Primary Antibodies
Secondary Antibodies
Proteins & Peptides
ELISA Kits
About Us
Contact Us
Sign In/Register
0
ISO 9001:2015 Certified
Live Customer Support
4.5/5 on Trustpilot
100% Quality Guarantee
Home
Primary Antibodies
HNRNPM Antibodies
Anti-HNRNPM Antibody (A45635)
Anti-HNRNPM Antibody (A45635)
Overview
Specifications
Images
Enlarge Image
Enlarge Image
$430
Rabbit polyclonal antibody to HNRNPM for IHC.
100% Guarantee
Price Match Guarantee
Product Size:
100µl
Quantity:
1
2
3
4
5
6
7
8
9
10
Add To Cart
Request a Quotation
Custom or Bulk Request
Shipping Information
Freight/Packing Charges:
$40
Dispatched from St. Louis, MO.
Lead Time: 6-9 business days.
Specifications
Name
Anti-HNRNPM Antibody
Description
Rabbit polyclonal antibody to HNRNPM
Specificity
The antibody detects endogenous levels of total HNRNPM protein.
Applications
IHC
Reactivity
Human
Immunogen
Synthetic peptide of human heterogeneous nuclear ribonucleoprotein M
Host
Rabbit
Clonality
Polyclonal
Conjugate
Unconjugated
Purification
Antigen affinity purification.
Concentration
2.4 mg/ml
Formulation
Rabbit IgG in pH7.4 PBS, 0.05% NaN3, 40% Glycerol.
Storage
Store at -20˚C
Synonyms
Heterogeneous nuclear ribonucleoprotein M, hnRNP M, HNRPM, NAGR1
Suitable Secondaries
Goat Anti-Rabbit IgG H&L Antibody (AP) (A294874)
Goat Anti-Rabbit IgG H&L Antibody (Biotin) (A294795)
Goat Anti-Rabbit IgG H&L Antibody (FITC) (A294887)
Goat Anti-Rabbit IgG H&L Antibody (HRP) (A294888)
See all Anti-Rabbit IgG Secondaries →
Disclaimer
This product is for research use only. It is not intended for diagnostic or therapeutic use.
Scientific Validation Data
Validation Data
(2)
Enlarge Image
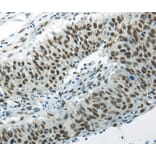
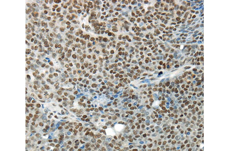
Immunohistochemistry - Anti-HNRNPM Antibody (A45635)
Immunohistochemical analysis of paraffin-embedded Human ovarian cancer tissue using #40303 at dilution 1/35.
Enlarge Image
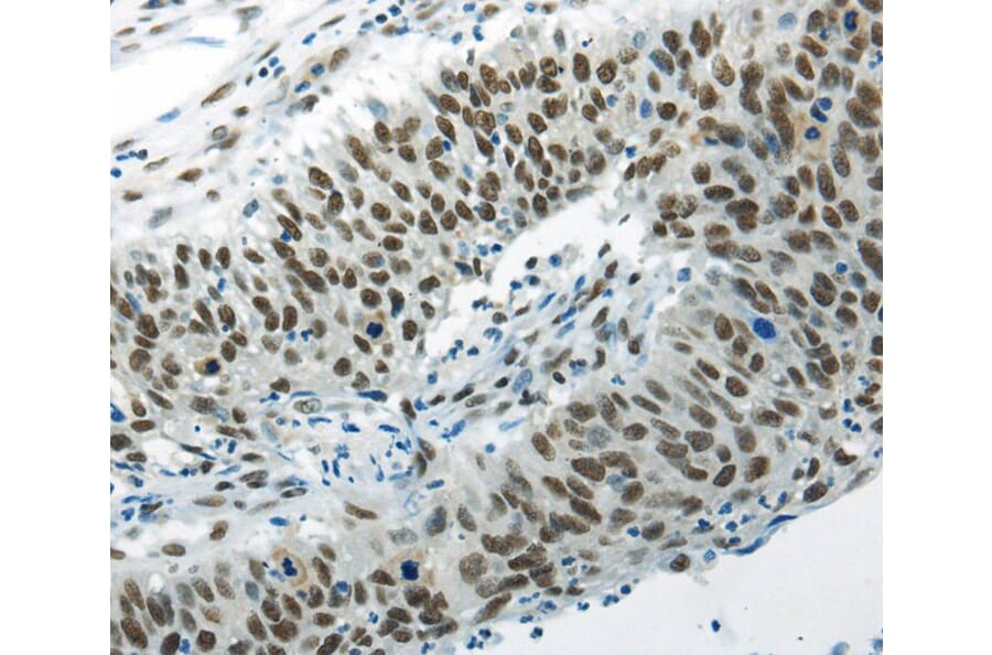
Immunohistochemistry - Anti-HNRNPM Antibody (A45635)
Immunohistochemical analysis of paraffin-embedded Human lung cancer tissue using #40303 at dilution 1/35.
