Western blot analysis of extracts of 293T cells, using Anti-CTCF Antibody (A88242) at 1:1,000 dilution. The secondary antibody was Goat Anti-Rabbit IgG H&L Antibody (HRP) at 1:10,000 dilution. Lysates/proteins were present at 25µg per lane. The blocking buffer used was 3% non-fat dry milk in TBST. Detection was with a ECL Basic Kit. Exposure time: 5s.
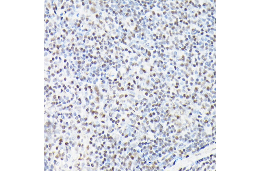
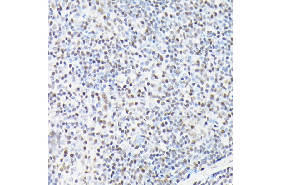
Immunohistochemistry analysis of paraffin-embedded human lung cancer using Anti-CTCF Antibody (A88242) at a dilution of 1:100 (40x lens). Perform high pressure antigen retrieval with 10 mM citrate buffer pH 6.0 before commencing with IHC staining protocol.
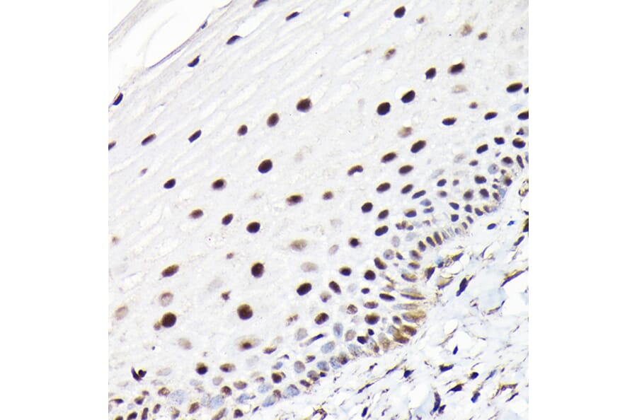
Immunohistochemistry analysis of paraffin-embedded human normal cervix using Anti-CTCF Antibody (A88242) at a dilution of 1:100 (40x lens). Perform high pressure antigen retrieval with 10 mM citrate buffer pH 6.0 before commencing with IHC staining protocol.
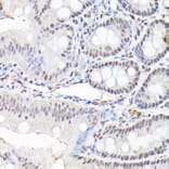
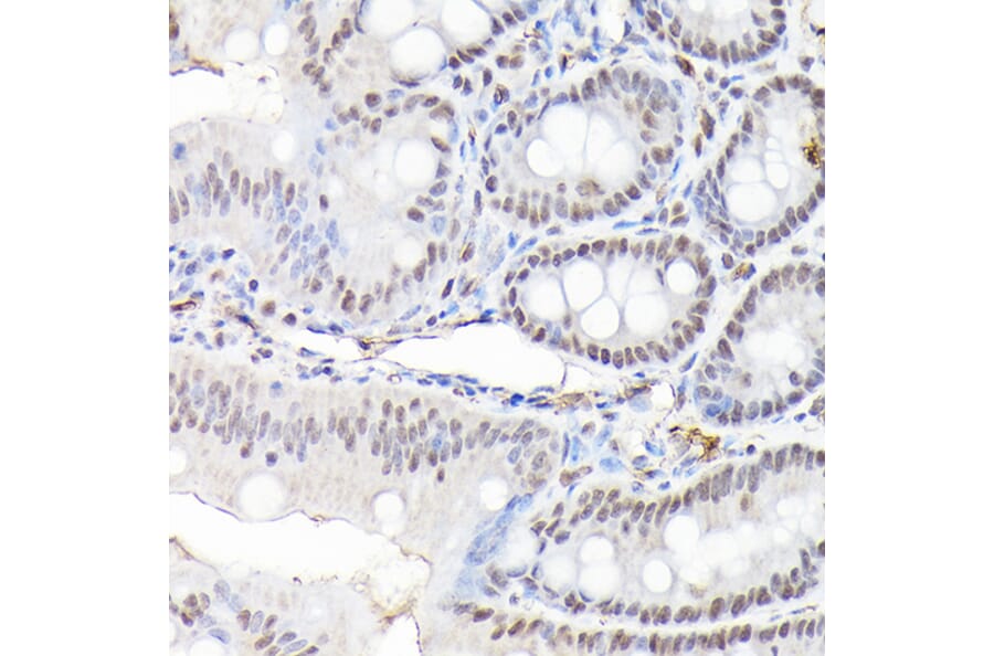
Immunohistochemistry analysis of paraffin-embedded mouse colon using Anti-CTCF Antibody (A88242) at a dilution of 1:100 (40x lens). Perform high pressure antigen retrieval with 10 mM citrate buffer pH 6.0 before commencing with IHC staining protocol.
