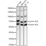
Western blot analysis of various lysates, using Anti-Lamin A Antibody (A8408) at 1:1,000 dilution. The secondary antibody was Goat Anti-Rabbit IgG H&L Antibody (HRP) at 1:10,000 dilution. Lysates/proteins were present at 25µg per lane. The blocking buffer used was 3% non-fat dry milk in TBST. Detection was with a ECL Basic Kit. Exposure time: 1s.
Immunohistochemistry - Anti-Lamin A Antibody (A8408)
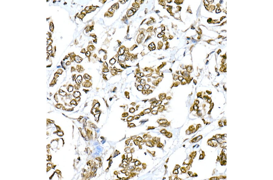
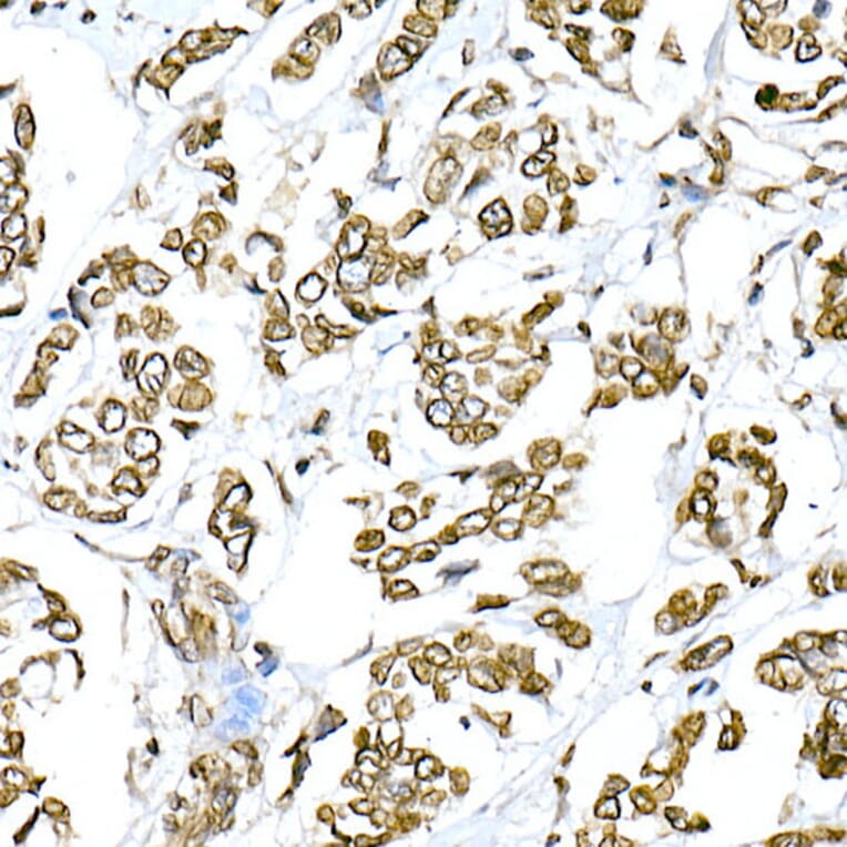
Immunohistochemistry analysis of paraffin-embedded human breast cancer tissue using Anti-Lamin A Antibody (A8408) at a dilution of 1:100 (40x lens). Perform high pressure antigen retrieval with 10 mM citrate buffer pH 6.0 before commencing with IHC staining protocol.
Immunohistochemistry - Anti-Lamin A Antibody (A8408)
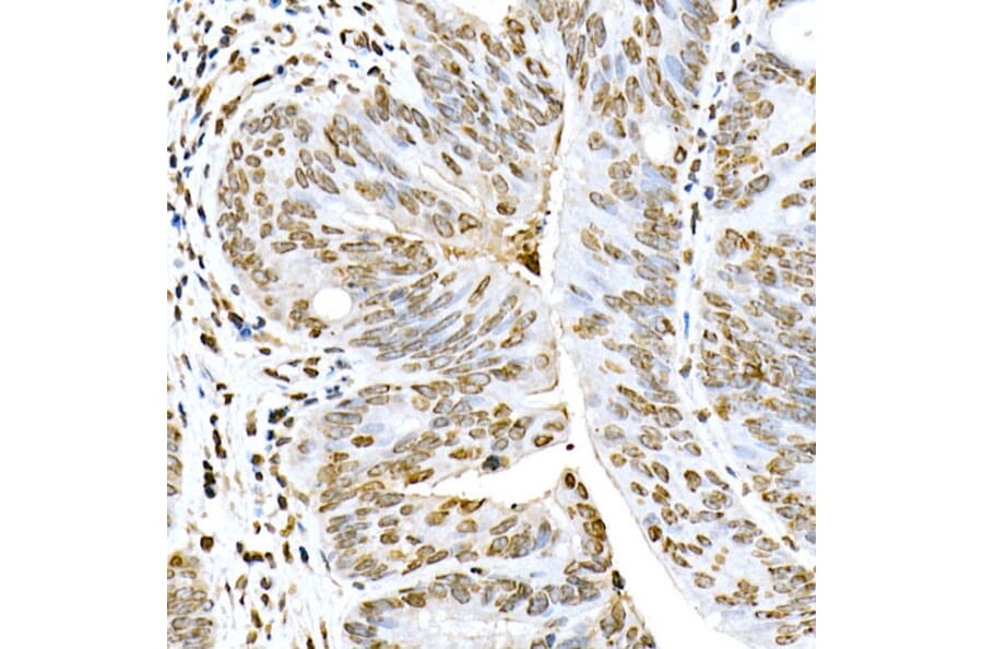
Immunohistochemistry analysis of paraffin-embedded human colon carcinoma tissue using Anti-Lamin A Antibody (A8408) at a dilution of 1:100 (40x lens). Perform high pressure antigen retrieval with 10 mM citrate buffer pH 6.0 before commencing with IHC staining protocol.
Immunofluorescence - Anti-Lamin A Antibody (A8408)
Immunofluorescence analysis of A-549 cells using Anti-Lamin A Antibody (A8408) at a dilution of 1:100 (40x lens). DAPI was used to stain the cell nuclei (blue).
Immunofluorescence - Anti-Lamin A Antibody (A8408)
Immunofluorescence analysis of HeLa cells using Anti-Lamin A Antibody (A8408) at a dilution of 1:100 (40x lens). DAPI was used to stain the cell nuclei (blue).
Immunofluorescence - Anti-Lamin A Antibody (A8408)
Immunofluorescence analysis of NIH/3T3 cells using Anti-Lamin A Antibody (A8408) at a dilution of 1:100 (40x lens). DAPI was used to stain the cell nuclei (blue).
Immunofluorescence - Anti-Lamin A Antibody (A8408)
Immunofluorescence analysis of PC-12 cells using Anti-Lamin A Antibody (A8408) at a dilution of 1:100 (40x lens). DAPI was used to stain the cell nuclei (blue).
Chromatin Immunoprecipitation - Anti-Lamin A Antibody (A8408)
Chromatin immunoprecipitation (ChIP) analysis of extracts of HeLa cells, using Anti-Lamin A Antibody (A8408) and Rabbit IgG. The amount of immunoprecipitated DNA was checked by quantitative PCR. Histogram was constructed by the ratios of the immunoprecipitated DNA to the input.