Primary Antibodies
Secondary Antibodies
Proteins & Peptides
ELISA Kits
About Us
Contact Us
Sign In/Register
0
ISO 9001:2015 Certified
Live Customer Support
4.5/5 on Trustpilot
100% Quality Guarantee
Home
Primary Antibodies
MAPK15 Antibodies
Anti-MAPK15 Antibody (A45432)
Anti-MAPK15 Antibody (A45432)
Overview
Specifications
Images
Enlarge Image
Enlarge Image
$430
Product Datasheet
Rabbit polyclonal antibody to MAPK15 for IHC.
100% Guarantee
Price Match Guarantee
Product Size:
100µl
Quantity:
1
2
3
4
5
6
7
8
9
10
Add To Cart
Request a Quotation
Custom or Bulk Request
Shipping Information
Freight/Packing Charges:
$40
Dispatched from St. Louis, MO.
Lead Time: 6-9 business days.
Specifications
Name
Anti-MAPK15 Antibody
Description
Rabbit polyclonal antibody to MAPK15
Specificity
The antibody detects endogenous levels of total MAPK15 protein.
Applications
IHC
Reactivity
Human
Immunogen
Full length fusion protein
Host
Rabbit
Clonality
Polyclonal
Conjugate
Unconjugated
Purification
Antigen affinity purification.
Concentration
1.2 mg/mL
Formulation
Supplied in PBS, pH 7.3, containing 0.05% sodium azide and 50% glycerol.
Storage
Shipped at 4°C. Upon delivery aliquot and store at -20°C. Avoid freeze/thaw cycles.
Synonyms
ERK-7, ERK-8, ERK7, ERK8, Extracellular signal-regulated kinase 7, Extracellular signal-regulated kinase 8, MAP kinase 15, MAPK 15, Mitogen-activated protein kinase 15
Suitable Secondaries
Goat Anti-Rabbit IgG H&L Antibody (AP) (A294874)
Goat Anti-Rabbit IgG H&L Antibody (Biotin) (A294795)
Goat Anti-Rabbit IgG H&L Antibody (FITC) (A294887)
Goat Anti-Rabbit IgG H&L Antibody (HRP) (A294888)
See all Anti-Rabbit IgG Secondaries →
Disclaimer
This product is for research use only. It is not intended for diagnostic or therapeutic use.
Scientific Validation Data
Validation Data
(2)
Enlarge Image
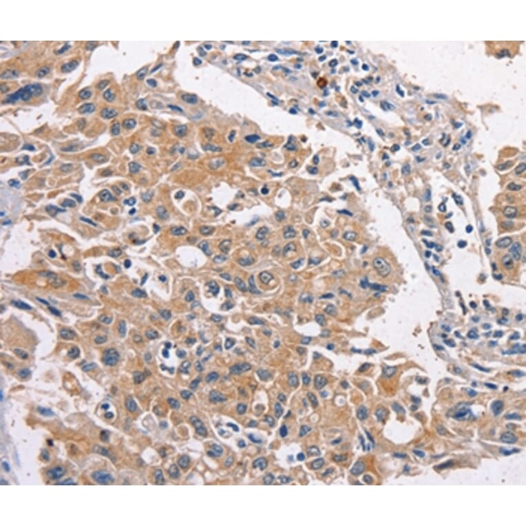
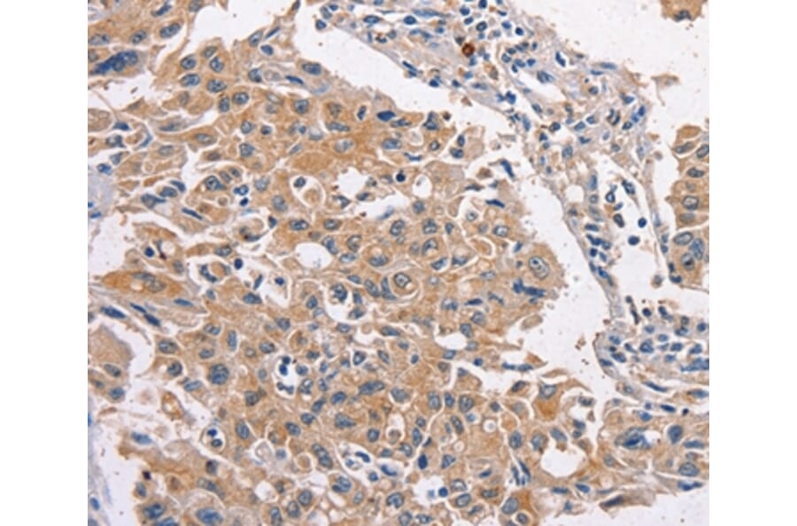
Immunohistochemistry - Anti-MAPK15 Antibody (A45432)
Immunohistochemical analysis of paraffin-embedded Human lung cancer tissue using #36197 at dilution 1/20.