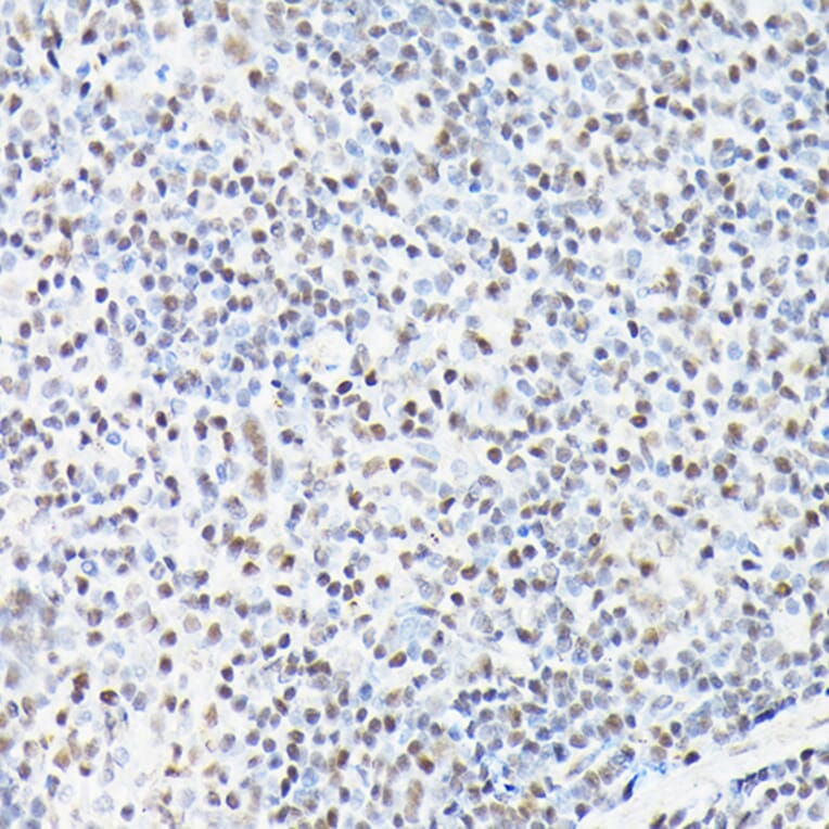
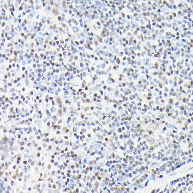
Immunohistochemistry analysis of paraffin-embedded mouse spleen using Anti-CTCF Antibody (A88242) at a dilution of 1:100 (40x lens). Perform high pressure antigen retrieval with 10 mM citrate buffer pH 6.0 before commencing with IHC staining protocol.
Confocal immunofluorescence analysis of Hela cells using Anti-CTCF Antibody (A88242) at a dilution of 1:100. DAPI was used to stain the cell nuclei (blue).
Confocal immunofluorescence analysis of U-2 OS cells using Anti-CTCF Antibody (A88242) at a dilution of 1:100. DAPI was used to stain the cell nuclei (blue).
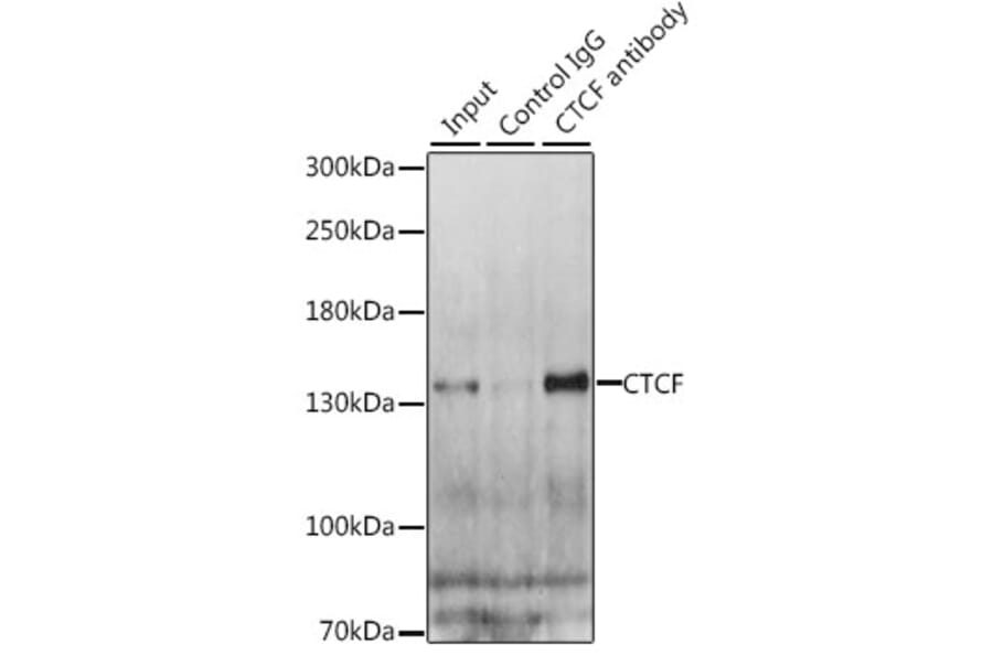
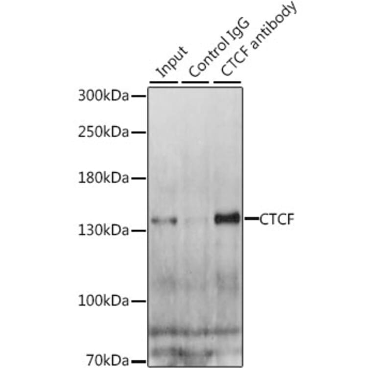
Immunoprecipitation analysis of 200µg extracts of HeLa cells using 3µg of Anti-CTCF Antibody (A88242). This Western blot was performed on the immunoprecipitate using Anti-CTCF Antibody (A88242) at a dilution of 1:1000.
Chromatin immunoprecipitation (ChIP) analysis of extracts of 293T cells, using Anti-CTCF Antibody (A88242) and Rabbit IgG. The amount of immunoprecipitated DNA was checked by quantitative PCR. Histogram was constructed by the ratios of the immunoprecipitated DNA to the input.