ISO 9001:2015 Certified
Live Customer Support
4.5/5 on Trustpilot
100% Quality Guarantee

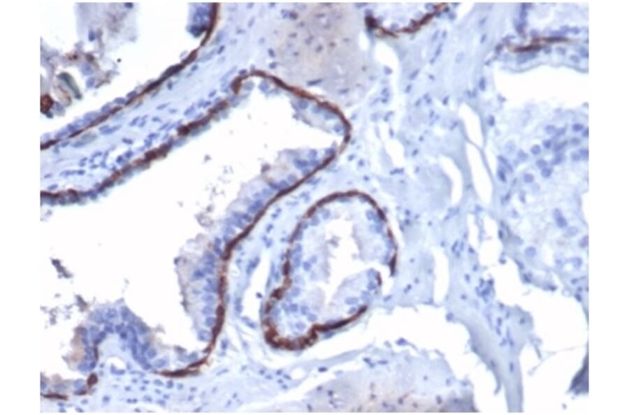
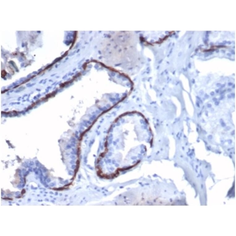
Anti-Cytokeratin 14 Antibody [KRT14/4130] - BSA and Azide free (A278271)

Mouse monoclonal [KRT14/4130] antibody to Cytokeratin 14 for IHC-P.

Alternative Formats and ConjugatesAlternative Formats

Shipping Information

$40
Dispatched from St. Louis, MO.
Lead Time: 5-8 business days.
Name
Anti-Cytokeratin 14 Antibody [KRT14/4130] - BSA and Azide free
Description
Mouse monoclonal [KRT14/4130] antibody to Cytokeratin 14.
Specificity
Cytokeratin 14 (CK14) belongs to the type I (or A or acidic) subfamily of low molecular weight keratins and exists in combination with keratin 5 (type II or B or basic). CK14 is found in basal cells of squamous epithelia, some glandular epithelia, myoepithelium, and mesothelial cells.Anti-CK14 is useful in differentiating squamous cell carcinomas from poorly differentiated epithelial tumors.Anti-CK14 is one of the specific basal markers for distinguishing between basal and non-basal subtypes of breast carcinomas. Anti-CK14 is also a good marker for differentiation of intraductal from invasive salivary duct carcinoma by the positive staining of basal cells surrounding the in-situ neoplasm as well as for differentiation of benign prostate from prostate carcinoma. Furthermore, this antibody has been useful in separating oncocytic tumors of the kidney from its renal mimics, and in identifying metaplastic carcinomas of the breast.
Applications
IHC-P
Dilutions
IHC-P: 1-2 µg/ml
Reactivity
Human
Immunogen
Recombinant fragment, around amino acids 351-472, of human Cytokeratin 14. The exact sequence is proprietary.
Host
Mouse
Clonality
Monoclonal
Clone ID
KRT14/4130
Isotype
IgG2b
Light Chains
kappa
Conjugate

Unconjugated

Purification
Protein A/G chromatography.
Concentration
1 mg/ml
Molecular Weight
50 kDa
Product Form
Liquid
Formulation
Supplied in 10mM Phosphate Buffered Saline; without Sodium Azide and carrier free.
Storage
Shipped at 4°C. Upon delivery aliquot and store at -20°C. Avoid freeze / thaw cycles.
General Notes
This monoclonal antibody is also available in a different formulation with BSA and Sodium Azide - Anti-Cytokeratin 14 Antibody [KRT14/4130] (A277683).
Synonyms
CK-14, Cytokeratin-14, K14, Keratin, type I cytoskeletal 14, Keratin-14, KRT14
Disclaimer
This product is for research use only. It is not intended for diagnostic or therapeutic use.
Publishing research using Anti-Cytokeratin 14 Antibody [KRT14/4130] - BSA and Azide free (A278271)? Please let us know so that we can list the citation on this page.

Alternative products to Anti-Cytokeratin 14 Antibody [KRT14/4130] - BSA and Azide free (A278271)

Proteins predicted to interact with Cytokeratin 14

Predicted protein interactions based upon String database. Revelancy score correlates with probability of interaction.
99.9% Relevancy Score
86.8% Relevancy Score
84.8% Relevancy Score
83.9% Relevancy Score
83.5% Relevancy Score
81.4% Relevancy Score
79% Relevancy Score
77.8% Relevancy Score
77.7% Relevancy Score