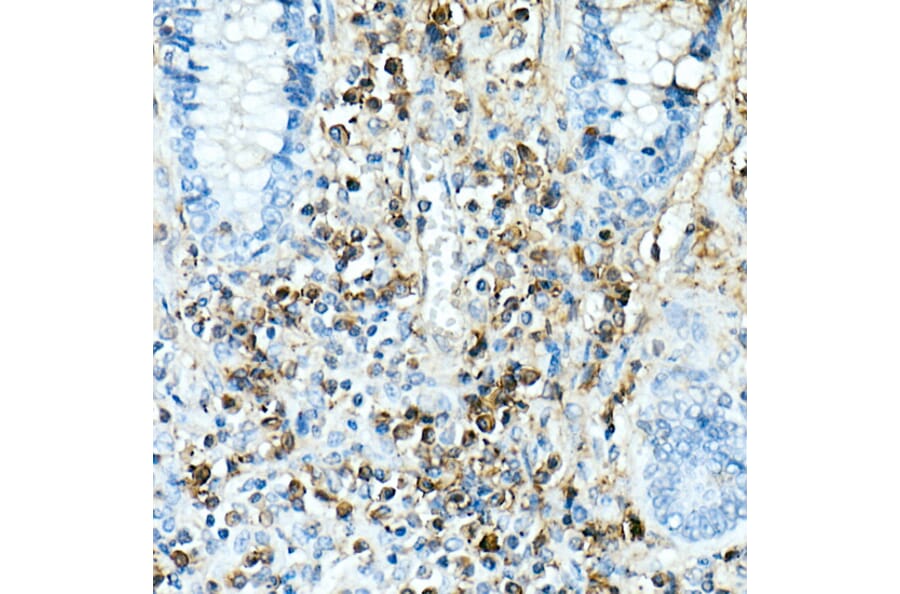
Immunohistochemistry analysis of paraffin-embedded human colon carcinoma tissue using Anti-IL-17A Antibody (A306037) at a dilution of 1:100(40x lens). Perform high pressure antigen retrieval with 10 mM citrate buffer pH 6.0 before commencing with IHC staining protocol.
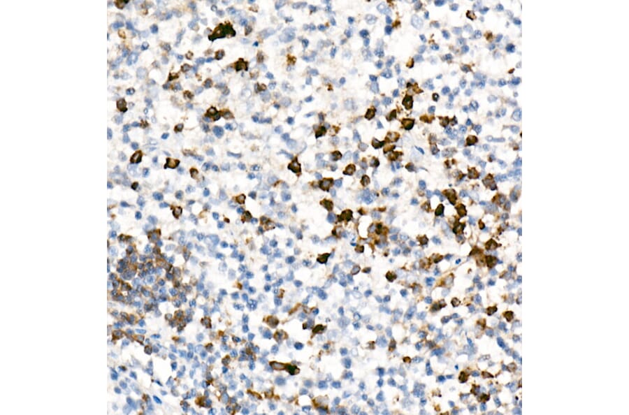
Immunohistochemistry analysis of paraffin-embedded human tonsil using Anti-IL-17A Antibody (A306037) at a dilution of 1:100(40x lens). Perform high pressure antigen retrieval with 10 mM citrate buffer pH 6.0 before commencing with IHC staining protocol.
Immunohistochemistry analysis of paraffin-embedded mouse colon using Anti-IL-17A Antibody (A306037) at a dilution of 1:100(40x lens). Perform high pressure antigen retrieval with 10 mM citrate buffer pH 6.0 before commencing with IHC staining protocol.
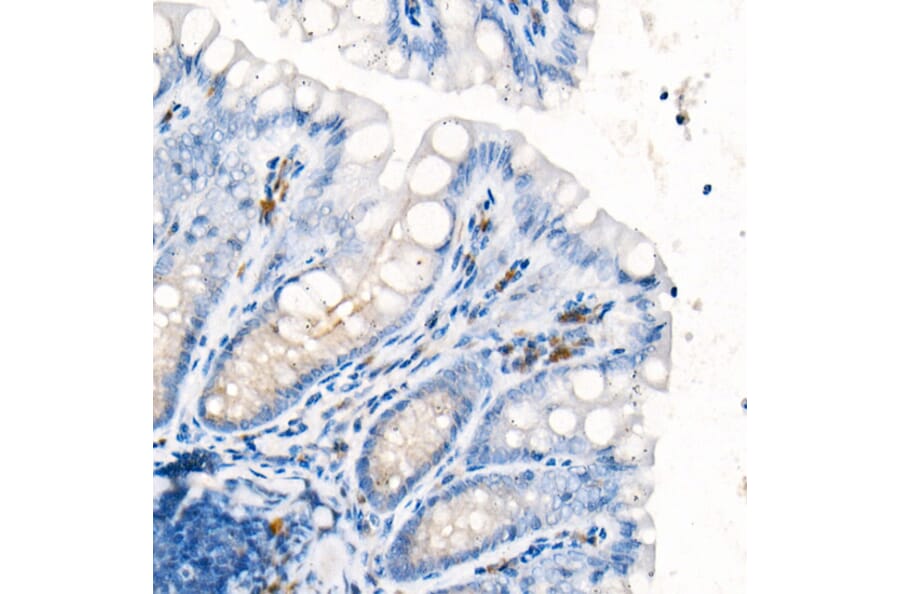
Immunohistochemistry analysis of paraffin-embedded rat colon using Anti-IL-17A Antibody (A306037) at a dilution of 1:100(40x lens). Perform high pressure antigen retrieval with 10 mM citrate buffer pH 6.0 before commencing with IHC staining protocol.
Publishing research using Anti-IL-17A Antibody [ARC52762] (A306037)? Please let us know so that we can list the citation on this page.
Alternative products to Anti-IL-17A Antibody [ARC52762] (A306037)
Recombinant humanized monoclonal antibody to IL-17A for use as a research grade Ixekizumab biosimila for ELISA, Flow Cytometry, Functional Studies and in vivo Research.
Recombinant humanized monoclonal antibody to IL-17A for use as a research grade Xeligekimab biosimil for ELISA, Flow Cytometry, Functional Studies and in vivo Research.
Recombinant humanized monoclonal antibody to IL-17A for use as a research grade Gumokimab biosimilar for ELISA, Flow Cytometry, Functional Studies and in vivo Research.
Recombinant humanized monoclonal antibody to IL-17A for use as a research grade Ixekizumab biosimila for ELISA, Flow Cytometry, Functional Studies and in vivo Research.
Recombinant humanized monoclonal antibody to IL-17A for use as a research grade Xeligekimab biosimil for ELISA, Flow Cytometry, Functional Studies and in vivo Research.
Recombinant humanized monoclonal antibody to IL-17A for use as a research grade Gumokimab biosimilar for ELISA, Flow Cytometry, Functional Studies and in vivo Research.