Primary Antibodies
Secondary Antibodies
Proteins & Peptides
ELISA Kits
About Us
Contact Us
Sign In/Register
0
ISO 9001:2015 Certified
Live Customer Support
4.5/5 on Trustpilot
100% Quality Guarantee
Home
Primary Antibodies
GFAP Antibodies
Anti-GFAP Antibody (A32590)
Anti-GFAP Antibody (A32590)
Overview
Specifications
Images
Enlarge Image
Enlarge Image
Enlarge Image
Enlarge Image
Enlarge Image
$455
Mouse monoclonal antibody to GFAP for WB and IHCICCFC.
100% Guarantee
Price Match Guarantee
Product Size:
50µl
100µl
Quantity:
1
2
3
4
5
6
7
8
9
10
Add To Cart
Request a Quotation
Custom or Bulk Request
Shipping Information
Freight/Packing Charges:
$40
Dispatched from St. Louis, MO.
Lead Time: 7-10 business days.
Tags:
Astrocyte Marker
Radial Glia Marker
Specifications
Name
Anti-GFAP Antibody
Description
Mouse monoclonal antibody to GFAP
Specificity
This antibody detects endogenous levels of GFAP and does not cross-react with related proteins.
Applications
WB
,
IHC
ICCFC
Reactivity
Human, Mouse, Rat
Immunogen
This antibody is produced by immunizing mice with a synthetic peptide (KLH-coupled) corresponding to a region of GFAP.
Host
Mouse
Clonality
Monoclonal
Conjugate
Unconjugated
Molecular Weight
~ 48 kDa
Purity
Protein A affinity purified
Product Form
Mouse IgG1. 1*TBS (pH7.4), 1%BSA, 40%Glycerol. Preservative: 0.05% Sodium Azide.
Synonyms
Glial fibrillary acidic protein
Suitable Secondaries
Goat Anti-Mouse IgG H&L Antibody (AP) (A301438)
Goat Anti-Mouse IgG H&L Antibody (Biotin) (A301439)
Goat Anti-Mouse IgG H&L Antibody (FITC) (A301669)
Goat Anti-Mouse IgG H&L Antibody (HRP) (A301445)
See all Anti-Mouse IgG Secondaries →
Disclaimer
This product is for research use only. It is not intended for diagnostic or therapeutic use.
Scientific Validation Data
Validation Data
(5)
Enlarge Image
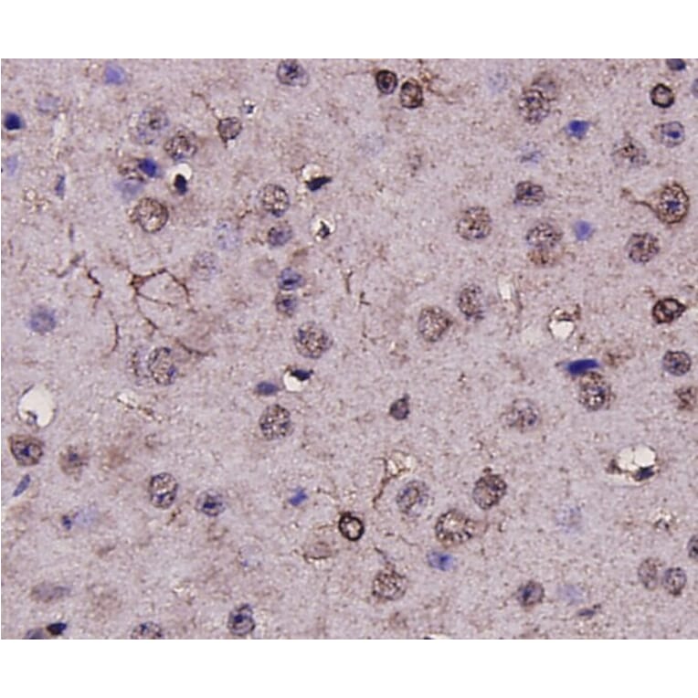
Anti-GFAP Antibody (A32590)
For details please refer to datasheet.
Enlarge Image
Anti-GFAP Antibody (A32590)
For details please refer to datasheet.
Enlarge Image
Anti-GFAP Antibody (A32590)
For details please refer to datasheet.
Enlarge Image
Anti-GFAP Antibody (A32590)
For details please refer to datasheet.
Enlarge Image
Anti-GFAP Antibody (A32590)
For details please refer to datasheet.
Show more images
Publishing research using Anti-GFAP Antibody (A32590)? Please
let us know
so that we can list the citation on this page.
Most popular Anti-GFAP Antibodies
(15)
A85419
4 Citations
Anti-GFAP Antibody
Rabbit polyclonal antibody to GFAP for WB, ICC/IF and IHC.
(9)
A85307
Anti-GFAP Antibody
Chicken polyclonal antibody to GFAP for WB, ICC/IF and IHC.
A83720
Anti-GFAP Antibody
Goat polyclonal antibody to GFAP for ELISA and WB.
(3)
A104314
Anti-GFAP Antibody [2A5]
Mouse monoclonal [2A5] antibody to GFAP for WB, ICC/IF and IHC.
(15)
A85419
4 Citations
Anti-GFAP Antibody
Rabbit polyclonal antibody to GFAP for WB, ICC/IF and IHC.
(9)
A85307
Anti-GFAP Antibody
Chicken polyclonal antibody to GFAP for WB, ICC/IF and IHC.
