Primary Antibodies
Secondary Antibodies
Proteins & Peptides
ELISA Kits
About Us
Contact Us
Sign In/Register
0
ISO 9001:2015 Certified
Live Customer Support
4.5/5 on Trustpilot
100% Quality Guarantee
Home
Primary Antibodies
HSF1 Antibodies
Anti-HSF1 Antibody (A46705)
Anti-HSF1 Antibody (A46705)
Overview
Specifications
Images
Enlarge Image
Enlarge Image
$430
Product Datasheet
Rabbit polyclonal antibody to HSF1 for IHC.
100% Guarantee
Price Match Guarantee
Product Size:
100µl
Quantity:
1
2
3
4
5
6
7
8
9
10
Add To Cart
Request a Quotation
Custom or Bulk Request
Shipping Information
Freight/Packing Charges:
$40
Dispatched from St. Louis, MO.
Lead Time: 6-9 business days.
Specifications
Name
Anti-HSF1 Antibody
Description
Rabbit polyclonal antibody to HSF1
Specificity
The antibody detects endogenous levels of total HSF1 protein.
Applications
IHC
Reactivity
Human
Immunogen
Fusion protein corresponding to a region derived from internal residues of human heat shock transcription factor 1
Host
Rabbit
Clonality
Polyclonal
Conjugate
Unconjugated
Purification
Antigen affinity purification.
Concentration
2.8 mg/mL
Formulation
Supplied in PBS, pH 7.3, containing 0.05% sodium azide and 50% glycerol.
Storage
Shipped at 4°C. Upon delivery aliquot and store at -20°C. Avoid freeze/thaw cycles.
Synonyms
Heat shock factor protein 1, Heat shock transcription factor 1, HSF 1, HSTF 1, HSTF1
Suitable Secondaries
Goat Anti-Rabbit IgG H&L Antibody (AP) (A294874)
Goat Anti-Rabbit IgG H&L Antibody (Biotin) (A294795)
Goat Anti-Rabbit IgG H&L Antibody (FITC) (A294887)
Goat Anti-Rabbit IgG H&L Antibody (HRP) (A294888)
See all Anti-Rabbit IgG Secondaries →
Disclaimer
This product is for research use only. It is not intended for diagnostic or therapeutic use.
Scientific Validation Data
Validation Data
(2)
Enlarge Image
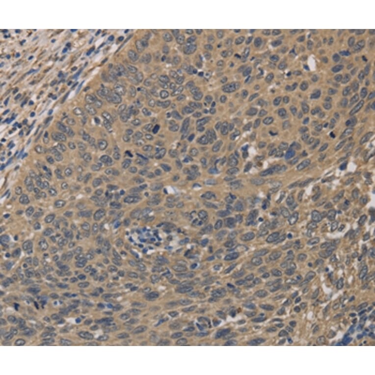
Immunohistochemistry - Anti-HSF1 Antibody (A46705)
Immunohistochemical analysis of paraffin-embedded Human cervical cancer tissue using #35770 at dilution 1/60.
Enlarge Image
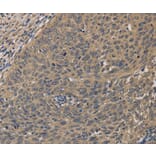
Immunohistochemistry - Anti-HSF1 Antibody (A46705)
Immunohistochemical analysis of paraffin-embedded Human tonsil tissue using #35770 at dilution 1/60.
Publishing research using Anti-HSF1 Antibody (A46705)? Please
let us know
so that we can list the citation on this page.
Alternative products to Anti-HSF1 Antibody (A46705)
(5)
A305101
Anti-HSF1 Antibody [10H8]
Rat monoclonal [10H8] antibody to HSF1 for WB, IHC, ICC/IF, IP, ELISA and Gel Shift.
(4)
A305102
Anti-HSF1 Antibody [10H4]
Rat monoclonal [10H4] antibody to HSF1 for WB, IHC, ICC/IF, IP, ELISA and Gel Shift.
(4)
A305103
Anti-HSF1 Antibody [4B4]
Rat monoclonal [4B4] antibody to HSF1 for WB, IHC, ICC/IF, IP, ELISA and Gel Shift.
(3)
A94055
1 Citation
Anti-HSF1 (phospho Ser303) Antibody
Rabbit polyclonal antibody to HSF1 (phospho Ser303) for WB, IHC, IF and ELISA.
