ISO 9001:2015 Certified
Live Customer Support
4.5/5 on Trustpilot
100% Quality Guarantee

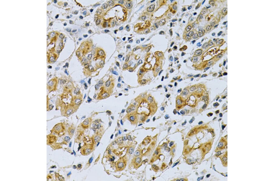
Anti-MASPIN Antibody (A89880)

This product is discontinued

Anti-MASPIN Antibody (A89880) has been discontinued and is no longer available.

View all MASPIN Antibodies.

Name
Anti-MASPIN Antibody
Description
Rabbit polyclonal antibody to MASPIN.
Applications
WB, IHC
Dilutions
WB: 1:500-1:2,000, IHC: 1:50-1:200
Reactivity
Human, Mouse
Immunogen
Recombinant fusion protein containing a sequence corresponding to amino acids 21-189 of human SERPINB5 (NP_002630.2).
Sequence
EKEPLGNVLFSPICLSTSLSLAQVGAKGDTANEIGQVLHFENVKDVPFGFQTVTSDVNKLSSFYSLKLIKRLYVDKSLNLSTEFISSTKRPYAKELETVDFKDKLEETKGQINNSIKDLTDGHFENILADNSVNDQTKILVVNAAYFVGKWMKKFSESETKECPFRVNK
Host
Rabbit
Clonality
Polyclonal
Isotype
IgG
Conjugate

Unconjugated

Purification
Affinity purification.
Molecular Weight
43 kDa
Product Form
Liquid
Formulation
Supplied in Phosphate Buffered Saline, pH 7.3, with 50% Glycerol and 0.02% Sodium Azide.
Storage
Shipped at 4°C. Upon delivery aliquot and store at -20°C. Avoid freeze / thaw cycles.
Synonyms
Peptidase inhibitor 5, PI-5, PI5, Serpin B5, SERPINB5
Disclaimer
This product is for research use only. It is not intended for diagnostic or therapeutic use.

Alternative products to Anti-MASPIN Antibody (A89880)

Proteins predicted to interact with Maspin

Predicted protein interactions based upon String database. Revelancy score correlates with probability of interaction.
81.4% Relevancy Score
77.9% Relevancy Score
70.9% Relevancy Score
64.8% Relevancy Score
63.2% Relevancy Score
62.7% Relevancy Score
61.9% Relevancy Score
61.8% Relevancy Score
61.2% Relevancy Score