ISO 9001:2015 Certified
Live Customer Support
4.5/5 on Trustpilot
100% Quality Guarantee

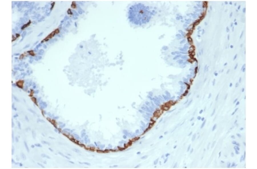
Recombinant Anti-Cytokeratin 14 Antibody [KRT14/4584R] - BSA and Azide free (A278606)

Recombinant rabbit monoclonal [KRT14/4584R] antibody to Cytokeratin 14 for IHC-P.

Alternative Formats and ConjugatesAlternative Formats

Shipping Information

$40
Dispatched from St. Louis, MO.
Lead Time: 5-8 business days.
Name
Anti-Cytokeratin 14 Antibody [KRT14/4584R] - BSA and Azide free
Description
Recombinant rabbit monoclonal [KRT14/4584R] antibody to Cytokeratin 14.
Specificity
Cytokeratin 14 is a member of the type I keratin family of intermediate filament proteins. It always pairs with the type II keratin K5 and form the primary keratin pair of the keratinocytes of stratified squamous epithelia, including the epidermis as well as mucosal non-keratinizing stratified squamous epithelia.Cytokeratin 14 is strongly expressed in the undifferentiated basal cell layer containing the stem cells and are down-regulated in the differentiating suprabasal cell layers. Otherwise, in the widely well stratified follicular outer root sheath, cytokeratin 14 is uniformly expressed throughout all layers. The expression spectrum of cytokeratin 14 in tumors corresponds well to the patterns in normal epithelia. Thus, most squamous cell carcinomas as well as malignant mesotheliomas strongly express this keratin whereas little, focal, or no expression is found in adenocarcinomas.Cytokeratin 14 may be a useful marker in the differential diagnosis of squamous cell carcinoma from other epithelial tumors. Recent studies also indicate that CK14 expression in breast cancer corresponded with poor clinical outcome and that CK14 may have diagnostic value in the sub-classification of NSCLC.
Applications
IHC-P
Dilutions
IHC-P: 1-2 µg/ml
Reactivity
Human
Immunogen
Recombinant fragment, around amino acids 350-472, of human Cytokeratin 14. The exact sequence is proprietary.
Host
Rabbit
Clonality
Monoclonal
Clone ID
KRT14/4584R
Isotype
IgG
Conjugate

Unconjugated

Purification
Protein A/G chromatography.
Concentration
1 mg/ml
Molecular Weight
50 kDa
Product Form
Liquid
Formulation
Supplied in 10mM Phosphate Buffered Saline; without Sodium Azide and carrier free.
Storage
Shipped at 4°C. Upon delivery aliquot and store at -20°C. Avoid freeze / thaw cycles.
General Notes
This monoclonal antibody is also available in a different formulation with BSA and Sodium Azide - Anti-Cytokeratin 14 Antibody [KRT14/4584R] (A278018).
Synonyms
CK-14, Cytokeratin-14, K14, Keratin, type I cytoskeletal 14, Keratin-14, KRT14
Disclaimer
This product is for research use only. It is not intended for diagnostic or therapeutic use.
Publishing research using Recombinant Anti-Cytokeratin 14 Antibody [KRT14/4584R] - BSA and Azide free (A278606)? Please let us know so that we can list the citation on this page.

Alternative products to Anti-Cytokeratin 14 Antibody [KRT14/4584R] - BSA and Azide free (A278606)

Proteins predicted to interact with Cytokeratin 14

Predicted protein interactions based upon String database. Revelancy score correlates with probability of interaction.
99.9% Relevancy Score
86.8% Relevancy Score
84.8% Relevancy Score
83.9% Relevancy Score
83.5% Relevancy Score
81.4% Relevancy Score
79% Relevancy Score
77.8% Relevancy Score
77.7% Relevancy Score