ISO 9001:2015 Certified
Live Customer Support
4.5/5 on Trustpilot
100% Quality Guarantee

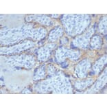
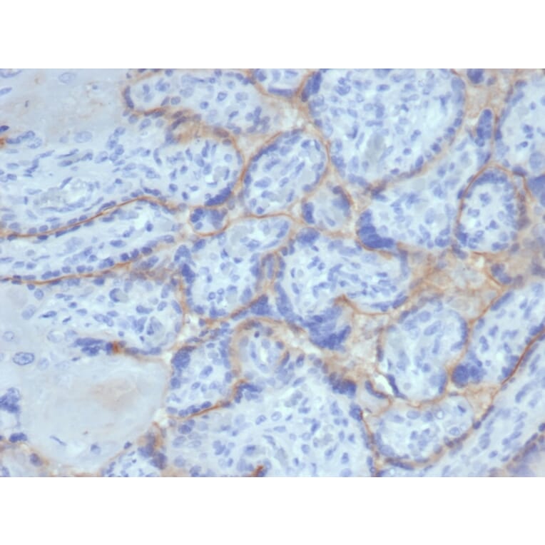
Recombinant Anti-EGFR Antibody [rEGFR/6389] (A248400)

Recombinant mouse monoclonal [rEGFR/6389] antibody to EGFR for IHC-P.

Alternative Formats and ConjugatesAlternative Formats

Shipping Information

$40
Dispatched from St. Louis, MO.
Lead Time: 5-8 business days.
Name
Anti-EGFR Antibody [rEGFR/6389]
Description
Recombinant mouse monoclonal [rEGFR/6389] antibody to EGFR.
Specificity
This antibody recognizes a protein of 170kDa, identified as EGFR. EGFR is type I receptor tyrosine kinase with sequence homology to erbB-1, -2, -3 -4 or HER-1, -2, -3 -4. It binds to Epidermal Growth Factor (EGF), Transforming Growth Factor-a (TGF-a), Heparin-binding EGF (HB-EGF), amphiregulin, betacellulin and epiregulin. EGFR is overexpressed in tumors of breast, brain, bladder, lung, gastric, head neck, esophagus, cervix, vulva, ovary, and endometrium. It is predominantly present in squamous cell carcinomas.
Applications
IHC-P
Dilutions
IHC-P: 1-2 µg/ml
Reactivity
Human
Immunogen
Recombinant extracellular domain of human EGFR; amino acids 25-645.
Host
Mouse
Clonality
Monoclonal
Clone ID
rEGFR/6389
Isotype
IgG2a
Light Chains
kappa
Conjugate

Unconjugated

Purification
Protein A/G chromatography.
Concentration
200 µg/ml
Molecular Weight
~170 kDa (wild type) / ~145 kDa (vIII variant)
Product Form
Liquid
Formulation
Supplied in 10mM Phosphate Buffered Saline with 0.05% BSA and 0.05% Sodium Azide.
Storage
Shipped at 4°C. Upon delivery aliquot and store at -20°C. Avoid freeze / thaw cycles.
General Notes
This monoclonal antibody is also available in a different formulation without BSA and Sodium Azide - Anti-EGFR Antibody [rEGFR/6389] - BSA and Azide free (A251582).
Synonyms
Epidermal growth factor receptor, ERBB, ERBB1, HER1, Proto-oncogene c-ErbB-1, Receptor tyrosine-protein kinase erbB-1
Disclaimer
This product is for research use only. It is not intended for diagnostic or therapeutic use.
Publishing research using Recombinant Anti-EGFR Antibody [rEGFR/6389] (A248400)? Please let us know so that we can list the citation on this page.

Alternative products to Anti-EGFR Antibody [rEGFR/6389] (A248400)

Proteins predicted to interact with EGFR

Predicted protein interactions based upon String database. Revelancy score correlates with probability of interaction.
99.9% Relevancy Score
99.9% Relevancy Score
99.9% Relevancy Score
99.9% Relevancy Score
99.9% Relevancy Score
99.9% Relevancy Score
99.9% Relevancy Score
99.9% Relevancy Score
99.9% Relevancy Score