Primary Antibodies
Secondary Antibodies
Proteins & Peptides
ELISA Kits
About Us
Contact Us
Sign In/Register
0
ISO 9001:2015 Certified
Live Customer Support
4.5/5 on Trustpilot
100% Quality Guarantee
Home
Primary Antibodies
Glutamine Synthetase Antibodies
Anti-Glutamine Synthetase Antibody (A101718)
Anti-Glutamine Synthetase Antibody (A101718)
Overview
Specifications
Images
Enlarge Image
Enlarge Image
$555
Product Datasheet
Rabbit polyclonal antibody to Glutamine Synthetase for WB and ELISA.
100% Guarantee
Price Match Guarantee
Product Size:
100µg
Quantity:
1
2
3
4
5
6
7
8
9
10
Add To Cart
Request a Quotation
Custom or Bulk Request
Shipping Information
Freight/Packing Charges:
$40
Dispatched from St. Louis, MO.
Lead Time: 4-6 business days.
Tags:
Astrocyte Marker
Glutamatergic Neuron Marker
Specifications
Name
Anti-Glutamine Synthetase Antibody
Description
Rabbit polyclonal antibody to Glutamine Synthetase.
Specificity
This antibody reacts with plant Glutamine Synthetase isoproteins, including those of Maize, Spinach, and Arabidopsis.
Applications
WB
,
ELISA
Dilutions
WB: 1:1,000-1:5,000
Reactivity
Plant
Immunogen
Recombinant full length maize Glutamine Synthetase, root isozyme 1 protein.
Host
Rabbit
Clonality
Polyclonal
Isotype
IgG
Conjugate
Unconjugated
Purification
Affinity purification.
Concentration
2 mg/ml
Product Form
Liquid
Formulation
Supplied in Phosphate Buffered Saline with 50% Glycerol (filter sterilised, without Sodium Azide, and carrier free).
Storage
Shipped at 4°C. Upon delivery aliquot and store at -20°C. Avoid freeze / thaw cycles.
Synonyms
GLNS, GLUL, Glutamate--ammonia ligase, GS, Palmitoyltransferase GLUL
Isotype Controls
Rabbit IgG (A82272)
Rabbit IgG (A17360)
Suitable Secondaries
Goat Anti-Rabbit IgG H&L Antibody (AP) (A294874)
Goat Anti-Rabbit IgG H&L Antibody (Biotin) (A294795)
Goat Anti-Rabbit IgG H&L Antibody (FITC) (A294887)
Goat Anti-Rabbit IgG H&L Antibody (HRP) (A294888)
See all Anti-Rabbit IgG Secondaries →
Disclaimer
This product is for research use only. It is not intended for diagnostic or therapeutic use.
Scientific Validation Data
Validation Data
(2)
Enlarge Image
Anti-Glutamine Synthetase Antibody (A101718)
Anti-Glutamine Synthetase Antibody
Enlarge Image
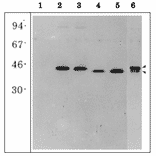
SDS-PAGE - Anti-Glutamine Synthetase Antibody (A101718)
Anti-Glutamine Synthetase Antibody
Publishing research using Anti-Glutamine Synthetase Antibody (A101718)? Please
let us know
so that we can list the citation on this page.
Alternative products to Anti-Glutamine Synthetase Antibody (A101718)
(7)
A14757
Anti-Glutamine Synthetase Antibody
Rabbit polyclonal antibody to Glutamine Synthetase for WB, IHC and ICC/IF.
(4)
A307948
Anti-Glutamine Synthetase Antibody
Rabbit polyclonal antibody to Glutamine Synthetase for WB and ICC/IF.
(3)
A278219
Anti-Glutamine Synthetase Antibody [GLUL/6600] - BSA and Azide free
Mouse monoclonal [GLUL/6600] antibody to Glutamine Synthetase for WB and IHC-P.
(3)
A30328
Anti-GLUL Antibody
Rabbit polyclonal antibody to GLUL for WB, IHC and IF.
(3)
A35556
Anti-GLUL Antibody
Rabbit polyclonal antibody to GLUL for WB, IHC and IF.
(3)
A277631
Anti-Glutamine Synthetase Antibody [GLUL/6600]
Mouse monoclonal [GLUL/6600] antibody to Glutamine Synthetase for WB and IHC-P.
