Primary Antibodies
Secondary Antibodies
Proteins & Peptides
ELISA Kits
About Us
Contact Us
Sign In/Register
0
ISO 9001:2015 Certified
Live Customer Support
4.5/5 on Trustpilot
100% Quality Guarantee
Home
Primary Antibodies
IL-4R Antibodies
Anti-IL4R Antibody (A101412)
Anti-IL4R Antibody (A101412)
Overview
Specifications
Images
Enlarge Image
Enlarge Image
Enlarge Image
$190
Product Datasheet
Rabbit polyclonal antibody to IL4R for WB and ELISA.
100% Guarantee
Price Match Guarantee
Product Size:
10µg
100µg
Quantity:
1
2
3
4
5
6
7
8
9
10
Add To Cart
Request a Quotation
Custom or Bulk Request
Shipping Information
Freight/Packing Charges:
$40
Dispatched from St. Louis, MO.
Lead Time: 6-8 business days.
Specifications
Name
Anti-IL4R Antibody
Description
Rabbit polyclonal antibody to IL4R.
Applications
WB
,
ELISA
Dilutions
WB: 1:500-1:1000, ELISA: 1:10000
Reactivity
Human
Immunogen
Synthetic peptide derived from the Internal region of human IL4R (amino acids 131-180).
Host
Rabbit
Clonality
Polyclonal
Isotype
IgG
Conjugate
Unconjugated
Purification
The antibody was affinity-purified from rabbit antiserum by affinity-chromatography using epitope-specific peptide.
Molecular Weight
90kDa
Product Form
Liquid
Formulation
Supplied in Phosphate Buffered Saline (without Mg2+ and Ca2+), pH 7.4, with 150mM NaCl, 0.02% Sodium Azide, and 50% Glycerol.
Storage
Shipped at 4°C. Upon delivery aliquot and store at -20°C. Avoid freeze / thaw cycles.
Synonyms
CD124, IL-4 receptor subunit alpha, IL-4R subunit alpha, IL-4R-alpha, IL-4RA, IL4RA, Interleukin-4 receptor subunit alpha
Isotype Controls
Rabbit IgG (A82272)
Rabbit IgG (A17360)
Suitable Secondaries
Goat Anti-Rabbit IgG H&L Antibody (AP) (A294874)
Goat Anti-Rabbit IgG H&L Antibody (Biotin) (A294795)
Goat Anti-Rabbit IgG H&L Antibody (FITC) (A294887)
Goat Anti-Rabbit IgG H&L Antibody (HRP) (A294888)
See all Anti-Rabbit IgG Secondaries →
Disclaimer
This product is for research use only. It is not intended for diagnostic or therapeutic use.
Scientific Validation Data
Validation Data
(3)
Enlarge Image
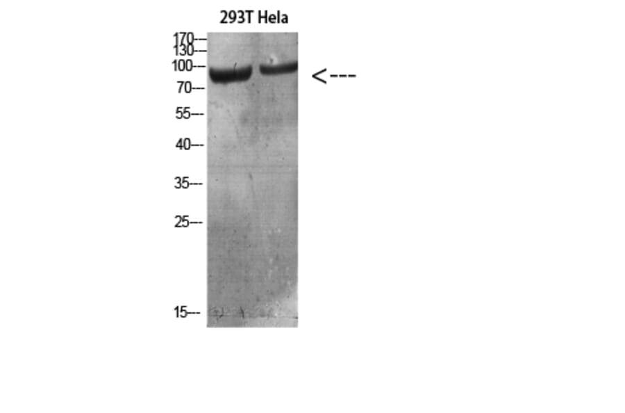
Western Blot - Anti-IL4R Antibody (A101412)
Western blot analysis of extracts from 293T and HeLa cells using Anti-IL4R Antibody.
Enlarge Image
Western Blot - Anti-IL4R Antibody (A101412)
Western blot analysis of rat muscle lysis using Anti-IL4R Antibody.
Enlarge Image
Western Blot - Anti-IL4R Antibody (A101412)
Western blot analysis of various cells using Anti-IL4R Antibody.
Publishing research using Anti-IL4R Antibody (A101412)? Please
let us know
so that we can list the citation on this page.
Alternative products to Anti-IL4R Antibody (A101412)
(3)
A323403
Dupilumab Biosimilar - Anti-IL-4R Antibody - Low endotoxin, Azide free
Recombinant human monoclonal antibody to IL-4R for ELISA, FACS, Functional Assay and In Vivo.
(3)
A94000
Anti-IL-4R (phospho Tyr497) Antibody
Rabbit polyclonal antibody to IL-4R (phospho Tyr497) for WB, IF and ELISA.
(4)
A95470
Anti-IL-4RAntibody
Rabbit polyclonal antibody to IL-4RAntibody for WB, IF and ELISA.
(3)
A339008
Dupilumab Biosimilar - Anti-IL-4R Antibody - BSA and Azide free
Human monoclonal antibody to IL-4R Research grade Dupilumab biosimilar for ELISA, Flow Cytometry, Functional Studies and in vivo Research.
(3)
A340481
Rademikibart Biosimilar - Anti-IL-4R Antibody - BSA and Azide free
Human monoclonal antibody to IL-4R Research grade Rademikibart biosimilar for ELISA, Flow Cytometry, Functional Studies and in vivo Research.
