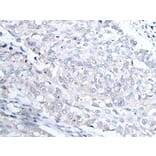
The image on the left is immunohistochemistry of paraffin-embedded Human lung cancer tissue using INSR Antibody at dilution 1/25, on the right is treated with synthetic peptide. (Original magnification: x200)
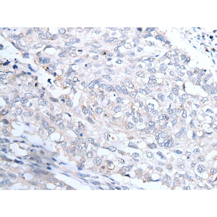
The image on the left is immunohistochemistry of paraffin-embedded Human oesophagus cancer tissue using INSR Antibody at dilution 1/25, on the right is treated with synthetic peptide. (Original magnification: x200)
Publishing research using Anti-INSR Antibody (A47135)? Please let us know so that we can list the citation on this page.
Alternative products to Anti-INSR Antibody (A47135)
Recombinant human monoclonal antibody to Insulin Receptor for use as a research grade Ersodetug bios for ELISA, Flow Cytometry, Functional Studies and in vivo Research.
Recombinant human monoclonal antibody to Insulin Receptor for use as a research grade XPA1524720 for ELISA, Flow Cytometry, Functional Studies and in vivo Research.
Recombinant humanantibody to Insulin Receptor for use as a research grade IRAB-A biosimilar for ELISA, Flow Cytometry, Functional Studies and in vivo Research.
Recombinant chimeric monoclonal antibody to Insulin Receptor for use as a research grade Valanafusp for ELISA, Flow Cytometry, Functional Studies and in vivo Research.
Recombinant human monoclonal antibody to Insulin Receptor for use as a research grade AGT-182 biosim for ELISA, Flow Cytometry, Functional Studies and in vivo Research.
Recombinant human monoclonal antibody to Insulin Receptor for use as a research grade IRAB-B biosimi for ELISA, Flow Cytometry, Functional Studies and in vivo Research.
Recombinant human monoclonal antibody to Insulin Receptor for use as a research grade Ersodetug bios for ELISA, Flow Cytometry, Functional Studies and in vivo Research.
Recombinant human monoclonal antibody to Insulin Receptor for use as a research grade XPA1524720 for ELISA, Flow Cytometry, Functional Studies and in vivo Research.
Recombinant humanantibody to Insulin Receptor for use as a research grade IRAB-A biosimilar for ELISA, Flow Cytometry, Functional Studies and in vivo Research.
Recombinant chimeric monoclonal antibody to Insulin Receptor for use as a research grade Valanafusp for ELISA, Flow Cytometry, Functional Studies and in vivo Research.
Recombinant human monoclonal antibody to Insulin Receptor for use as a research grade AGT-182 biosim for ELISA, Flow Cytometry, Functional Studies and in vivo Research.
Recombinant human monoclonal antibody to Insulin Receptor for use as a research grade IRAB-B biosimi for ELISA, Flow Cytometry, Functional Studies and in vivo Research.