A83720
Anti-GFAP Antibody
Goat polyclonal antibody to GFAP for ELISA and WB.
(3)
A104314
Anti-GFAP Antibody [2A5]
Mouse monoclonal [2A5] antibody to GFAP for WB, ICC/IF and IHC.
Alternative products to Anti-GFAP Antibody (A32590)
(7)
A85422
Anti-GFAP Antibody [5C10]
Mouse monoclonal [5C10] antibody to GFAP for WB, ICC/IF and IHC.
(9)
A12563
Anti-GFAP Antibody
Rabbit polyclonal antibody to GFAP for WB, IHC and ICC/IF.
(5)
A251887
Anti-GFAP Antibody [GA-5] - BSA and Azide free
Mouse monoclonal [GA-5] antibody to GFAP for Flow Cytometry, IF, WB and IHC-P.
(5)
A248705
Anti-GFAP Antibody [GA-5]
Mouse monoclonal [GA-5] antibody to GFAP for Flow Cytometry, IF, WB and IHC-P.
(4)
A251888
Anti-GFAP Antibody [SPM248] - BSA and Azide free
Mouse monoclonal [SPM248] antibody to GFAP for Flow Cytometry, IF, WB and IHC-P.
(3)
A251889
Anti-GFAP Antibody [SPM507] - BSA and Azide free
Mouse monoclonal [SPM507] antibody to GFAP for Flow Cytometry, IF, WB and IHC-P.
(4)
A248709
Anti-GFAP Antibody [GA-5 + ASTRO/789]
Mouse monoclonal [GA-5 + ASTRO/789] antibody to GFAP for Flow Cytometry, IF, WB and IHC-P.
(9)
A307282
Anti-GFAP Antibody [ARC0206]
Rabbit monoclonal [ARC0206] antibody to GFAP for WB, IHC and ICC/IF.
(4)
A248706
Anti-GFAP Antibody [SPM248]
Mouse monoclonal [SPM248] antibody to GFAP for Flow Cytometry, IF, WB and IHC-P.
(4)
A251891
Anti-GFAP Antibody [GA-5 + ASTRO/789] - BSA and Azide free
Mouse monoclonal [GA-5 + ASTRO/789] antibody to GFAP for Flow Cytometry, IF, WB and IHC-P.
A278723
Anti-GFAP Antibody [2E1]
Mouse monoclonal [2E1] antibody to GFAP for WB, IHC-P, IHC-Fr and RIA.
(3)
A270545
Anti-GFAP Antibody
Goat polyclonal antibody to GFAP for WB, ICC/IF and IHC.
(7)
A85422
Anti-GFAP Antibody [5C10]
Mouse monoclonal [5C10] antibody to GFAP for WB, ICC/IF and IHC.
(9)
A12563
Anti-GFAP Antibody
Rabbit polyclonal antibody to GFAP for WB, IHC and ICC/IF.
(5)
A251887
Anti-GFAP Antibody [GA-5] - BSA and Azide free
Mouse monoclonal [GA-5] antibody to GFAP for Flow Cytometry, IF, WB and IHC-P.
(5)
A248705
Anti-GFAP Antibody [GA-5]
Mouse monoclonal [GA-5] antibody to GFAP for Flow Cytometry, IF, WB and IHC-P.
(4)
A251888
Anti-GFAP Antibody [SPM248] - BSA and Azide free
Mouse monoclonal [SPM248] antibody to GFAP for Flow Cytometry, IF, WB and IHC-P.
(3)
A251889
Anti-GFAP Antibody [SPM507] - BSA and Azide free
Mouse monoclonal [SPM507] antibody to GFAP for Flow Cytometry, IF, WB and IHC-P.
(4)
A248709
Anti-GFAP Antibody [GA-5 + ASTRO/789]
Mouse monoclonal [GA-5 + ASTRO/789] antibody to GFAP for Flow Cytometry, IF, WB and IHC-P.
(9)
A307282
Anti-GFAP Antibody [ARC0206]
Rabbit monoclonal [ARC0206] antibody to GFAP for WB, IHC and ICC/IF.
(4)
A248706
Anti-GFAP Antibody [SPM248]
Mouse monoclonal [SPM248] antibody to GFAP for Flow Cytometry, IF, WB and IHC-P.
(4)
A251891
Anti-GFAP Antibody [GA-5 + ASTRO/789] - BSA and Azide free
Mouse monoclonal [GA-5 + ASTRO/789] antibody to GFAP for Flow Cytometry, IF, WB and IHC-P.
A278723
Anti-GFAP Antibody [2E1]
Mouse monoclonal [2E1] antibody to GFAP for WB, IHC-P, IHC-Fr and RIA.
(3)
A270545
Anti-GFAP Antibody
Goat polyclonal antibody to GFAP for WB, ICC/IF and IHC.
See all GFAP Antibodies
Proteins predicted to interact with GFAP
Predicted protein interactions based upon String database. Revelancy score correlates with probability of interaction.
eEF1A1 Antibodies
95.6% Relevancy Score
NeuN Antibodies
93.1% Relevancy Score
S100 beta Antibodies
92.5% Relevancy Score
Olig2 Antibodies
91.9% Relevancy Score
Iba1 Antibodies
91.3% Relevancy Score
Nestin Antibodies
88.6% Relevancy Score
EAAT2 Antibodies
88.5% Relevancy Score
CNPase Antibodies
88.3% Relevancy Score
Myelin Basic Protein Antibodies
87.6% Relevancy Score
Top