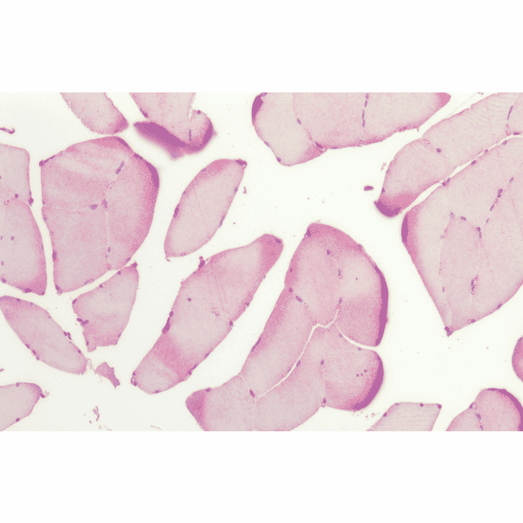
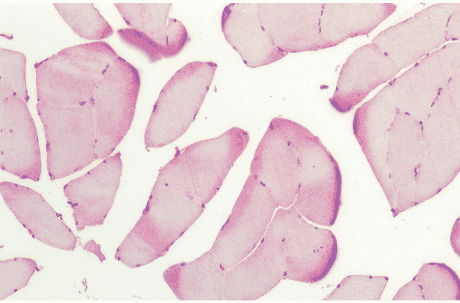
Immunohistochemistry analysis of human skeletal muscle, fixed in formalin and paraffin-embedded. The Primary Antibody used was Anti-HSP27 Antibody (A305135).
Immunocytochemistry/Immunofluorescence analysis of human heat shocked cervical cancer cell line (HeLa), fixed in 2% formaldehyde for 20 minutes at room temperature, using Anti-HSP27 Antibody (A305135), at 1:250 for 12 hours at 4°C. The secondary antibody used was APC Goat Anti-Rabbit (red) at 1:200 for 2 hours at room temperature. Counterstain: DAPI (blue) nuclear stain at 1:40000 for 2 hours at room temperature. Localization: Cytoplasm. Mitochondrion matrix. Magnification: 20x.(A) DAPI (blue) nuclear stain. (B) Anti-Hsp27 Antibody. (C) Composite. Heat Shocked at 42°C for 1h.
Western blot analysis of human Cervical cancer cell line (HeLa) lysate showing detection of HSP27 protein using Anti-HSP27 Antibody (A305135) at 1:2000 for 2 hours at room temperature. Load: 15 µgprotein. Block: 1.5% BSA. The secondary antibody used was Donkey Anti-Rabbit IgG: HRP for 1 hour at room temperature.
Immunocytochemistry/Immunofluorescence analysis of human heat shocked cervical cancer cell line (HeLa), fixed in 2% formaldehyde for 20 minutes at room temperature, using Anti-HSP27 Antibody (A305135), at 1:250 for 12 hours at 4°C. The secondary antibody used was FITC Goat Anti-Rabbit (green) at 1:200 for 2 hours at room temperature. Counterstain: DAPI (blue) nuclear stain at 1:40000 for 2 hours at room temperature. Localization: Cytoplasm. Mitochondrion matrix. Magnification: 100x.(A) DAPI (blue) nuclear stain. (B) Anti-Hsp27 Antibody. (C) Composite. Heat Shocked at 42°C for 1h.
Publishing research using Anti-HSP27 Antibody (A305135)? Please let us know so that we can list the citation on this page.
Alternative products to Anti-HSP27 Antibody (A305135)