Western Blot - Anti-FGF2 Antibody [ARC0618] (A308407)
Western blot analysis of extracts from wild type (WT) and FGF2 knockout (KO) HeLa cells, using Anti-FGF2 Antibody [ARC0618] (A308407) at 1:1,000 dilution. The secondary antibody was Goat Anti-Rabbit IgG H&L Antibody (HRP) at 1:10,000 dilution. Lysates/proteins were present at 25µg per lane. The blocking buffer used was 3% non-fat dry milk in TBST. Detection was with a ECL Basic Kit. Exposure time: 60s.
Western Blot - Anti-FGF2 Antibody [ARC0618] (A308407)
Western blot analysis of extracts of SKOV3 cells, using Anti-FGF2 Antibody [ARC0618] (A308407) at 1:1,000 dilution. The secondary antibody was Goat Anti-Rabbit IgG H&L Antibody (HRP) at 1:10,000 dilution. Lysates/proteins were present at 25µg per lane. The blocking buffer used was 3% non-fat dry milk in TBST. Detection was with a ECL Basic Kit. Exposure time: 60s.
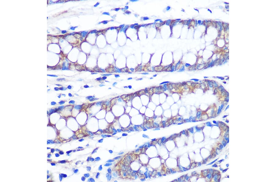
Immunohistochemistry analysis of paraffin-embedded human colon tissue using Anti-FGF2 Antibody [ARC0618] (A308407) at a dilution of 1:100 (40x lens). Perform microwave antigen retrieval with 10 mM PBS buffer pH 7.2 before commencing with IHC staining protocol.
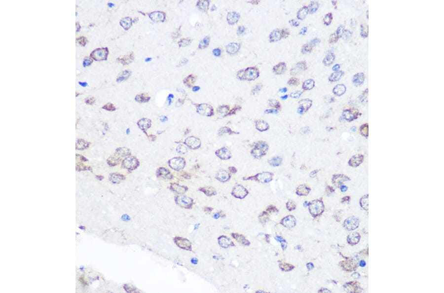
Immunohistochemistry analysis of paraffin-embedded mouse brain using Anti-FGF2 Antibody [ARC0618] (A308407) at a dilution of 1:100 (40x lens). Perform microwave antigen retrieval with 10 mM PBS buffer pH 7.2 before commencing with IHC staining protocol.
Immunohistochemistry analysis of paraffin-embedded rat brain using Anti-FGF2 Antibody [ARC0618] (A308407) at a dilution of 1:100 (40x lens). Perform microwave antigen retrieval with 10 mM PBS buffer pH 7.2 before commencing with IHC staining protocol.
Immunofluorescence analysis of HeLa cells using Anti-FGF2 Antibody [ARC0618] (A308407) at a dilution of 1:100 (40x lens). DAPI was used to stain the cell nuclei (blue).
Human monoclonal antibody to FGF2 Research grade Anti-Human FGF2 [HuGAL-F2] biosimilar for ELISA, Flow Cytometry, Functional Studies and in vivo Research.
Human monoclonal antibody to FGF2 Research grade Anti-Human FGF2 [HuGAL-F2] biosimilar for ELISA, Flow Cytometry, Functional Studies and in vivo Research.