HeLa cells staining with Anti-Heat Shock Protein 27 Antibody (red), Anti-Vimentin Antibody (A85421 | green) and DNA (blue). The Anti-Heat Shock Protein 27 Antibody reveals strong cytoplasmic staining and penetrates into the actin rich ruffled margins, while the Anti-Vimentin Antibody reveals cytoplasmic intermediate filaments.
Immunofluorescent analysis of HeLa cells stained with Anti-Heat Shock Protein 27 Antibody, at a dilution of 1:2,000, in green, and Anti-Heat Shock Protein 60 Antibody (A85438 | 1:2,000, in red. Blue is DAPI staining of nuclear DNA. The Anti-Heat Shock Protein 27 Antibody produces strong cytoplasm staining, while the Anti-Heat Shock Protein 60 Antibody specifically labels mitochondria.
Western Blot - Anti-HSP27 Antibody [6H11] (A85358)
Western blot analysis of tissue or whole cell lysates using Anti-Heat Shock Protein 27 Antibody, at a dilution of 1:10,000, in green,: [Lane 1] protein standard (red), [Lane 2] rat brain, [Lane 3] mouse brain, [Lane 4] NIH/3T3, [Lane 5] HEK293, [Lane 6] HeLa, [Lane 7] SH-SY5Y cells. Strong single band at ~27 kDa mark corresponds to HSP27 protein, detected only in human cell lines. The blot was simultaneously probed with Anti-Heat Shock Protein 60 Antibody (A85437 | 1:5,000, in red. A strong 60 kDa band is present in all preparations.
Western Blot - Anti-HSP27 Antibody [6H11] (A85358)
Western blots of HeLa cell crude extracts. Lane 16 was probed with Anti-Heat Shock Protein 27 Antibody, while Lanes 14 and 15 were probed with two other Anti-Heat Shock Protein 27 Antibodies that were generated at the same time (not on the sale). Note the strong clean bands at 27 kDa. Lane 17 was probed with Anti-Lamin A/C Antibody (A85444) which binds two bands running at 74 kDa and 65 kDa. Lane 13 was probed with Anti-Actin Antibody (A85388). Molecular weights of each protein are as indicated, and dots indicate the presence of major HeLa proteins.
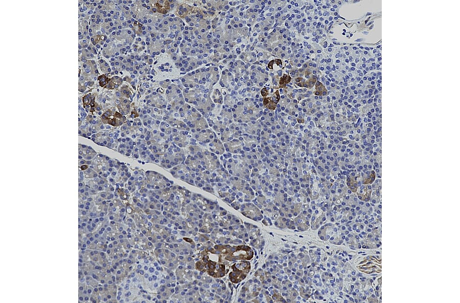
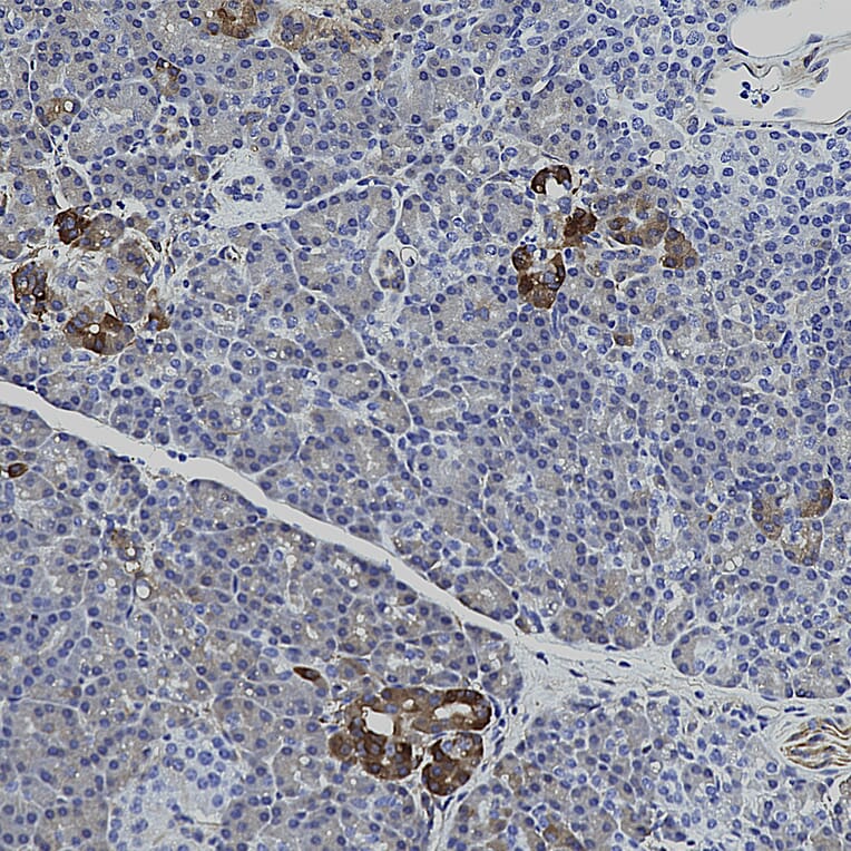
Immunohistochemistry analysis of a formalin fixed paraffin embedded human pancreas section with Anti-HSP27 Antibody [6H11] (A85358) at a dilution of 1:1,000. Anti-HSP27 Antibody [6H11] (A85358) strongly labels the cytoplasm of endocrine glandular cells and endothelium. Note: this antibody performs well in NBF fixed tissues but was not tested with 4%PFA fixation.