ISO 9001:2015 Certified
Live Customer Support
4.5/5 on Trustpilot
100% Quality Guarantee

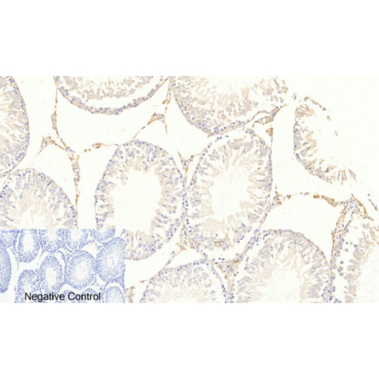
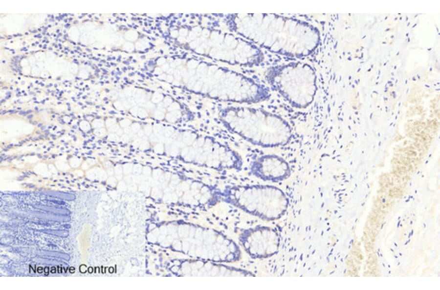
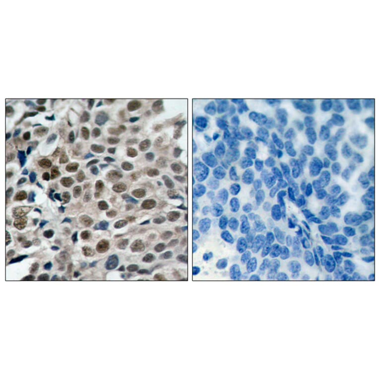
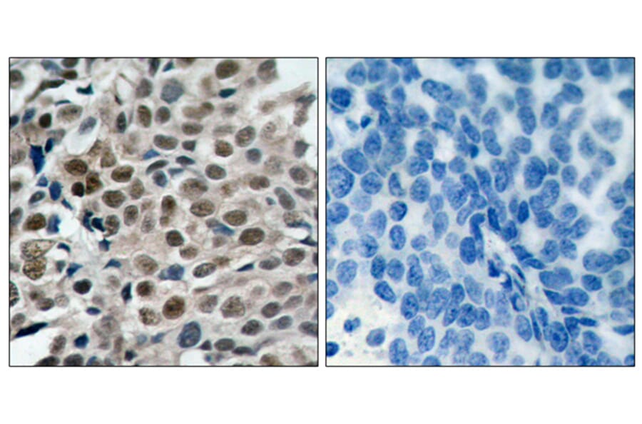
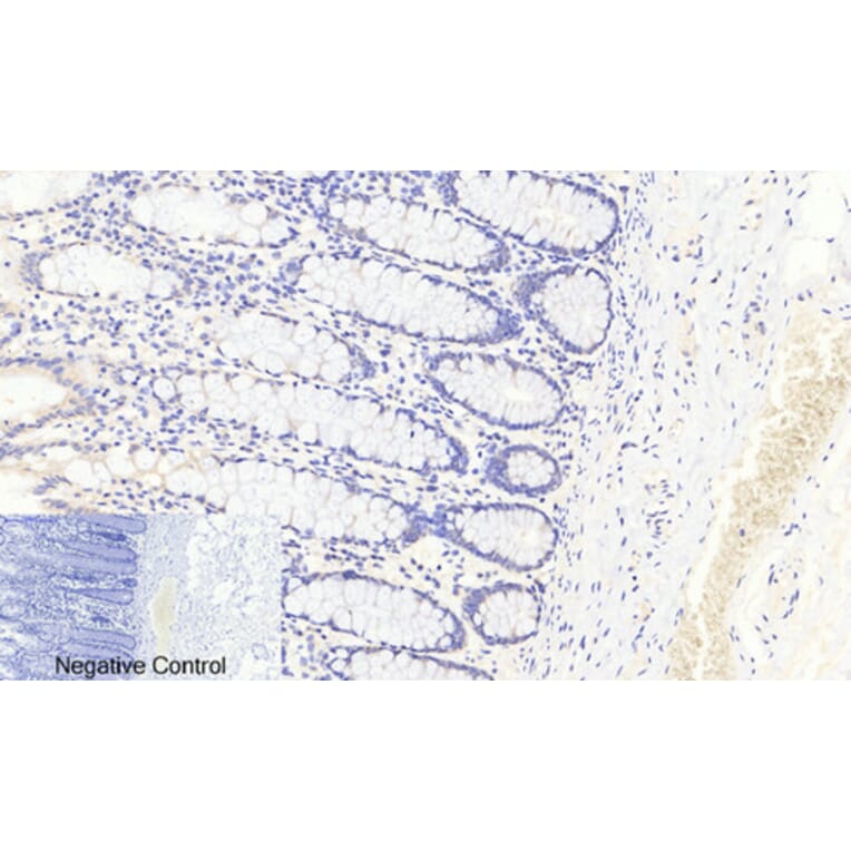
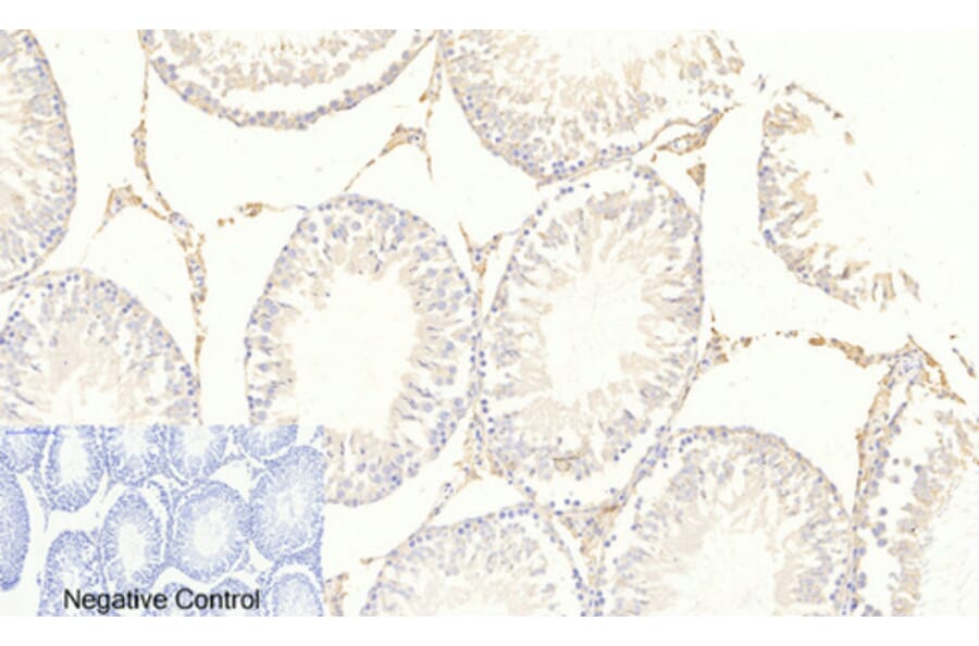
Anti-FKHRL1 (phospho Ser253) Antibody (A93680)

