Rabbit polyclonal antibody to eIF4EBP1 (phospho Thr70).
Applications
WB, IHC
Dilutions
WB: 1:500-1:2,000, IHC: 1:50-1:200
Reactivity
Human, Mouse, Rat
Immunogen
A synthetic phosphorylated peptide around T70 of human Phospho-eIF4EBP1-T70 (NP_004086.1).
Sequence
TKTPP
Host
Rabbit
Clonality
Polyclonal
Isotype
IgG
Conjugate
Unconjugated
Purification
Affinity purification.
Concentration
Lot Specific
Molecular Weight
17 kDa
Product Form
Liquid
Formulation
Supplied in Phosphate Buffered Saline, pH 7.3, with 50% Glycerol and 0.02% Sodium Azide.
Storage
Shipped at 4°C. Upon delivery aliquot and store at -20°C. Avoid freeze/thaw cycles.
Synonyms
4E-BP1, eIF4E-binding protein 1, Eukaryotic translation initiation factor 4E-binding protein 1, PHAS-I, Phosphorylated heat- and acid-stable protein regulated by insulin 1
Western Blot - Anti-eIF4EBP1 (phospho Thr70) Antibody (A16403)
Western blot analysis of extracts of HeLa cells, using Anti-eIF4EBP1 (phospho Thr70) Antibody (A16403) at 1:2,000 dilution. HeLa cells were treated by Insulin (100 nM) at 37°C for 5 minutes after serum-starvation overnight. The secondary antibody was Goat Anti-Rabbit IgG H&L Antibody (HRP) at 1:10,000 dilution. Lysates/proteins were present at 25µg per lane. The blocking buffer used was 3% BSA. Detection was with a ECL Enhanced Kit (RM00021). Exposure time: 3min.
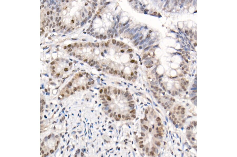
Immunohistochemistry analysis of paraffin-embedded human colon carcinoma tissue using Anti-eIF4EBP1 (phospho Thr70) Antibody (A16403) at a dilution of 1:50 (40x lens). Perform high pressure antigen retrieval with 10 mM citrate buffer pH 6.0 before commencing with IHC staining protocol.
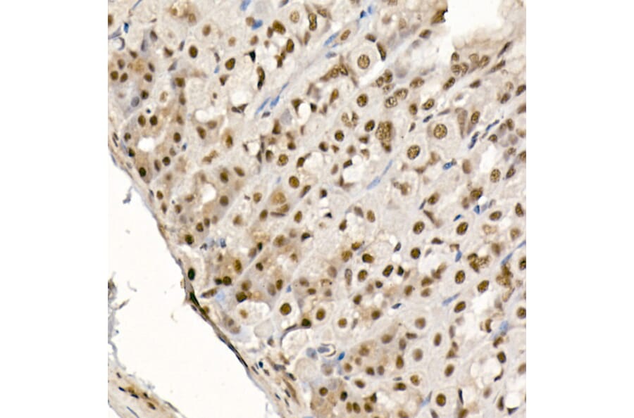
Immunohistochemistry analysis of paraffin-embedded mouse stomach using Anti-eIF4EBP1 (phospho Thr70) Antibody (A16403) at a dilution of 1:50 (40x lens). Perform high pressure antigen retrieval with 10 mM citrate buffer pH 6.0 before commencing with IHC staining protocol.
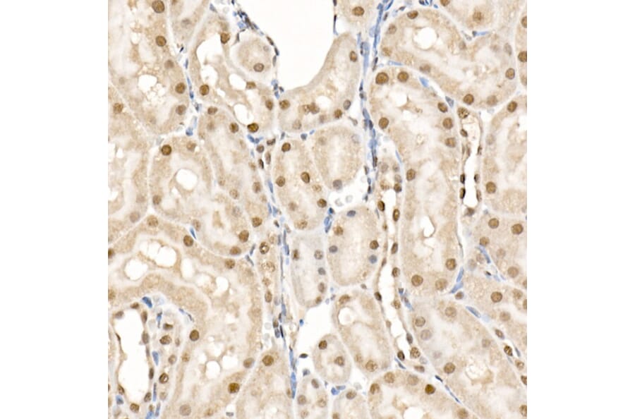
Immunohistochemistry analysis of paraffin-embedded rat kidney using Anti-eIF4EBP1 (phospho Thr70) Antibody (A16403) at a dilution of 1:50 (40x lens). Perform high pressure antigen retrieval with 10 mM citrate buffer pH 6.0 before commencing with IHC staining protocol.
Publishing research using Anti-eIF4EBP1 (phospho Thr70) Antibody (A16403)? Please let us know so that we can list the citation on this page.
Alternative products to Anti-eIF4EBP1 (phospho Thr70) Antibody (A16403)