Publishing research using Anti-HNRNPM Antibody (A45635)? Please
let us know
so that we can list the citation on this page.
Alternative products to Anti-HNRNPM Antibody (A45635)
(9)
A15437
Anti-Heterogeneous nuclear ribonucleoprotein M Antibody
Rabbit polyclonal antibody to Heterogeneous nuclear ribonucleoprotein M for WB, IHC and ICC/IF.
(3)
A94970
Anti-hnRNP M Antibody
Rabbit polyclonal antibody to hnRNP M for WB, IHC, IF and ELISA.
A26484
Anti-hnRNP M (P43) Antibody
Rabbit polyclonal antibody to hnRNP M (P43) for WB, IHC and IF.
(3)
A37402
Anti-HNRNPM Antibody
Rabbit polyclonal antibody to HNRNPM for WB and IHC.
A49300
Anti-HNRNPM Antibody
Rabbit polyclonal antibody to HNRNPM for ELISA and WB.
A31761
Anti-hnRNP M Antibody
Rabbit polyclonal antibody to hnRNP M for WB and IHC.
(2)
A44759
Anti-HNRNPM Antibody
Rabbit polyclonal antibody to HNRNPM for IHC.
(9)
A15437
Anti-Heterogeneous nuclear ribonucleoprotein M Antibody
Rabbit polyclonal antibody to Heterogeneous nuclear ribonucleoprotein M for WB, IHC and ICC/IF.
(3)
A94970
Anti-hnRNP M Antibody
Rabbit polyclonal antibody to hnRNP M for WB, IHC, IF and ELISA.
A26484
Anti-hnRNP M (P43) Antibody
Rabbit polyclonal antibody to hnRNP M (P43) for WB, IHC and IF.
(3)
A37402
Anti-HNRNPM Antibody
Rabbit polyclonal antibody to HNRNPM for WB and IHC.
A49300
Anti-HNRNPM Antibody
Rabbit polyclonal antibody to HNRNPM for ELISA and WB.
A31761
Anti-hnRNP M Antibody
Rabbit polyclonal antibody to hnRNP M for WB and IHC.
(2)
A44759
Anti-HNRNPM Antibody
Rabbit polyclonal antibody to HNRNPM for IHC.
See all HNRNPM Antibodies
Proteins predicted to interact with HNRNPM
Predicted protein interactions based upon String database. Revelancy score correlates with probability of interaction.
ZNF207 Antibodies
99.5% Relevancy Score
hnRNP H Antibodies
99.3% Relevancy Score
hnRNP A1 Antibodies
99.3% Relevancy Score
HNRNPC Antibodies
99% Relevancy Score
HNRNPA2B1 Antibodies
98.7% Relevancy Score
hnRNP U Antibodies
98.5% Relevancy Score
hnRNP F Antibodies
98.1% Relevancy Score
PTBP1 Antibodies
98.1% Relevancy Score
hnRNP K Antibodies
98.1% Relevancy Score
Top