Rabbit polyclonal antibody to FKHRL1 (phospho Ser253) for WB, IHC, IF and ELISA.

Shipping Information

$40
Dispatched from St. Louis, MO.
Lead Time: 6-8 business days.
Name
Anti-FKHRL1 (phospho Ser253) Antibody
Description
Rabbit polyclonal antibody to FKHRL1 (phospho Ser253).
Specificity
This antibody detects endogenous levels of FKHRL1 only when phosphorylated at Ser253.
Applications
WB, IHC, IF, ELISA
Dilutions
WB: 1:500~1:1000, IHC: 1:50~1:100, ELISA: 1:1000
Reactivity
Human, Mouse, Rat, Zebrafish
Cross Reactivity
No reported cross-reactivity.
Immunogen
Synthetic peptide derived from human FKHRL1 around the phosphorylation site of Ser253 (amino acids 220-269).
Host
Rabbit
Clonality
Polyclonal
Isotype
IgG
Conjugate

Unconjugated

Purification
Purified from rabbit serum by antigen affinity chromatography using the immunizing phospho peptide.
Molecular Weight
71kDa
Product Form
Liquid
Formulation
Supplied in Phosphate Buffered Saline (without Mg2+ and Ca2+), pH 7.4, with 150mM NaCl, 0.02% Sodium Azide, and 50% Glycerol.
Storage
Shipped at 4°C. Upon delivery aliquot and store at -20°C. Avoid freeze / thaw cycles.
Synonyms
AF6q21 protein, FKHRL1, Forkhead box protein O3, Forkhead in rhabdomyosarcoma-like 1, FOXO3
Disclaimer
This product is for research use only. It is not intended for diagnostic or therapeutic use.
Publishing research using Anti-FKHRL1 (phospho Ser253) Antibody (A93680)? Please let us know so that we can list the citation on this page.

Alternative products to Anti-FKHRL1 (phospho Ser253) Antibody (A93680)

Proteins predicted to interact with FOXO3A

Predicted protein interactions based upon String database. Revelancy score correlates with probability of interaction.
99.9% Relevancy Score
99.9% Relevancy Score
99.8% Relevancy Score
99.8% Relevancy Score
99.8% Relevancy Score
99.7% Relevancy Score
99.5% Relevancy Score
99.5% Relevancy Score
99.5% Relevancy Score