Western blot analysis of extracts of 293T cells, using Anti-FGF2 Antibody (A11129) at 1:1,000 dilution. The secondary antibody was Goat Anti-Rabbit IgG H&L Antibody (HRP) at 1:10,000 dilution. Lysates/proteins were present at 25µg per lane. The blocking buffer used was 3% non-fat dry milk in TBST. Detection was with a ECL Enhanced Kit. Exposure time: 180s.
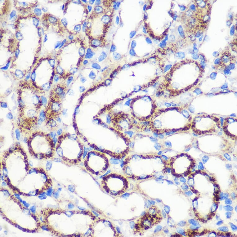
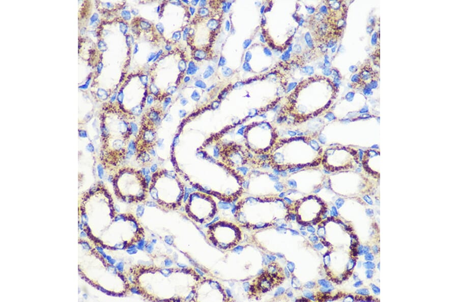
Immunohistochemistry analysis of paraffin-embedded mouse kidney using Anti-FGF2 Antibody (A11129) at a dilution of 1:100 (40x lens). Perform microwave antigen retrieval with 10 mM PBS buffer pH 7.2 before commencing with IHC staining protocol.
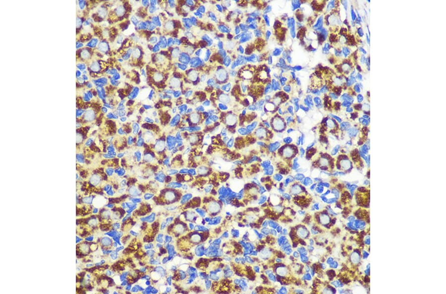
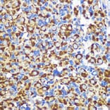
Immunohistochemistry analysis of paraffin-embedded rat ovary using Anti-FGF2 Antibody (A11129) at a dilution of 1:100 (40x lens). Perform microwave antigen retrieval with 10 mM PBS buffer pH 7.2 before commencing with IHC staining protocol.
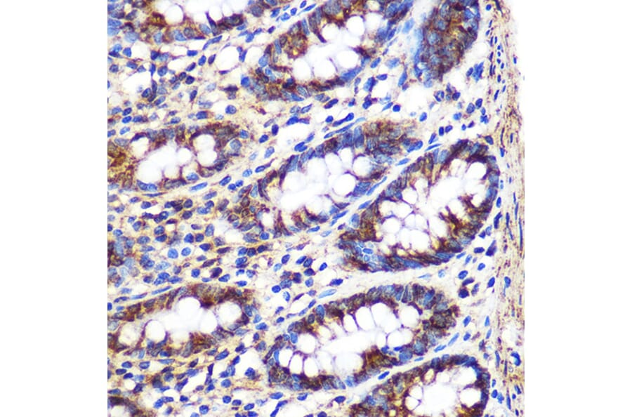
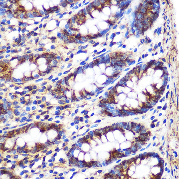
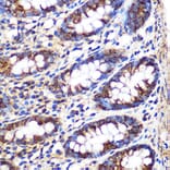
Immunohistochemistry analysis of paraffin-embedded human colon tissue using Anti-FGF2 Antibody (A11129) at a dilution of 1:100 (40x lens). Perform microwave antigen retrieval with 10 mM PBS buffer pH 7.2 before commencing with IHC staining protocol.
Immunofluorescence analysis of C6 cells using Anti-FGF2 Antibody (A11129) at a dilution of 1:100 (40x lens). DAPI was used to stain the cell nuclei (blue).
Immunofluorescence analysis of L929 cells using Anti-FGF2 Antibody (A11129) at a dilution of 1:100 (40x lens). DAPI was used to stain the cell nuclei (blue).
Immunofluorescence analysis of U-2 OS cells using Anti-FGF2 Antibody (A11129) at a dilution of 1:100 (40x lens). DAPI was used to stain the cell nuclei (blue).
Recombinant human monoclonal antibody to FGF2 for use as a research grade Anti-Human FGF2 [HuGAL-F2] for ELISA, Flow Cytometry, Functional Studies and in vivo Research.
Recombinant human monoclonal antibody to FGF2 for use as a research grade Anti-Human FGF2 [HuGAL-F2] for ELISA, Flow Cytometry, Functional Studies and in vivo Research.