Enlarge Image
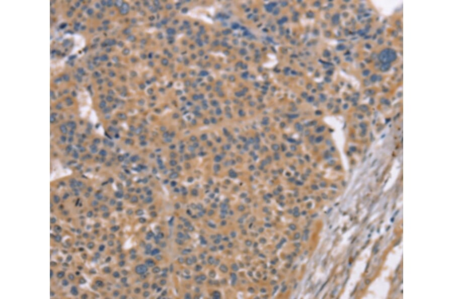
Immunohistochemistry - Anti-MAPK15 Antibody (A45432)
Immunohistochemical analysis of paraffin-embedded Human liver cancer tissue using #36197 at dilution 1/20.
Publishing research using Anti-MAPK15 Antibody (A45432)? Please
let us know
so that we can list the citation on this page.
Alternative products to Anti-MAPK15 Antibody (A45432)
(4)
A93516
Anti-ERK8 (phospho Thr175+Tyr177) Antibody
Rabbit polyclonal antibody to ERK8 (phospho Thr175+Tyr177) for WB, IHC, IF and ELISA.
(3)
A98407
Anti-ERK8 Antibody
Rabbit polyclonal antibody to ERK8 for WB, IHC, IF and ELISA.
(2)
A26278
Anti-ERK8 (D171) Antibody
Rabbit polyclonal antibody to ERK8 (D171) for WB, IHC and IF.
A100231
Anti-MAPK15 Antibody
Rabbit polyclonal antibody to MAPK15 for IHC, IF and ELISA.
(2)
A44576
Anti-MAPK15 Antibody
Rabbit polyclonal antibody to MAPK15 for IHC and ICC/IF.
A50718
Anti-ERK8 (Phospho-Thr175 / Tyr177) Antibody
Rabbit polyclonal antibody to ERK8 (Phospho-Thr175 / Tyr177) for WB.
(4)
A93516
Anti-ERK8 (phospho Thr175+Tyr177) Antibody
Rabbit polyclonal antibody to ERK8 (phospho Thr175+Tyr177) for WB, IHC, IF and ELISA.
(3)
A98407
Anti-ERK8 Antibody
Rabbit polyclonal antibody to ERK8 for WB, IHC, IF and ELISA.
(2)
A26278
Anti-ERK8 (D171) Antibody
Rabbit polyclonal antibody to ERK8 (D171) for WB, IHC and IF.
A100231
Anti-MAPK15 Antibody
Rabbit polyclonal antibody to MAPK15 for IHC, IF and ELISA.
(2)
A44576
Anti-MAPK15 Antibody
Rabbit polyclonal antibody to MAPK15 for IHC and ICC/IF.
A50718
Anti-ERK8 (Phospho-Thr175 / Tyr177) Antibody
Rabbit polyclonal antibody to ERK8 (Phospho-Thr175 / Tyr177) for WB.
See all MAPK15 Antibodies
Proteins predicted to interact with MAPK15
Predicted protein interactions based upon String database. Revelancy score correlates with probability of interaction.
CLIC3 Antibodies
97.7% Relevancy Score
CLIC1 Antibodies
83.9% Relevancy Score
ADCY9 Antibodies
74.3% Relevancy Score
GABARAP Antibodies
73.6% Relevancy Score
CDK2 Antibodies
68.4% Relevancy Score
HIC5 Antibodies
65.4% Relevancy Score
LC3B Antibodies
61.2% Relevancy Score
ERR alpha Antibodies
55.5% Relevancy Score
KIAA1688 Antibodies
55.4% Relevancy Score
Top