ISO 9001:2015 Certified
Live Customer Support
4.5/5 on Trustpilot
100% Quality Guarantee

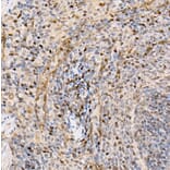
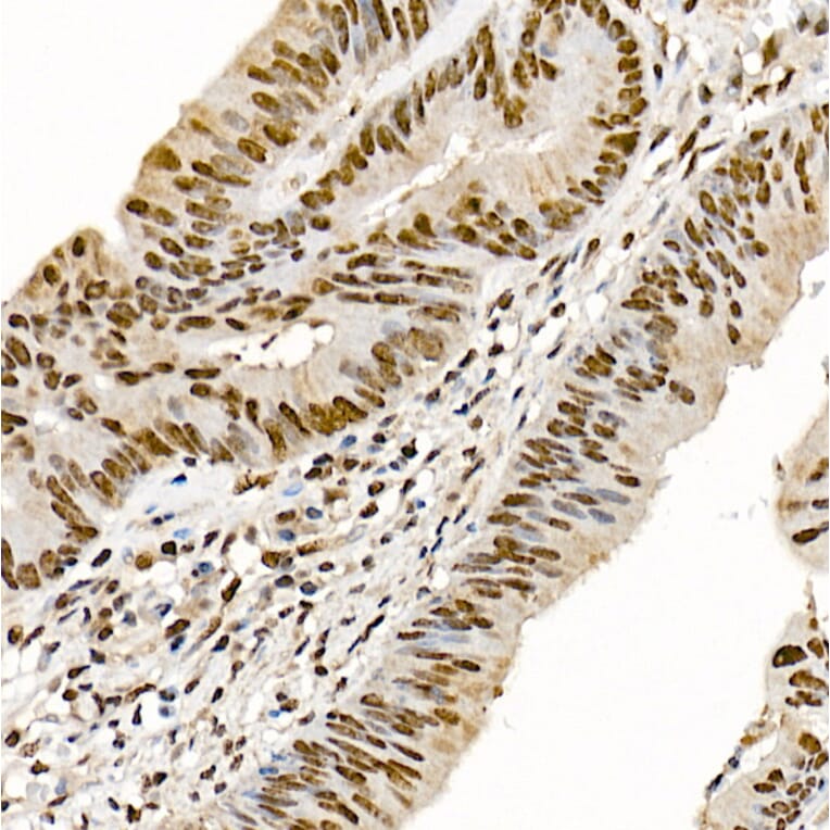
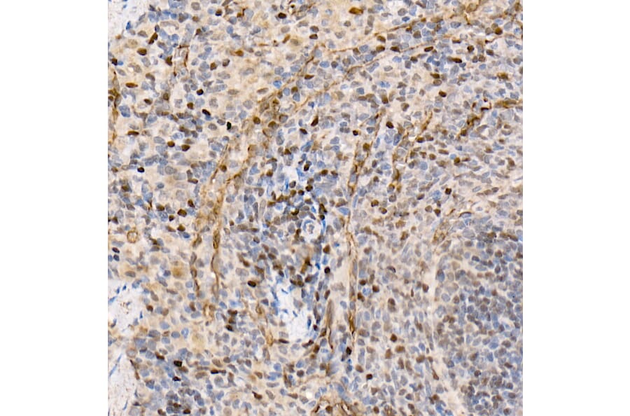
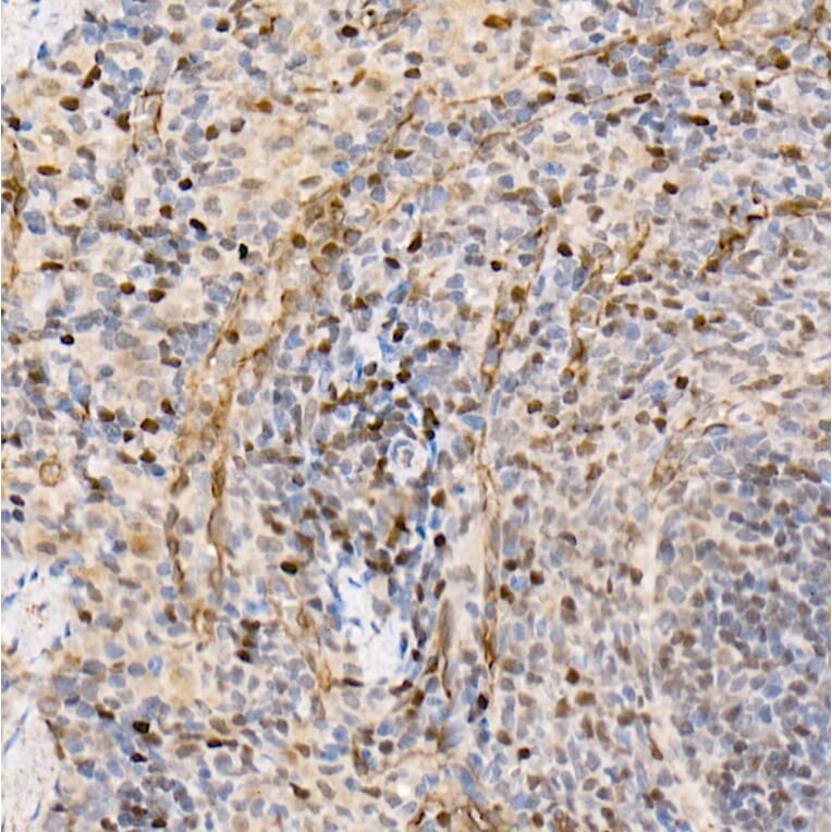
Anti-Metnase Antibody (A9984)

