ISO 9001:2015 Certified
Live Customer Support
4.5/5 on Trustpilot
100% Quality Guarantee

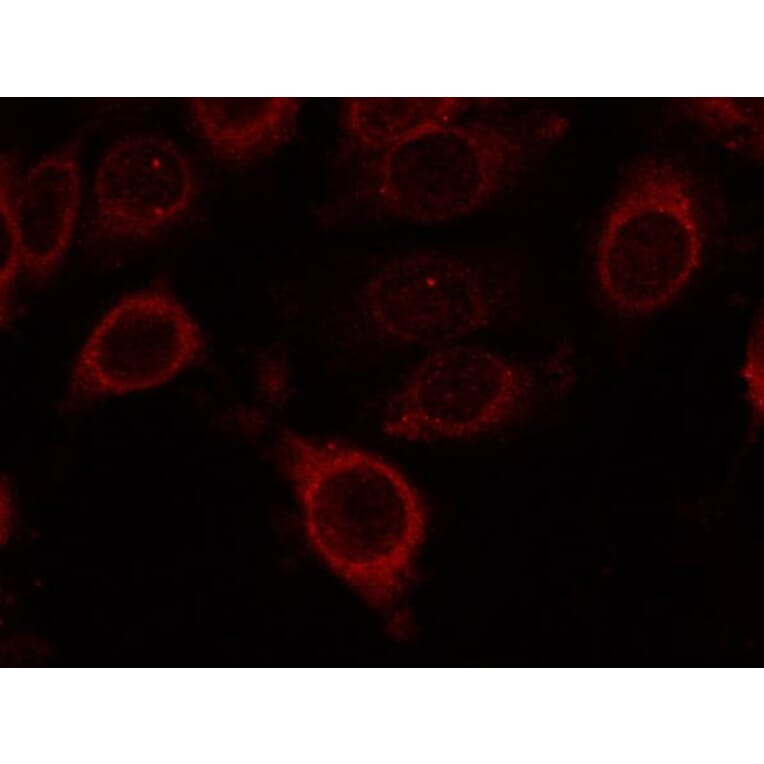
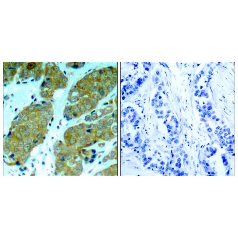
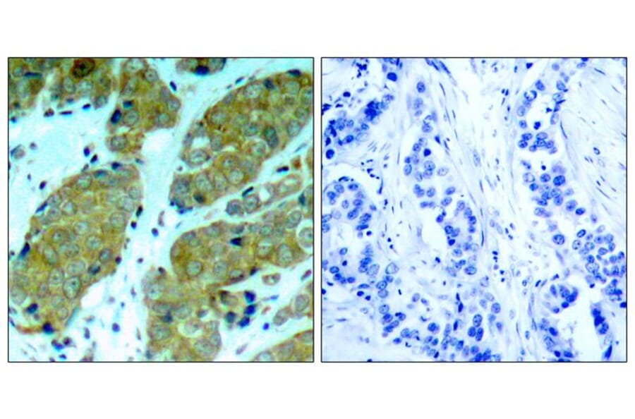
Anti-mTOR (Phospho-Ser2448) Antibody (A50181)

$290

Rabbit polyclonal antibody to mTOR (Phospho-Ser2448) for WB, IHC and IF.

Shipping Information

$40
Dispatched from St. Louis, MO.
Lead Time: 6-9 business days.
Name
Anti-mTOR (Phospho-Ser2448) Antibody
Description
Rabbit polyclonal antibody to mTOR (Phospho-Ser2448)
Specificity
The antibody detects endogenous level of mTOR only when phosphorylated at serine 2448.
Applications
WB, IHC, IF
Dilutions
Western blotting: 1:500~1:1000 Immunohistochemistry: 1:50~1:100 Immunofluorescence: 1:100~1:200
Reactivity
Human
Immunogen
Peptide sequence around phosphorylation site of serine 2448 (T-D-S(p)-Y-S) derived from Human mTOR.
Host
Rabbit
Clonality
Polyclonal
Conjugate

Unconjugated

Purification
Antibodies were produced by immunizing rabbits with synthetic phosphopeptide and KLH conjugates. Antibodies were purified by affinity-chromatography using epitope-specific phosphopeptide. Non-phospho specific antibodies were removed by chromatogramphy using non-phosphopeptide.
Concentration
1 mg/ml
Predicted MW
289kd
Formulation
Supplied at 1.0mg / mL in phosphate buffered saline (without Mg2+ and Ca2+), pH 7.4, 150mM NaCl, 0.02% sodium azide and 50% glycerol.
Storage
Store at -20°C for long term preservation (recommended). Store at 4°C for short term use.
Synonyms
FK506-binding protein 12-rapamycin complex-associated protein 1, FKBP12-rapamycin complex-associated protein, FRAP, FRAP1, FRAP2, Mammalian target of rapamycin, Mechanistic target of rapamycin, RAFT1, Rapamycin and FKBP12 target 1, Rapamycin target protein 1, RAPT1, Serine/threonine-protein kinase mTOR
Disclaimer
This product is for research use only. It is not intended for diagnostic or therapeutic use.
Publishing research using Anti-mTOR (Phospho-Ser2448) Antibody (A50181)? Please let us know so that we can list the citation on this page.

Alternative products to Anti-mTOR (Phospho-Ser2448) Antibody (A50181)

Proteins predicted to interact with mTOR

Predicted protein interactions based upon String database. Revelancy score correlates with probability of interaction.
99.9% Relevancy Score
99.9% Relevancy Score
99.9% Relevancy Score
99.9% Relevancy Score
99.9% Relevancy Score
99.9% Relevancy Score
99.9% Relevancy Score
99.9% Relevancy Score
99.9% Relevancy Score