ISO 9001:2015 Certified
Live Customer Support
4.5/5 on Trustpilot
100% Quality Guarantee

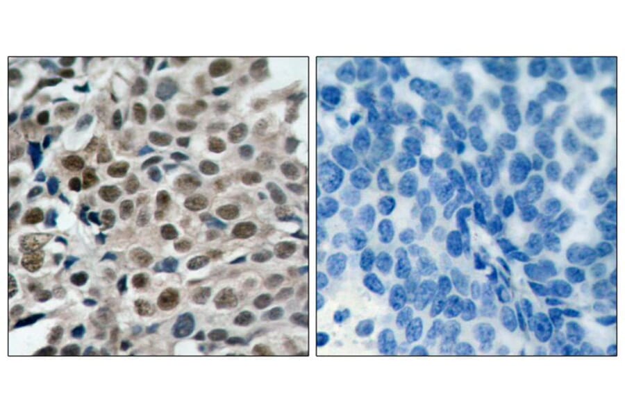
Anti-FKHRL1 (Phospho-Ser253) Antibody (A50178)

Rabbit polyclonal antibody to FKHRL1 (Phospho-Ser253) for WB, IHC and ICC/IF.

Shipping Information

$40
Dispatched from St. Louis, MO.
Lead Time: 6-9 business days.
Name
Anti-FKHRL1 (Phospho-Ser253) Antibody
Description
Rabbit polyclonal antibody to FKHRL1 (Phospho-Ser253)
Specificity
The antibody detects endogenous level of FKHRL1 only when phosphorylated at serine 253.
Applications
WB, IHC, ICC/IF
Reactivity
Human, Mouse, Rat
Immunogen
Peptide sequence around phosphorylation site of serine 253(A-V-S(p)-M-D) derived from Human FKHRL1.
Host
Rabbit
Clonality
Polyclonal
Conjugate

Unconjugated

Purification
Antibodies were produced by immunizing rabbits with synthetic phosphopeptide and KLH conjugates. Antibodies were purified by affinity-chromatography using epitope-specific phosphopeptide. Non-phospho specific antibodies were removed by chromatogramphy using non-phosphopeptide.
Concentration
1.0 mg/mL
Predicted MW
97kd
Formulation
Supplied in phosphate-buffered saline (without Mg²? and Ca²?), pH 7.4, containing 150 mM NaCl, 0.02% sodium azide, and 50% glycerol.
Storage
Shipped at 4°C. Upon delivery aliquot and store at -20°C. Avoid freeze/thaw cycles.
Synonyms
AF6q21 protein, Forkhead box protein O3, Forkhead in rhabdomyosarcoma-like 1, FOXO3
Disclaimer
This product is for research use only. It is not intended for diagnostic or therapeutic use.
Publishing research using Anti-FKHRL1 (Phospho-Ser253) Antibody (A50178)? Please let us know so that we can list the citation on this page.

Alternative products to Anti-FKHRL1 (Phospho-Ser253) Antibody (A50178)

Proteins predicted to interact with FOXO3A

Predicted protein interactions based upon String database. Revelancy score correlates with probability of interaction.
99.9% Relevancy Score
99.9% Relevancy Score
99.8% Relevancy Score
99.8% Relevancy Score
99.8% Relevancy Score
99.7% Relevancy Score
99.5% Relevancy Score
99.5% Relevancy Score
99.5% Relevancy Score