(3)
A340482
Stapokibart Biosimilar - Anti-IL-4R Antibody - BSA and Azide free
Human monoclonal antibody to IL-4R Research grade Stapokibart biosimilar for ELISA, Flow Cytometry, Functional Studies and in vivo Research.
(2)
A324094
Anti-IL-4R Antibody [MEDI2045] - Low endotoxin, Azide free
Recombinant human monoclonal [MEDI2045] antibody to IL-4R for ELISA, FACS, Functional Assay and In Vivo.
(3)
A88274
Anti-IL-4R Antibody
Rabbit polyclonal antibody to IL-4R for WB and IHC.
(2)
A340712
Comekibart Biosimilar - Anti-IL-4R Antibody - BSA and Azide free
Humanized monoclonal antibody to IL-4R Research grade Comekibart biosimilar for ELISA, Flow Cytometry, Functional Studies and in vivo Research.
(2)
A339171
Manfidokimab Biosimilar - Anti-IL-4R Antibody - BSA and Azide free
Humanized monoclonal antibody to IL-4R Research grade Manfidokimab biosimilar for ELISA, Flow Cytometry, Functional Studies and in vivo Research.
A340557
Anti-IL-4R Antibody [12B5] Biosimilar - BSA and Azide free
Human monoclonal antibody to IL-4R Research grade 12B5 biosimilar for ELISA, Flow Cytometry, Functional Studies and in vivo Research.
A340059
Anti-IL-4R Antibody [AMG 317] Biosimilar - BSA and Azide free
Human monoclonal antibody to IL-4R Research grade AMG 317 biosimilar for ELISA, Flow Cytometry, Functional Studies and in vivo Research.
(3)
A323403
Dupilumab Biosimilar - Anti-IL-4R Antibody - Low endotoxin, Azide free
Recombinant human monoclonal antibody to IL-4R for ELISA, FACS, Functional Assay and In Vivo.
(3)
A94000
Anti-IL-4R (phospho Tyr497) Antibody
Rabbit polyclonal antibody to IL-4R (phospho Tyr497) for WB, IF and ELISA.
(4)
A95470
Anti-IL-4RAntibody
Rabbit polyclonal antibody to IL-4RAntibody for WB, IF and ELISA.
(3)
A339008
Dupilumab Biosimilar - Anti-IL-4R Antibody - BSA and Azide free
Human monoclonal antibody to IL-4R Research grade Dupilumab biosimilar for ELISA, Flow Cytometry, Functional Studies and in vivo Research.
(3)
A340481
Rademikibart Biosimilar - Anti-IL-4R Antibody - BSA and Azide free
Human monoclonal antibody to IL-4R Research grade Rademikibart biosimilar for ELISA, Flow Cytometry, Functional Studies and in vivo Research.
(3)
A340482
Stapokibart Biosimilar - Anti-IL-4R Antibody - BSA and Azide free
Human monoclonal antibody to IL-4R Research grade Stapokibart biosimilar for ELISA, Flow Cytometry, Functional Studies and in vivo Research.
(2)
A324094
Anti-IL-4R Antibody [MEDI2045] - Low endotoxin, Azide free
Recombinant human monoclonal [MEDI2045] antibody to IL-4R for ELISA, FACS, Functional Assay and In Vivo.
(3)
A88274
Anti-IL-4R Antibody
Rabbit polyclonal antibody to IL-4R for WB and IHC.
(2)
A340712
Comekibart Biosimilar - Anti-IL-4R Antibody - BSA and Azide free
Humanized monoclonal antibody to IL-4R Research grade Comekibart biosimilar for ELISA, Flow Cytometry, Functional Studies and in vivo Research.
(2)
A339171
Manfidokimab Biosimilar - Anti-IL-4R Antibody - BSA and Azide free
Humanized monoclonal antibody to IL-4R Research grade Manfidokimab biosimilar for ELISA, Flow Cytometry, Functional Studies and in vivo Research.
A340557
Anti-IL-4R Antibody [12B5] Biosimilar - BSA and Azide free
Human monoclonal antibody to IL-4R Research grade 12B5 biosimilar for ELISA, Flow Cytometry, Functional Studies and in vivo Research.
A340059
Anti-IL-4R Antibody [AMG 317] Biosimilar - BSA and Azide free
Human monoclonal antibody to IL-4R Research grade AMG 317 biosimilar for ELISA, Flow Cytometry, Functional Studies and in vivo Research.
See all IL4R Antibodies
Proteins predicted to interact with IL-4R
Predicted protein interactions based upon String database. Revelancy score correlates with probability of interaction.
IL-13RA2 Antibodies
99.9% Relevancy Score
STAT6 Antibodies
99.9% Relevancy Score
JAK1 Antibodies
99.9% Relevancy Score
IL-2RG Antibodies
99.9% Relevancy Score
IL-4 Antibodies
99.9% Relevancy Score
IL13 Receptor alpha 1 Antibodies
99.9% Relevancy Score
IL-13 Antibodies
99.9% Relevancy Score
JAK3 Antibodies
98.8% Relevancy Score
JAK2 Antibodies
97.7% Relevancy Score
Top