Western Blot - Anti-EGFR Antibody [ARC1139] (A305672)
Western blot analysis of extracts of Mouse brain cells, using Anti-EGFR Antibody (A305672) at 1:500 dilution. The secondary antibody was Goat Anti-Rabbit IgG H&L Antibody (HRP) at 1:10,000 dilution. Lysates/proteins were present at 25µg per lane. The blocking buffer used was 3% non-fat dry milk in TBST. Detection was with a ECL Enhanced Kit. Exposure time: 3min.
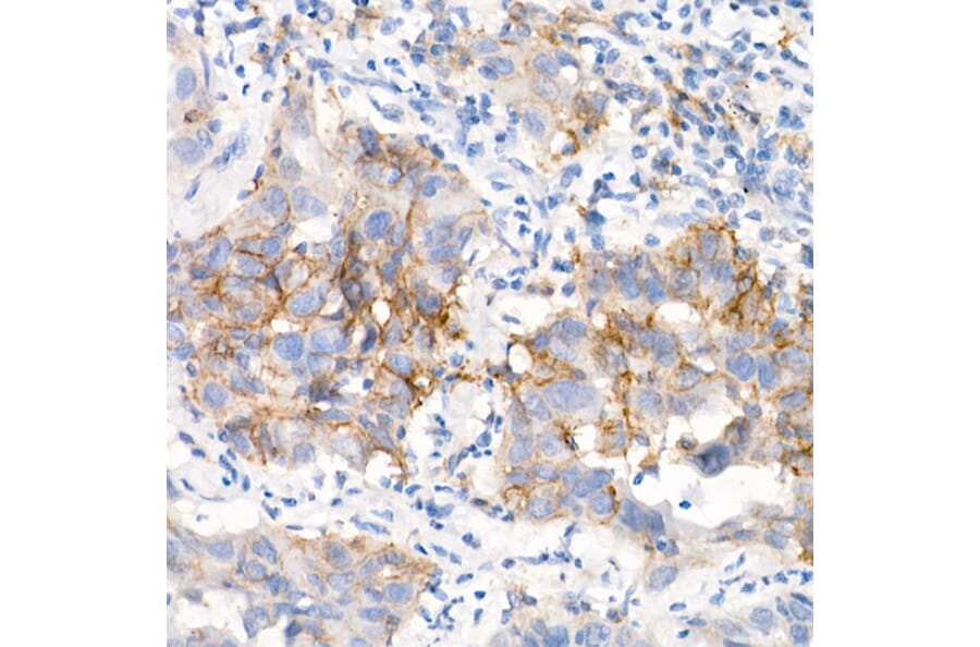
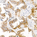
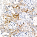
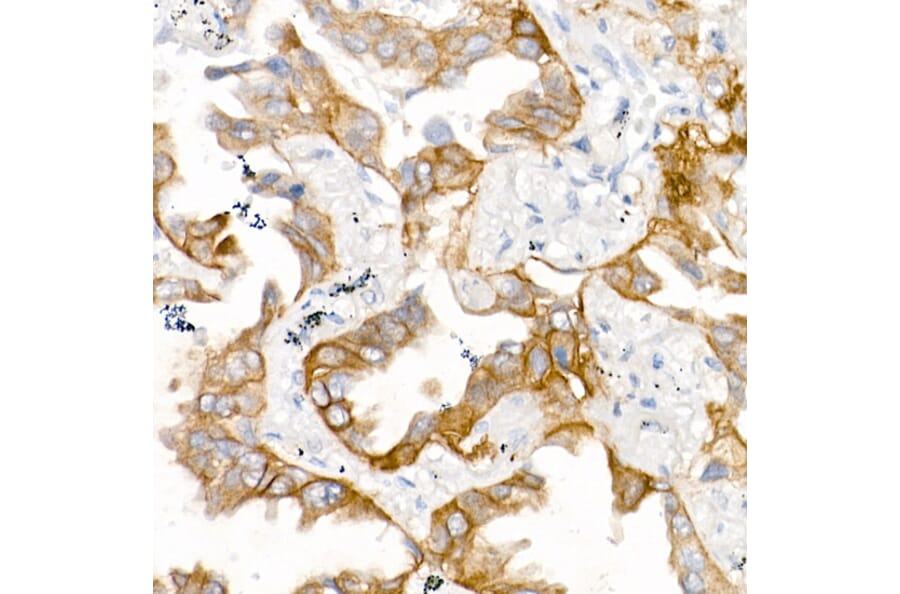
Immunohistochemistry analysis of paraffin-embedded human lung adenocarcinoma (egfr-e745-a750del positive sample) using Anti-EGFR Antibody (A305672) at a dilution of 1:100 (40x lens). Perform high pressure antigen retrieval with 10 mM citrate buffer pH 6.0 before commencing with IHC staining protocol.
