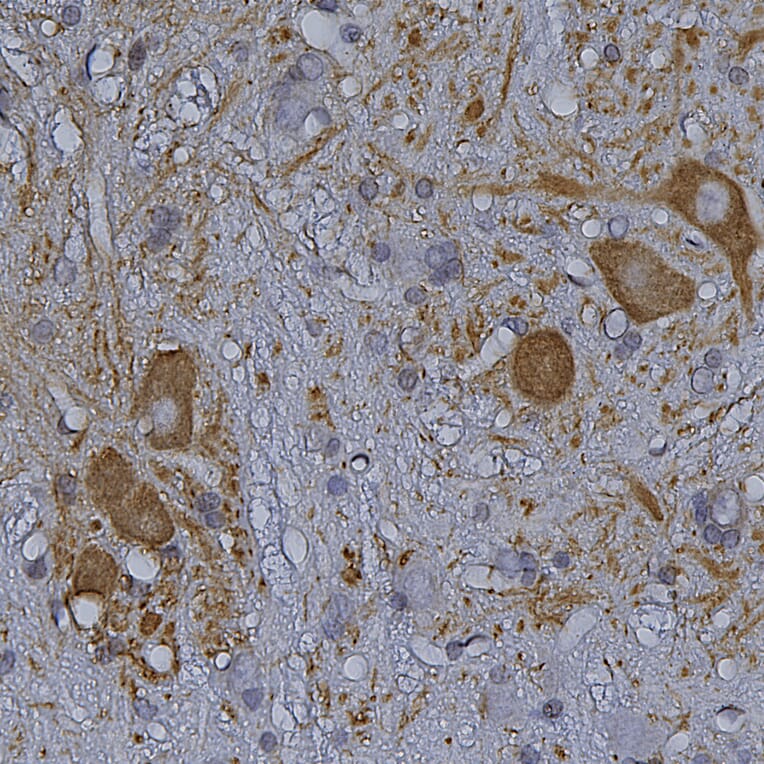
Immunohistochemistry analysis of a formalin fixed paraffin embedded coronal rat spinal cord section with Anti-HSP27 Antibody (A85356) at a dilution of 1:5,000 detected in DAB (brown) following the ABC method. Counterstained with Hematoxylin (blue). Anti-HSP27 Antibody (A85356) detects motoneurons within the ventral horn of cervical spinal cord.
HeLa cells stained with Anti-Heat Shock Protein 27 Antibody (green), Anti-HMGB1 Antibody (A85355 | red) and DNA (blue). Anti-Heat Shock Protein 27 Antibody reveals strong cytoplasmic staining and penetrates into the actin rich ruffled margins, while the Anti-HMGB1 Antibody reveals strong nuclear staining which overlaps with the DNA staining.
Immunofluorescent analysis of HeLa cells stained with Anti-Heat Shock Protein 27 Antibody (A85356), at a dilution of 1:1,000, in green, and co-stained with Anti-Heat Shock Protein 60 Antibody (A85439) at a dilution of 1:5,000 in red. Blue is DAPI staining of nuclear DNA. The Anti-Heat Shock Protein 27 Antibody (A85356) produces strong cytoplasmic staining, while the Anti-Heat Shock Protein 60 Antibody (A85439) specifically labels mitochondria.
Western blot analysis of whole cell lysates using Anti-Heat Shock Protein 27 Antibody (A85356), at a dilution of 1:2,000, in red. The lanes contain samples of: [Lane 1] Protein standards, in red, [Lane 2] NIH-3T3 cells, [Lane 3] C6 cells, [Lane 4] HeLa cells, [Lane 5] HEK293 cells, [Lane 6] SH-SY5Y cells, and [Lane 7] COS-1 cells. The strong single band at 27 kDa corresponds to Heat Shock Protein 27, which is strongly expressed in human cell lines. Note that the antibody does not recognize rodent Heat Shock Protein 27. The blot was simultaneously probed with Anti-beta Tubulin Antibody (A85428), at a dilution of 1:10,000, in green. A single band at 50 kDa, which is detected in all cell lysates, corresponds to the beta Tubulin proteins.