ISO 9001:2015 Certified
Live Customer Support
4.5/5 on Trustpilot
100% Quality Guarantee

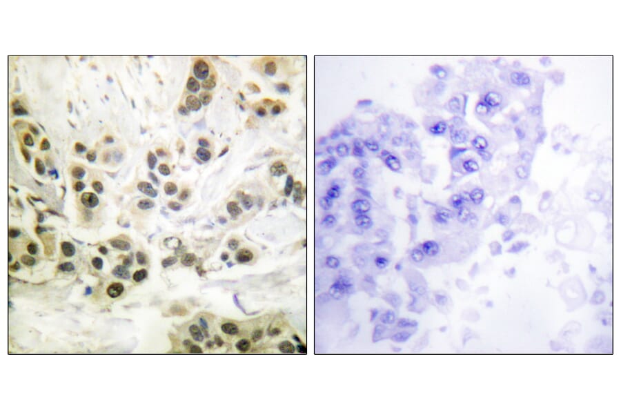
Anti-Lamin A + C (phospho Ser392) Antibody (A94126)

Rabbit polyclonal antibody to Lamin A + C (phospho Ser392) for WB, IHC, IF and ELISA.

Shipping Information

$40
Dispatched from St. Louis, MO.
Lead Time: 6-8 business days.
Name
Anti-Lamin A + C (phospho Ser392) Antibody
Description
Rabbit polyclonal antibody to Lamin A + C (phospho Ser392).
Specificity
This antibody detects endogenous levels of Lamin A/C only when phosphorylated at Ser392.
Applications
WB, IHC, IF, ELISA
Dilutions
WB: 1:500~1:1000, IHC: 1:50~1:100, ELISA: 1:10000
Reactivity
Human, Mouse, Rat
Cross Reactivity
No reported cross-reactivity.
Immunogen
Synthetic peptide derived from human Lamin A/C around the phosphorylation site of Ser392 (amino acids 361-410).
Host
Rabbit
Clonality
Polyclonal
Isotype
IgG
Conjugate

Unconjugated

Purification
Purified from rabbit serum by antigen affinity chromatography using the immunizing phospho peptide.
Molecular Weight
74kDa
Product Form
Liquid
Formulation
Supplied in Phosphate Buffered Saline (without Mg2+ and Ca2+), pH 7.4, with 150mM NaCl, 0.02% Sodium Azide, and 50% Glycerol.
Storage
Shipped at 4°C. Upon delivery aliquot and store at -20°C. Avoid freeze / thaw cycles.
Synonyms
LMN1, LMNA, Prelamin-A/C
Disclaimer
This product is for research use only. It is not intended for diagnostic or therapeutic use.
Publishing research using Anti-Lamin A + C (phospho Ser392) Antibody (A94126)? Please let us know so that we can list the citation on this page.

Alternative products to Anti-Lamin A + C (phospho Ser392) Antibody (A94126)

Proteins predicted to interact with Lamin A

Predicted protein interactions based upon String database. Revelancy score correlates with probability of interaction.
99.9% Relevancy Score
99.9% Relevancy Score
99.7% Relevancy Score
99.6% Relevancy Score
99.6% Relevancy Score
99.6% Relevancy Score
99.2% Relevancy Score
98.9% Relevancy Score
96.1% Relevancy Score