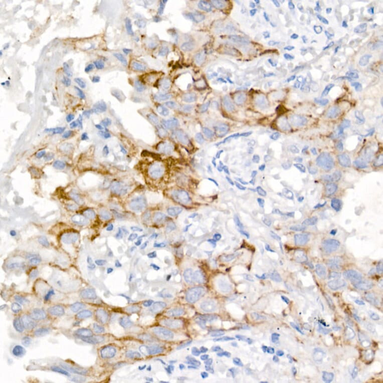
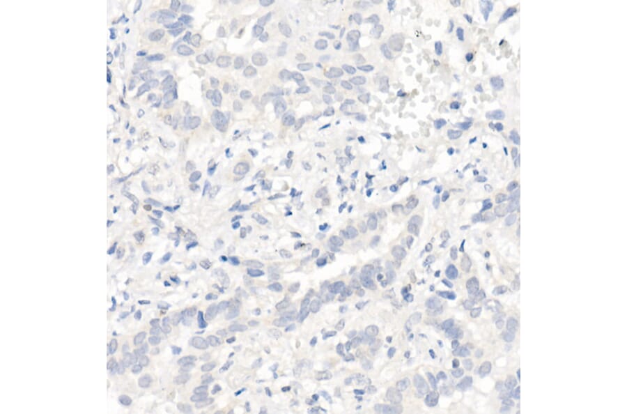
Immunohistochemistry analysis of paraffin-embedded human lung adenocarcinoma (egfr-l858r positive sample) using Anti-EGFR Antibody (A305672) at a dilution of 1:100 (40x lens). Perform high pressure antigen retrieval with 10 mM citrate buffer pH 6.0 before commencing with IHC staining protocol.
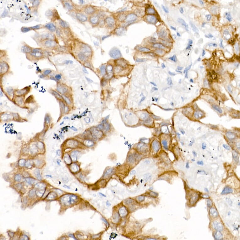
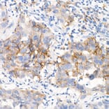
Immunohistochemistry analysis of paraffin-embedded human lung adenocarcinoma (egfr-l858r positive sample) using Anti-EGFR Antibody (A305672) at a dilution of 1:100 (40x lens). Perform high pressure antigen retrieval with 10 mM citrate buffer pH 6.0 before commencing with IHC staining protocol.
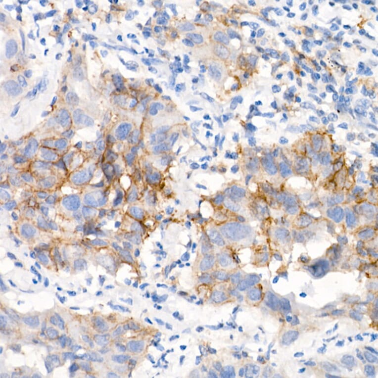
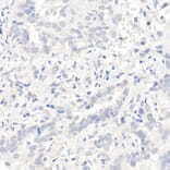
Immunohistochemistry analysis of paraffin-embedded human lung adenocarcinoma (egfr-l858r positive sample) using Anti-EGFR Antibody (A305672) at a dilution of 1:100 (40x lens). Perform high pressure antigen retrieval with 10 mM citrate buffer pH 6.0 before commencing with IHC staining protocol.
Recombinant human monoclonal antibody to EGFR for use as a research grade Panitumumab biosimilar for ELISA, Flow Cytometry, Functional Studies and in vivo Research.
Recombinant chimeric monoclonal antibody to EGFR for use as a research grade Modotuximab biosimilar for ELISA, Flow Cytometry, Functional Studies and in vivo Research.
Recombinant human monoclonal antibody to EGFR for use as a research grade Panitumumab biosimilar for ELISA, Flow Cytometry, Functional Studies and in vivo Research.
Recombinant chimeric monoclonal antibody to EGFR for use as a research grade Modotuximab biosimilar for ELISA, Flow Cytometry, Functional Studies and in vivo Research.