ISO 9001:2015 Certified
Live Customer Support
4.5/5 on Trustpilot
100% Quality Guarantee

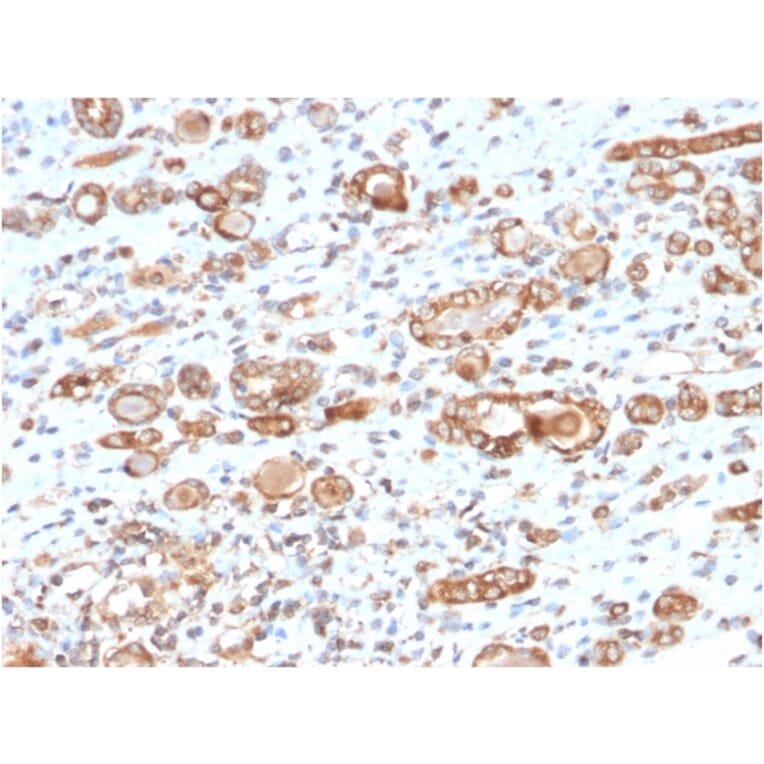
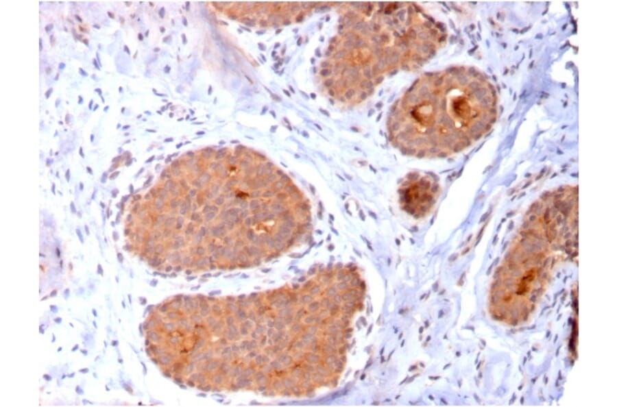
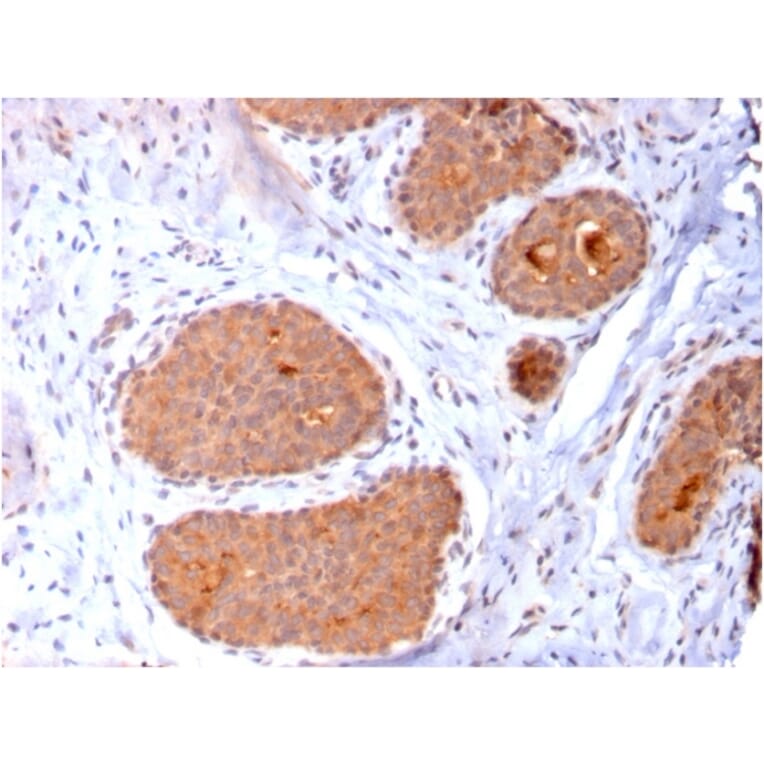
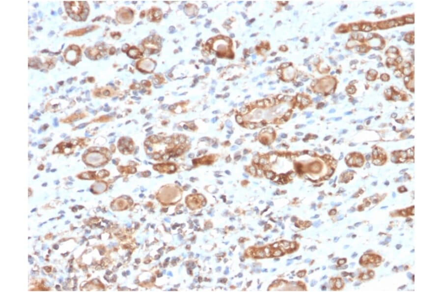
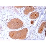
Anti-HSP60 Antibody [CPTC-HSPD1-1] - BSA and Azide free (A252070)

