ISO 9001:2015 Certified
Live Customer Support
4.5/5 on Trustpilot
100% Quality Guarantee

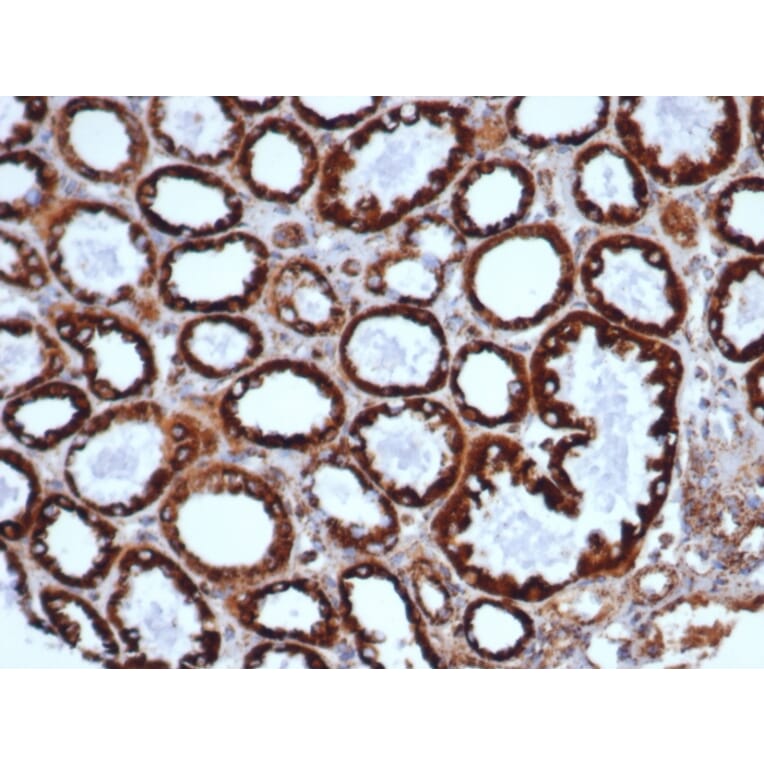
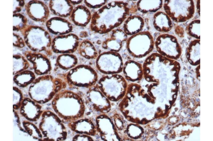
Recombinant Anti-HSP60 Antibody [HSPD1/6498R] - BSA and Azide free (A278586)

Recombinant rabbit monoclonal [HSPD1/6498R] antibody to HSP60 for WB and IHC-P.

Alternative Formats and ConjugatesAlternative Formats

Shipping Information

$40
Dispatched from St. Louis, MO.
Lead Time: 5-8 business days.
Name
Anti-HSP60 Antibody [HSPD1/6498R] - BSA and Azide free
Description
Recombinant rabbit monoclonal [HSPD1/6498R] antibody to HSP60.
Specificity
This antibody recognizes a 60kDa protein, identified as the heat shock protein 60 (hsp60). Its epitope is localized between aa 383-447 of human hsp60. A wide variety of environmental and pathophysiological stressful conditions trigger the synthesis of a family of proteins known as heat shock proteins (hsp s), more appropriately called as stress response proteins (srp s). hsp60 is a potential antigen in a number of autoimmune diseases. In human arthritis and in experimentally induced arthritis in animals, disease development coincides with the development of immune reactivity directed against not only bacterial hsp60, but also against its mammalian homolog. Clone HSPD1/6498R, unlike LK2, This antibody recognizes only the mammalian (not bacterial) hsp60 and is useful in distinguishing hsp60 from mammals and bacteria.
Applications
WB, IHC-P
Dilutions
WB: 1-2 µg/ml, IHC-P: 1-2 µg/ml
Reactivity
Human, Mouse, Rat, Hamster, Sheep, Rabbit, Bovine, Canine, Porcine, Monkey, Chicken
Immunogen
Recombinant full-length human HSP60 protein.
Host
Rabbit
Clonality
Monoclonal
Clone ID
HSPD1/6498R
Isotype
IgG
Light Chains
kappa
Conjugate

Unconjugated

Purification
Protein A/G chromatography.
Concentration
1 mg/ml
Molecular Weight
60 kDa
Product Form
Liquid
Formulation
Supplied in 10mM Phosphate Buffered Saline; without Sodium Azide and carrier free.
Storage
Shipped at 4°C. Upon delivery aliquot and store at -20°C. Avoid freeze / thaw cycles.
General Notes
This monoclonal antibody is also available in a different formulation with BSA and Sodium Azide - Anti-HSP60 Antibody [HSPD1/6498R] (A277998).
Synonyms
60 kDa chaperonin, 60 kDa heat shock protein, mitochondrial, Chaperonin 60, CPN60, Heat shock protein 60, Heat shock protein family D member 1, HSP-60, HSPD1, HuCHA60
Disclaimer
This product is for research use only. It is not intended for diagnostic or therapeutic use.
Publishing research using Recombinant Anti-HSP60 Antibody [HSPD1/6498R] - BSA and Azide free (A278586)? Please let us know so that we can list the citation on this page.

Alternative products to Anti-HSP60 Antibody [HSPD1/6498R] - BSA and Azide free (A278586)

Proteins predicted to interact with HSP60

Predicted protein interactions based upon String database. Revelancy score correlates with probability of interaction.
99.9% Relevancy Score
99.9% Relevancy Score
99.9% Relevancy Score
97.6% Relevancy Score
97% Relevancy Score
96.3% Relevancy Score
95.8% Relevancy Score
93.3% Relevancy Score
93.1% Relevancy Score