Western blot analysis of extracts of various cell lines, using Anti-Lamin A Antibody (A91083). The secondary antibody was Goat Anti-Rabbit IgG H&L Antibody (HRP) at 1:10,000 dilution. Lysates/proteins were present at 25µg per lane. The blocking buffer used was 3% non-fat dry milk in TBST. Detection was with a ECL Basic Kit.
Western blot analysis of extracts from normal (control) and Lamin A/C Rabbit polyclonal antibody knockout (KO) HeLa cells, using Anti-Lamin A Antibody (A91083). The secondary antibody was Goat Anti-Rabbit IgG H&L Antibody (HRP) at 1:10,000 dilution. Lysates/proteins were present at 25µg per lane. The blocking buffer used was 3% non-fat dry milk in TBST. Detection was with a ECL Basic Kit.
Immunohistochemistry - Anti-Lamin A Antibody (A91083)
Immunohistochemistry analysis of paraffin-embedded mouse brain using Anti-Lamin A Antibody (A91083) at a dilution of 1:50 (40x lens). Perform high pressure antigen retrieval with 10 mM citrate buffer pH 6.0 before commencing with IHC staining protocol.
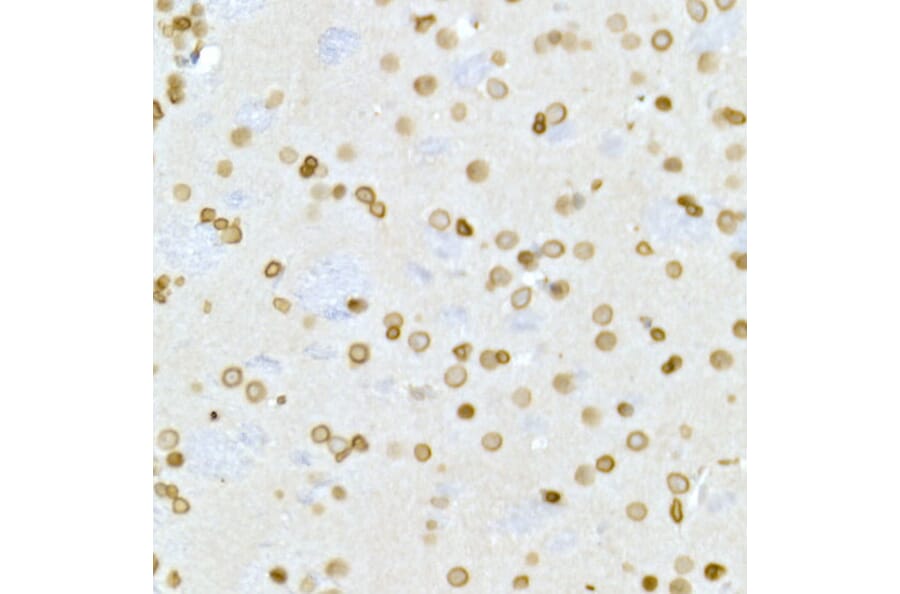
Immunohistochemistry - Anti-Lamin A Antibody (A91083)
Immunohistochemistry analysis of paraffin-embedded rat brain using Anti-Lamin A Antibody (A91083) at a dilution of 1:50 (40x lens). Perform high pressure antigen retrieval with 10 mM citrate buffer pH 6.0 before commencing with IHC staining protocol.
Immunohistochemistry - Anti-Lamin A Antibody (A91083)
Immunohistochemistry analysis of paraffin-embedded rat liver using Anti-Lamin A Antibody (A91083) at a dilution of 1:50 (40x lens). Perform high pressure antigen retrieval with 10 mM citrate buffer pH 6.0 before commencing with IHC staining protocol.
Immunofluorescence - Anti-Lamin A Antibody (A91083)
Immunofluorescence analysis of NIH-3T3 cells using Anti-Lamin A Antibody (A91083) at a dilution of 1:100. DAPI was used to stain the cell nuclei (blue).
Immunofluorescence - Anti-Lamin A Antibody (A91083)
Immunofluorescence analysis of U-2 OS cells using Anti-Lamin A Antibody (A91083) at a dilution of 1:100. DAPI was used to stain the cell nuclei (blue).
Immunoprecipitation analysis of 300µg extracts of K-562 cells using 3µg of Anti-Lamin A Antibody (A91083). This Western blot was performed on the immunoprecipitate using Anti-Lamin A Antibody (A91083) at a dilution of 1:1000.