A322085
Anti-Glutamine Synthetase Antibody [OTI1F4]
Mouse monoclonal [OTI1F4] antibody to Glutamine Synthetase for Flow Cytometry, IF, IHC and WB.
A322084
Anti-Glutamine Synthetase Antibody [OTI1F4] - BSA and Azide free
Mouse monoclonal [OTI1F4] antibody to Glutamine Synthetase for Flow Cytometry, IF, IHC and WB.
(4)
A277632
Anti-Glutamine Synthetase Antibody [GLUL/6604]
Mouse monoclonal [GLUL/6604] antibody to Glutamine Synthetase for WB and IHC-P.
(4)
A278220
Anti-Glutamine Synthetase Antibody [GLUL/6604] - BSA and Azide free
Mouse monoclonal [GLUL/6604] antibody to Glutamine Synthetase for WB and IHC-P.
(3)
A278221
Anti-Glutamine Synthetase Antibody [GLUL/6599] - BSA and Azide free
Mouse monoclonal [GLUL/6599] antibody to Glutamine Synthetase for WB and IHC-P.
(3)
A277633
Anti-Glutamine Synthetase Antibody [GLUL/6599]
Mouse monoclonal [GLUL/6599] antibody to Glutamine Synthetase for WB and IHC-P.
(7)
A14757
Anti-Glutamine Synthetase Antibody
Rabbit polyclonal antibody to Glutamine Synthetase for WB, IHC and ICC/IF.
(4)
A307948
Anti-Glutamine Synthetase Antibody
Rabbit polyclonal antibody to Glutamine Synthetase for WB and ICC/IF.
(3)
A278219
Anti-Glutamine Synthetase Antibody [GLUL/6600] - BSA and Azide free
Mouse monoclonal [GLUL/6600] antibody to Glutamine Synthetase for WB and IHC-P.
(3)
A30328
Anti-GLUL Antibody
Rabbit polyclonal antibody to GLUL for WB, IHC and IF.
(3)
A35556
Anti-GLUL Antibody
Rabbit polyclonal antibody to GLUL for WB, IHC and IF.
(3)
A277631
Anti-Glutamine Synthetase Antibody [GLUL/6600]
Mouse monoclonal [GLUL/6600] antibody to Glutamine Synthetase for WB and IHC-P.
A322085
Anti-Glutamine Synthetase Antibody [OTI1F4]
Mouse monoclonal [OTI1F4] antibody to Glutamine Synthetase for Flow Cytometry, IF, IHC and WB.
A322084
Anti-Glutamine Synthetase Antibody [OTI1F4] - BSA and Azide free
Mouse monoclonal [OTI1F4] antibody to Glutamine Synthetase for Flow Cytometry, IF, IHC and WB.
(4)
A277632
Anti-Glutamine Synthetase Antibody [GLUL/6604]
Mouse monoclonal [GLUL/6604] antibody to Glutamine Synthetase for WB and IHC-P.
(4)
A278220
Anti-Glutamine Synthetase Antibody [GLUL/6604] - BSA and Azide free
Mouse monoclonal [GLUL/6604] antibody to Glutamine Synthetase for WB and IHC-P.
(3)
A278221
Anti-Glutamine Synthetase Antibody [GLUL/6599] - BSA and Azide free
Mouse monoclonal [GLUL/6599] antibody to Glutamine Synthetase for WB and IHC-P.
(3)
A277633
Anti-Glutamine Synthetase Antibody [GLUL/6599]
Mouse monoclonal [GLUL/6599] antibody to Glutamine Synthetase for WB and IHC-P.
See all Glutamine Synthetase Antibodies
Proteins predicted to interact with Glutamine Synthetase
Predicted protein interactions based upon String database. Revelancy score correlates with probability of interaction.
GLUD1 Antibodies
99.1% Relevancy Score
GLS2 Antibodies
98.7% Relevancy Score
Glutaminase Antibodies
98.7% Relevancy Score
GLUD2 Antibodies
98.5% Relevancy Score
RIP3 Antibodies
97.4% Relevancy Score
CPS1 Antibodies
97.2% Relevancy Score
CAD Antibodies
96.7% Relevancy Score
GFPT1 Antibodies
96.5% Relevancy Score
GFPT2 Antibodies
96.3% Relevancy Score
Top