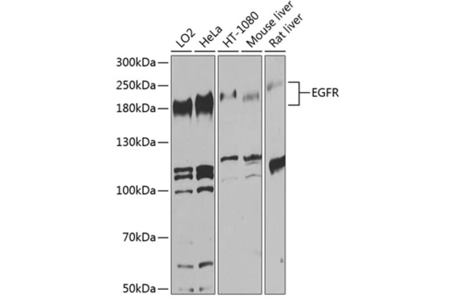
Western blot analysis of extracts of various cell lines, using Anti-EGFR Antibody (A80544) at 1:1,000 dilution. The secondary antibody was Goat Anti-Rabbit IgG H&L Antibody (HRP) at 1:10,000 dilution. Lysates/proteins were present at 25µg per lane. The blocking buffer used was 3% non-fat dry milk in TBST. Detection was with a ECL Basic Kit. Exposure time: 60s.
Immunohistochemistry analysis of paraffin-embedded human lung cancer using Anti-EGFR Antibody (A80544) at a dilution of 1:100 (40x lens). Perform microwave antigen retrieval with 10 mM PBS buffer pH 7.2 before commencing with IHC staining protocol.
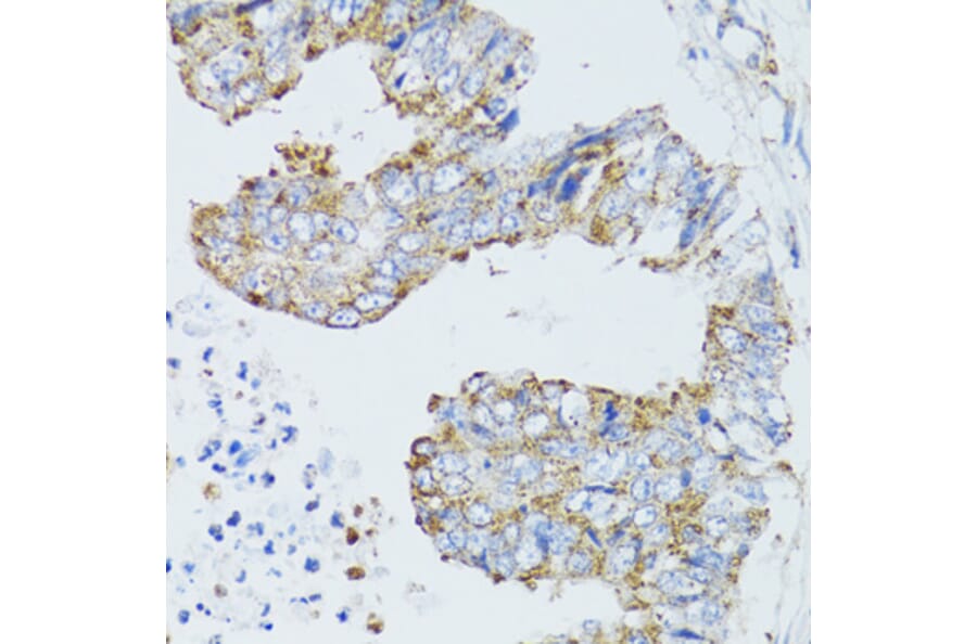
Immunohistochemistry analysis of paraffin-embedded human liver cancer using Anti-EGFR Antibody (A80544) at a dilution of 1:100 (40x lens). Perform microwave antigen retrieval with 10 mM PBS buffer pH 7.2 before commencing with IHC staining protocol.
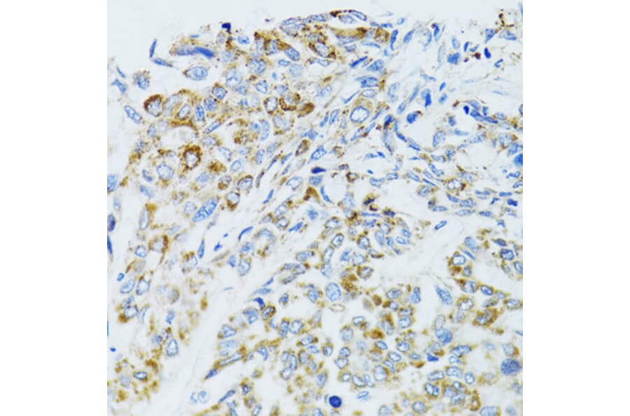
Immunohistochemistry analysis of paraffin-embedded human gastric cancer using Anti-EGFR Antibody (A80544) at a dilution of 1:100 (40x lens). Perform microwave antigen retrieval with 10 mM PBS buffer pH 7.2 before commencing with IHC staining protocol.
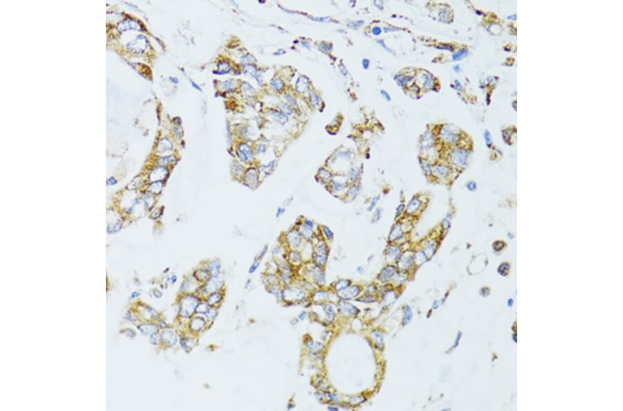
Immunohistochemistry analysis of paraffin-embedded human rectal cancer using Anti-EGFR Antibody (A80544) at a dilution of 1:100 (40x lens). Perform microwave antigen retrieval with 10 mM PBS buffer pH 7.2 before commencing with IHC staining protocol.
Immunofluorescence analysis of A431 cells using Anti-EGFR Antibody (A80544) at a dilution of 1:100 (40x lens). DAPI was used to stain the cell nuclei (blue).
Human monoclonal antibody to EGFR Research grade Anti-Human EGFR [CMAB017] biosimilar for ELISA, Flow Cytometry, Functional Studies and in vivo Research.
Human monoclonal antibody to EGFR Research grade Anti-Human EGFR [MM-151] biosimilar for ELISA, Flow Cytometry, Functional Studies and in vivo Research.
Human monoclonal antibody to EGFR Research grade Anti-Human EGFR [SCT200] biosimilar for ELISA, Flow Cytometry, Functional Studies and in vivo Research.
Human monoclonal antibody to EGFR Research grade Anti-Human EGFR [CMAB017] biosimilar for ELISA, Flow Cytometry, Functional Studies and in vivo Research.
Human monoclonal antibody to EGFR Research grade Anti-Human EGFR [MM-151] biosimilar for ELISA, Flow Cytometry, Functional Studies and in vivo Research.
Human monoclonal antibody to EGFR Research grade Anti-Human EGFR [SCT200] biosimilar for ELISA, Flow Cytometry, Functional Studies and in vivo Research.