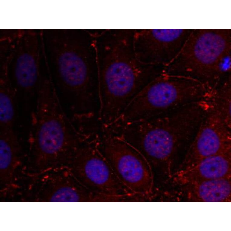
Rabbit polyclonal antibody to Her3 / ErbB3 (Ab-1289)
Specificity
The antibody detects endogenous level of total Her3 / ErbB3 protein.
Applications
ICC/IF
Reactivity
Human
Immunogen
Peptide sequence around aa.1287~1291 (Q-G-Y-E-E) derived from Human Her3 / ErbB3.
Host
Rabbit
Clonality
Polyclonal
Conjugate
Unconjugated
Purification
Antibodies were produced by immunizing rabbits with synthetic peptide and KLH conjugates. Antibodies were purified by affinity-chromatography using epitope-specific peptide.
Concentration
1.0 mg/mL
Formulation
Supplied in phosphate-buffered saline (without Mg²? and Ca²?), pH 7.4, containing 150 mM NaCl, 0.02% sodium azide, and 50% glycerol.
Storage
Shipped at 4°C. Upon delivery aliquot and store at -20°C. Avoid freeze/thaw cycles.
Recombinant humanized monoclonal antibody to ErbB3 for use as a research grade Lumretuzumab biosimil for ELISA, Flow Cytometry, Functional Studies and in vivo Research.
Recombinant human monoclonal antibody to ErbB3 for use as a research grade MP-RM-1 biosimilar for ELISA, Flow Cytometry, Functional Studies and in vivo Research.
Recombinant human monoclonal antibody to ErbB3 for use as a research grade Nezutatug biosimilar for ELISA, Flow Cytometry, Functional Studies and in vivo Research.
Recombinant humanized monoclonal antibody to ErbB3 for use as a research grade Duligotuzumab biosimi for ELISA, Flow Cytometry, Functional Studies and in vivo Research.
Recombinant human monoclonal antibody to ErbB3 for use as a research grade Patritumab biosimilar for ELISA, Flow Cytometry, Functional Studies and in vivo Research.
Recombinant human monoclonal antibody to ErbB3 for use as a research grade Seribantumab biosimilar for ELISA, Flow Cytometry, Functional Studies and in vivo Research.
Recombinant humanized monoclonal antibody to ErbB3 for use as a research grade Lumretuzumab biosimil for ELISA, Flow Cytometry, Functional Studies and in vivo Research.
Recombinant human monoclonal antibody to ErbB3 for use as a research grade MP-RM-1 biosimilar for ELISA, Flow Cytometry, Functional Studies and in vivo Research.
Recombinant human monoclonal antibody to ErbB3 for use as a research grade Nezutatug biosimilar for ELISA, Flow Cytometry, Functional Studies and in vivo Research.
Recombinant humanized monoclonal antibody to ErbB3 for use as a research grade Duligotuzumab biosimi for ELISA, Flow Cytometry, Functional Studies and in vivo Research.
Recombinant human monoclonal antibody to ErbB3 for use as a research grade Patritumab biosimilar for ELISA, Flow Cytometry, Functional Studies and in vivo Research.
Recombinant human monoclonal antibody to ErbB3 for use as a research grade Seribantumab biosimilar for ELISA, Flow Cytometry, Functional Studies and in vivo Research.