Mouse monoclonal [CPTC-HSPD1-1] antibody to HSP60 for Flow Cytometry, IF, WB and IHC-P.

Alternative Formats and ConjugatesAlternative Formats

Shipping Information

$40
Dispatched from St. Louis, MO.
Lead Time: 5-8 business days.
Name
Anti-HSP60 Antibody [CPTC-HSPD1-1] - BSA and Azide free
Description
Mouse monoclonal [CPTC-HSPD1-1] antibody to HSP60.
Specificity
The heat shock proteins (HSPs) comprise a group of highly conserved, abundantly expressed proteins with diverse functions, including the assembly and sequestering of multiprotein complexes, transportation of nascent polypeptide chains across cellular membranes, and the regulation of protein folding. The mitochondrial and cytosolic localization of HSP60, combined with its binding and catalysis of folding of newly synthesized proteins destined for the mitochondrial matrix, classify this protein as a molecular chaperone. An additional role of HSP 60 is to act as a cell surface marker for / Ã…L T cell recognition, as well as being involved in a danger signal cascade immune response. HSP60 has been shown to influence apoptosis in tumor cells, and changes in its expression level may serve as a biomarker, as down-regulated HSP60 expression indicates a poor prognosis as well as a risk of tumor infiltration development, especially with regard to urothelial carcinomas. In ovarian cancer, decreased expression of HSP60 correlates with aggressive tumor types, while overexpression is correlated with a better patient prognosis.
Applications
Flow Cytometry, IF, WB, IHC-P
Dilutions
Flow Cytometry: 1-2 µg/million cells, IF: 1-2 µg/ml, WB: 1-2 µg/ml, IHC-P: 1-2 µg/ml
Reactivity
Human
Immunogen
Recombinant full-length human HSPD1 protein.
Host
Mouse
Clonality
Monoclonal
Clone ID
CPTC-HSPD1-1
Isotype
IgG1
Light Chains
kappa
Conjugate

Unconjugated

Purification
Protein A/G chromatography.
Concentration
1 mg/ml
Molecular Weight
60 kDa
Product Form
Liquid
Formulation
Supplied in 10mM Phosphate Buffered Saline; without Sodium Azide and carrier free.
Storage
Shipped at 4°C. Upon delivery aliquot and store at -20°C. Avoid freeze / thaw cycles.
General Notes
This monoclonal antibody is also available in a different formulation with BSA and Sodium Azide - Anti-HSP60 Antibody [CPTC-HSPD1-1] (A248890).
Synonyms
60 kDa chaperonin, 60 kDa heat shock protein, mitochondrial, Chaperonin 60, CPN60, Heat shock protein 60, Heat shock protein family D member 1, HSP-60, HSPD1, HuCHA60
Disclaimer
This product is for research use only. It is not intended for diagnostic or therapeutic use.
Publishing research using Anti-HSP60 Antibody [CPTC-HSPD1-1] - BSA and Azide free (A252070)? Please let us know so that we can list the citation on this page.

Alternative products to Anti-HSP60 Antibody [CPTC-HSPD1-1] - BSA and Azide free (A252070)

Proteins predicted to interact with HSP60

Predicted protein interactions based upon String database. Revelancy score correlates with probability of interaction.
99.9% Relevancy Score
99.9% Relevancy Score
99.9% Relevancy Score
97.6% Relevancy Score
97% Relevancy Score
96.3% Relevancy Score
95.8% Relevancy Score
93.3% Relevancy Score
93.1% Relevancy Score