ISO 9001:2015 Certified
Live Customer Support
4.5/5 on Trustpilot
100% Quality Guarantee

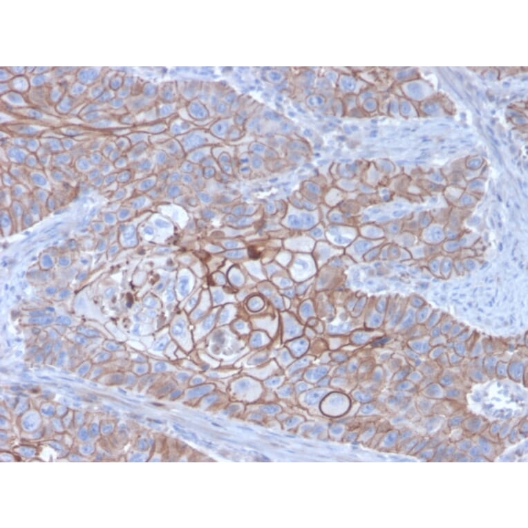
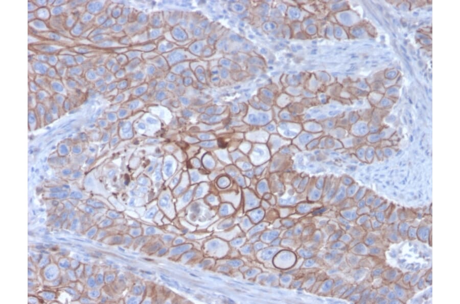
Anti-E Cadherin Antibody [CDH1/3256] - BSA and Azide free (A254002)

Mouse monoclonal [CDH1/3256] antibody to E Cadherin for Flow Cytometry and IHC-P.

Alternative Formats and ConjugatesAlternative Formats

Shipping Information

$40
Dispatched from St. Louis, MO.
Lead Time: 5-8 business days.
Name
Anti-E Cadherin Antibody [CDH1/3256] - BSA and Azide free
Description
Mouse monoclonal [CDH1/3256] antibody to E Cadherin.
Specificity
This antibody recognizes a protein of 120-80kDa, identified as E-cadherin. Cadherins comprise a family of Ca2+-dependent adhesion molecules that function to mediate cell-cell binding critical to the maintenance of tissue structure and morphogenesis. The classical cadherins, E-, N- and P-cadherin, consist of large extracellular domains characterized by a series of five homologous NH2 terminal repeats. The relatively short intracellular domains interact with a variety of cytoplasmic proteins, such as -catenin, to regulate cadherin function. E-cadherin plays an important role in epithelial cell adhesion. A decreased expression of E-cadherin is associated with metastatic potential and poor prognosis in breast cancer, prostate and esophageal cancer. In combination with p120 Catenin, it is useful for the differentiation between ductal (E-cadherin +) and lobular (E-cadherin -) breast carcinomas. It may also help in diagnosis of mesothelioma.
Applications
Flow Cytometry, IHC-P
Dilutions
Flow Cytometry: 1-2 µg/million cells, IHC-P: 1-2 µg/ml
Reactivity
Human
Immunogen
Recombinant fragment, around amino acids 567-691, of human CDH1 protein. The exact sequence is proprietary.
Host
Mouse
Clonality
Monoclonal
Clone ID
CDH1/3256
Isotype
IgG1
Light Chains
kappa
Conjugate

Unconjugated

Purification
Protein A/G chromatography.
Concentration
1 mg/ml
Molecular Weight
120-80 kDa (mature) / 135 kDa (Precursor)
Product Form
Liquid
Formulation
Supplied in 10mM Phosphate Buffered Saline; without Sodium Azide and carrier free.
Storage
Shipped at 4°C. Upon delivery aliquot and store at -20°C. Avoid freeze / thaw cycles.
General Notes
This monoclonal antibody is also available in a different formulation with BSA and Sodium Azide - Anti-E Cadherin Antibody [CDH1/3256] (A250822).
Synonyms
Arc 1, CADH1_HUMAN, Cadherin 1, cadherin 1 type 1 E-cadherin, Cadherin1, CAM 120/80, CD 234, CD 324, CD324, CD324 antigen, CDH1, CDHE, E-Cad/CTF3, E-cadherin, ECAD , Epithelial cadherin, epithelial calcium dependant adhesion protein, LCAM, Liver cell adhesion molecule, UVO, Uvomorulin
Disclaimer
This product is for research use only. It is not intended for diagnostic or therapeutic use.
Publishing research using Anti-E Cadherin Antibody [CDH1/3256] - BSA and Azide free (A254002)? Please let us know so that we can list the citation on this page.

Most popular Anti-E Cadherin Antibodies

Alternative products to Anti-E Cadherin Antibody [CDH1/3256] - BSA and Azide free (A254002)