Rabbit polyclonal antibody to Metnase for IHC.

Shipping Information

$40
Dispatched from St. Louis, MO.
Lead Time: 7-10 business days.
Name
Anti-Metnase Antibody
Description
Rabbit polyclonal antibody to Metnase.
Applications
IHC
Dilutions
IHC: 1:50-1:200
Reactivity
Human
Immunogen
Recombinant fusion protein containing a sequence corresponding to amino acids 20-300 of human SETMAR (NP_006506.3).
Sequence
KPEAPTEQLDVACGQENLPVGAWPPGAAPAPFQYTPDHVVGPGADIDPTQITFPGCICVKTPCLPGTCSCLRHGENYDDNSCLRDIGSGGKYAEPVFECNVLCRCSDHCRNRVVQKGLQFHFQVFKTHKKGWGLRTLEFIPKGRFVCEYAGEVLGFSEVQRRIHLQTKSDSNYIIAIREHVYNGQVMETFVDPTYIGNIGRFLNHSCEPNLLMIPVRIDSMVPKLALFAAKDIVPEEELSYDYSGRYLNLTVSEDKERLDHGKLRKPCYCGAKSCTAFLPF
Host
Rabbit
Clonality
Polyclonal
Isotype
IgG
Conjugate

Unconjugated

Purification
Affinity purification.
Concentration
Lot Specific
Product Form
Liquid
Formulation
Supplied in Phosphate Buffered Saline, pH 7.3, with 50% Glycerol and 0.02% Sodium Azide.
Storage
Shipped at 4°C. Upon delivery aliquot and store at -20°C. Avoid freeze/thaw cycles.
Synonyms
Histone-lysine N-methyltransferase SETMAR, SET domain and mariner transposase fusion protein
Disclaimer
This product is for research use only. It is not intended for diagnostic or therapeutic use.
Publishing research using Anti-Metnase Antibody (A9984)? Please let us know so that we can list the citation on this page.

Alternative products to Anti-Metnase Antibody (A9984)

Proteins predicted to interact with SETMAR

Predicted protein interactions based upon String database. Revelancy score correlates with probability of interaction.
99.3% Relevancy Score
89.6% Relevancy Score
72.3% Relevancy Score
65.6% Relevancy Score
63.6% Relevancy Score
60.6% Relevancy Score
58.9% Relevancy Score
58.6% Relevancy Score
56.6% Relevancy Score