ISO 9001:2015 Certified
Live Customer Support
4.5/5 on Trustpilot
100% Quality Guarantee

Anti-Cyclin D1 Antibody [CCND1/2593] - BSA and Azide free (A253039)

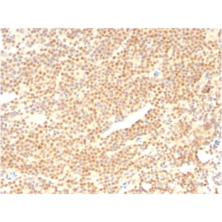
Mouse monoclonal [CCND1/2593] antibody to Cyclin D1 for IHC-P.

Alternative Formats and ConjugatesAlternative Formats

Shipping Information

$40
Dispatched from St. Louis, MO.
Lead Time: 5-8 business days.
Name
Anti-Cyclin D1 Antibody [CCND1/2593] - BSA and Azide free
Description
Mouse monoclonal [CCND1/2593] antibody to Cyclin D1.
Specificity
This antibody recognizes a protein of 36kDa, identified as cyclin D1. Cyclin D1, one of the key cell cycle regulators, is a putative proto-oncogene overexpressed in a wide variety of human neoplasms. This antibody neutralizes the activity of cyclin D1 in vivo. About 60% of mantle cell lymphomas (MCL) contain a t(11; 14)(q13; q32) translocation resulting in over-expression of cyclin D1. This antibody is useful in identifying mantle cell lymphomas (cyclin D1 positive) from CLL/SLL and follicular lymphomas (cyclin D1 negative). Occasionally, hairy cell leukemia and plasma cell myeloma weakly express Cyclin D1.
Applications
IHC-P
Dilutions
IHC-P: 1-2 µg/ml
Reactivity
Human
Immunogen
Recombinant full-length human CCND1 protein.
Host
Mouse
Clonality
Monoclonal
Clone ID
CCND1/2593
Isotype
IgG1
Light Chains
kappa
Conjugate

Unconjugated

Purification
Protein A/G chromatography.
Concentration
1 mg/ml
Molecular Weight
36 kDa
Product Form
Liquid
Formulation
Supplied in 10mM Phosphate Buffered Saline; without Sodium Azide and carrier free.
Storage
Shipped at 4°C. Upon delivery aliquot and store at -20°C. Avoid freeze / thaw cycles.
General Notes
This monoclonal antibody is also available in a different formulation with BSA and Sodium Azide - Anti-Cyclin D1 Antibody [CCND1/2593] (A249859).
Synonyms
B-cell lymphoma 1 protein, BCL-1, BCL-1 oncogene, BCL1, CCND1, G1/S-specific cyclin-D1, PRAD1, PRAD1 oncogene
Disclaimer
This product is for research use only. It is not intended for diagnostic or therapeutic use.
Publishing research using Anti-Cyclin D1 Antibody [CCND1/2593] - BSA and Azide free (A253039)? Please let us know so that we can list the citation on this page.

Alternative products to Anti-Cyclin D1 Antibody [CCND1/2593] - BSA and Azide free (A253039)

Proteins predicted to interact with Cyclin D1

Predicted protein interactions based upon String database. Revelancy score correlates with probability of interaction.
99.9% Relevancy Score
99.9% Relevancy Score
99.9% Relevancy Score
99.9% Relevancy Score
99.9% Relevancy Score
99.8% Relevancy Score
99.8% Relevancy Score
99.8% Relevancy Score
99.8% Relevancy Score