Synthetic peptide derived from human Keratin 19 (amino acids 231-280).
Host
Rabbit
Clonality
Polyclonal
Isotype
IgG
Conjugate
Unconjugated
Purification
Purified from rabbit serum by antigen affinity chromatography using the immunizing peptide.
Molecular Weight
44kDa
Product Form
Liquid
Formulation
Supplied in Phosphate Buffered Saline (without Mg2+ and Ca2+), pH 7.4, with 150mM NaCl, 0.02% Sodium Azide, and 50% Glycerol.
Storage
Shipped at 4°C. Upon delivery aliquot and store at -20°C. Avoid freeze / thaw cycles.
Synonyms
CK18, CK19, CK8, K18, K19, K8, keratin 18, keratin 19, keratin 8, Keratin type I 40kDa, Keratin type I cytoskeletal 18, Keratin type I cytoskeletal 19, Keratin type II cytoskeletal 8, KRT18, KRT19, KRT8
Western blot analysis of lysates from LOVO cells using Anti-Keratin 19 Antibody. The right hand lane represents a negative control, where the antibody is blocked by the immunising peptide.
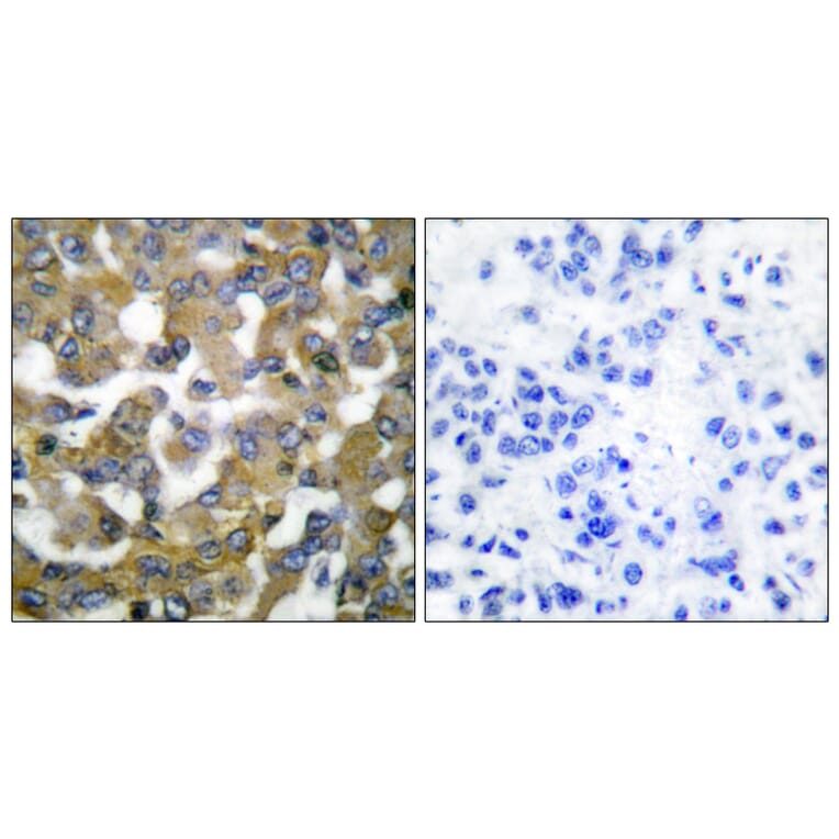
Immunohistochemical analysis of paraffin-embedded human breast carcinoma tissue using Anti-Keratin 19 Antibody. The right hand panel represents a negative control, where the antibody was pre-incubated with the immunising peptide.
Immunohistochemical analysis of paraffin-embedded human liver cancer tissue using Anti-Keratin 19 Antibody at 1:200 (4°C overnight). Negative control was secondary antibody only.
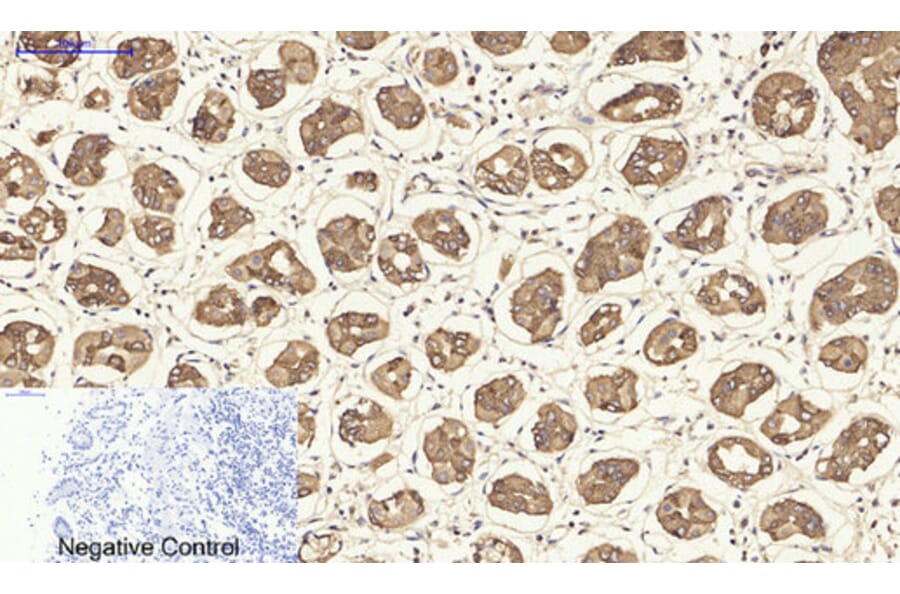
Immunohistochemical analysis of paraffin-embedded human stomach tissue using Anti-Keratin 19 Antibody at 1:200 (4°C overnight). Negative control was secondary antibody only.
Immunofluorescence analysis of rat lung tissue using Anti-Keratin 19 Antibody (red) at 1:200 (4°C overnight). Cy3 labelled secondary antibody was used at 1:300 (RT 50min). Panel A: Target. Panel B: DAPI. Panel C: Merge.
Immunofluorescence analysis of human liver tissue using Anti-Keratin 19 Antibody (red) at 1:200 (4°C overnight). Cy3 labelled secondary antibody was used at 1:300 (RT 50min). Panel A: Target. Panel B: DAPI. Panel C: Merge.