E, CSNK1E, DBT, Doubletime, Drosophila, homolog of, EC 2.7.11.1, epsilon isoform, HCK IE, KC1E, KC1E_HUMAN, kinase CK1 epsilon, MGC 10398
Disclaimer
This product is for research use only. It is not intended for diagnostic or therapeutic use.
Publishing research using Anti-CK1 epsilon Antibody (A305708)? Please let us know so that we can list the citation on this page.

Alternative products to Anti-CK1 epsilon Antibody (A305708)