Western Blot - Anti-HSP27 Antibody [5D12-A12] (A304734)
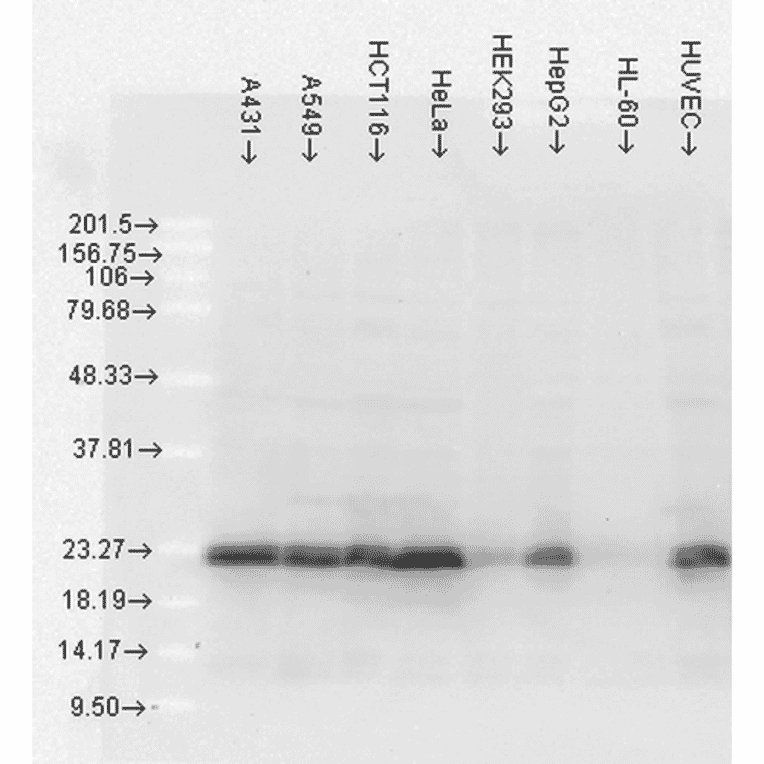
Western blot analysis of human Cell lysates showing detection of Hsp27 protein using Anti-HSP27 Antibody [5D12-A12] (A304734) at 1:1,000 for 2 hours at room temperature. Load: 15 µg. Block: 1.5% BSA for 30 minutes at room temperature. The secondary antibody used was Sheep Anti-Mouse IgG: HRP for 1 hour at room temperature.
Immunocytochemistry/Immunofluorescence analysis of human heat shocked cervical cancer cell line (HeLa), fixed in 2% formaldehyde for 20 minutes at room temperature, using Anti-HSP27 Antibody [5D12-A12] (A304734), at 1:100 for 12 hours at 4°C. The secondary antibody used was FITC Goat Anti-Mouse (green) at 1:200 for 2 hours at room temperature. Counterstain: DAPI (blue) nuclear stain at 1:40000 for 2 hours at room temperature. Localization: Cytoplasm. Nucleus. Magnification: 20x.(A) DAPI (blue) nuclear stain. (B) Anti-Hsp27 Antibody. (C) Composite. Heat Shocked at 42°C for 1h.
Immunocytochemistry/Immunofluorescence analysis of human HaCaT cells, fixed in cold 100% methanol for 10 minutes at -20°C, using Anti-HSP27 Antibody [5D12-A12] (A304734), at 1:100 for 1 hour at room temperature. The secondary antibody used was FITC Goat Anti-Mouse (green) at 1:50 for 1 hour at room temperature. Localization: Dull heterogeneous staining, some perinuclear, some nuclear and some cytoplasmic staining.
Immunocytochemistry/Immunofluorescence analysis of human heat shocked cervical cancer cell line (HeLa), fixed in 2% formaldehyde for 20 minutes at room temperature, using Anti-HSP27 Antibody [5D12-A12] (A304734), at 1:100 for 12 hours at 4°C. The secondary antibody used was FITC Goat Anti-Mouse (green) at 1:200 for 2 hours at room temperature. Counterstain: DAPI (blue) nuclear stain at 1:40000 for 2 hours at room temperature. Localization: Cytoplasm. Nucleus. Magnification: 100x.(A) DAPI (blue) nuclear stain. (B) Anti-Hsp27 Antibody. (C) Composite. Heat Shocked at 42°C for 1h.
Publishing research using Anti-HSP27 Antibody [5D12-A12] (A304734)? Please let us know so that we can list the citation on this page.
Alternative products to Anti-HSP27 Antibody [5D12-A12] (A304734)