(5)
A91427
Anti-HSF1 Antibody
Rabbit polyclonal antibody to HSF1 for WB, IHC and ICC/IF.
(3)
A98093
Anti-HSF1 Antibody
Rabbit polyclonal antibody to HSF1 for WB, IHC, IF and ELISA.
(2)
A94056
Anti-HSF1 (phospho Ser121) Antibody
Rabbit polyclonal antibody to HSF1 (phospho Ser121) for WB, IHC, IF and ELISA.
(2)
A27741
Anti-HSF1 (phospho-S303) Antibody
Rabbit polyclonal antibody to HSF1 (phospho-S303) for WB, IHC and IF.
(3)
A50550
Anti-HSF1 (Phospho-Ser307) Antibody
Rabbit polyclonal antibody to HSF1 (Phospho-Ser307) for WB and ICC/IF.
A34486
Anti-HSF1 Antibody
Rabbit polyclonal antibody to HSF1 for ELISA, WB, ICC/IF and IHC.
A26991
Anti-HSF1 (V297) Antibody
Rabbit polyclonal antibody to HSF1 (V297) for WB, IHC and IF.
(3)
A50467
Anti-HSF1 (phospho-Ser303) Antibody
Rabbit polyclonal antibody to HSF1 (phospho-Ser303) for WB and IHC.
(5)
A305101
Anti-HSF1 Antibody [10H8]
Rat monoclonal [10H8] antibody to HSF1 for WB, IHC, ICC/IF, IP, ELISA and Gel Shift.
(4)
A305102
Anti-HSF1 Antibody [10H4]
Rat monoclonal [10H4] antibody to HSF1 for WB, IHC, ICC/IF, IP, ELISA and Gel Shift.
(4)
A305103
Anti-HSF1 Antibody [4B4]
Rat monoclonal [4B4] antibody to HSF1 for WB, IHC, ICC/IF, IP, ELISA and Gel Shift.
(3)
A94055
1 Citation
Anti-HSF1 (phospho Ser303) Antibody
Rabbit polyclonal antibody to HSF1 (phospho Ser303) for WB, IHC, IF and ELISA.
(5)
A91427
Anti-HSF1 Antibody
Rabbit polyclonal antibody to HSF1 for WB, IHC and ICC/IF.
(3)
A98093
Anti-HSF1 Antibody
Rabbit polyclonal antibody to HSF1 for WB, IHC, IF and ELISA.
(2)
A94056
Anti-HSF1 (phospho Ser121) Antibody
Rabbit polyclonal antibody to HSF1 (phospho Ser121) for WB, IHC, IF and ELISA.
(2)
A27741
Anti-HSF1 (phospho-S303) Antibody
Rabbit polyclonal antibody to HSF1 (phospho-S303) for WB, IHC and IF.
(3)
A50550
Anti-HSF1 (Phospho-Ser307) Antibody
Rabbit polyclonal antibody to HSF1 (Phospho-Ser307) for WB and ICC/IF.
A34486
Anti-HSF1 Antibody
Rabbit polyclonal antibody to HSF1 for ELISA, WB, ICC/IF and IHC.
A26991
Anti-HSF1 (V297) Antibody
Rabbit polyclonal antibody to HSF1 (V297) for WB, IHC and IF.
(3)
A50467
Anti-HSF1 (phospho-Ser303) Antibody
Rabbit polyclonal antibody to HSF1 (phospho-Ser303) for WB and IHC.
See all HSF1 Antibodies
Proteins predicted to interact with HSF1
Predicted protein interactions based upon String database. Revelancy score correlates with probability of interaction.
HSP90 alpha Antibodies
99.8% Relevancy Score
HSP90 beta Antibodies
99.2% Relevancy Score
HSPA4 Antibodies
98.5% Relevancy Score
eEF1A1 Antibodies
95.5% Relevancy Score
Hsc70 Antibodies
92.8% Relevancy Score
BAG3 Antibodies
92.3% Relevancy Score
p23 Antibodies
92.2% Relevancy Score
eEF1A2 Antibodies
91.2% Relevancy Score
HSP40 Antibodies
90.6% Relevancy Score
Top