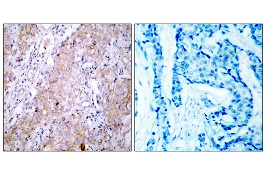
Immunohistochemical analysis of paraffin-embedded human breast carcinoma tissue using Anti-EGFR Antibody. The right hand panel represents a negative control, where the antibody was pre-incubated with the immunising peptide.
Western blot analysis of lysates from SK-OV3 cells using Anti-EGFR Antibody. The right hand lane represents a negative control, where the antibody is blocked by the immunising peptide.
Alternative products to Anti-EGFR Antibody (A96208)