ISO 9001:2015 Certified
Live Customer Support
4.5/5 on Trustpilot
100% Quality Guarantee

Recombinant Anti-MYH11 Antibody [MYH11/4337R] - BSA and Azide free (A278622)

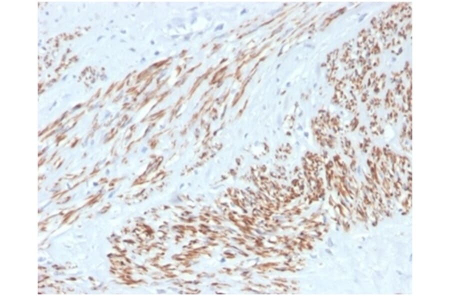
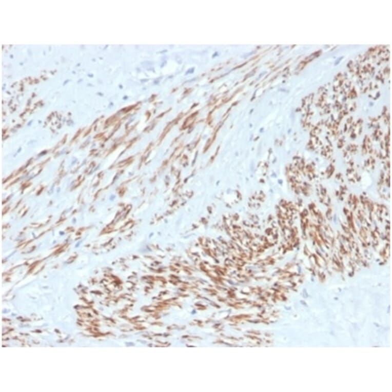
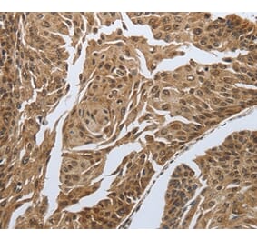
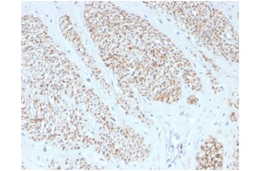
Recombinant rabbit monoclonal [MYH11/4337R] antibody to MYH11 for IHC-P.

Alternative Formats and ConjugatesAlternative Formats

Shipping Information

$40
Dispatched from St. Louis, MO.
Lead Time: 5-8 business days.
Name
Anti-MYH11 Antibody [MYH11/4337R] - BSA and Azide free
Description
Recombinant rabbit monoclonal [MYH11/4337R] antibody to MYH11.
Specificity
Smooth Muscle Myosin, heavy chain (SMM-HC) is a cytoplasmic structural protein that is a major component of the contractile apparatus of the smooth muscle cells. Expression of smooth muscle myosin is developmentally regulated, appearing early and is specific for smooth muscle development. SM-MHC stains the intact myoepithelial cell (MEC) layers present in benign and in situ malignant breast and bronchioloalveolar lesions and is therefore very helpful in distinguishing between benign and malignant tumors. The antibody reacts with smooth muscle cells and myoepithelial cells, but not with myofibroblasts. It is very helpful in distinguishing between benign sclerosing breast lesions and infiltrating carcinomas in difficult cases since it strongly stains the myoepithelial layer in the benign lesions while it is negative in the infiltrating carcinomas.
Applications
IHC-P
Dilutions
IHC-P: 1-2 µg/ml
Reactivity
Human
Immunogen
Recombinant fragment, around amino acids 1-100, of human Myosin (smooth muscle).
Host
Rabbit
Clonality
Monoclonal
Clone ID
MYH11/4337R
Isotype
IgG
Light Chains
kappa
Conjugate

Unconjugated

Purification
Protein A/G chromatography.
Concentration
1 mg/ml
Molecular Weight
227 kDa
Product Form
Liquid
Formulation
Supplied in 10mM Phosphate Buffered Saline; without Sodium Azide and carrier free.
Storage
Shipped at 4°C. Upon delivery aliquot and store at -20°C. Avoid freeze / thaw cycles.
General Notes
This monoclonal antibody is also available in a different formulation with BSA and Sodium Azide - Anti-MYH11 Antibody [MYH11/4337R] (A278034).
Synonyms
KIAA0866, Myosin heavy chain 11, Myosin heavy chain, smooth muscle isoform, Myosin-11, SMMHC
Disclaimer
This product is for research use only. It is not intended for diagnostic or therapeutic use.
Publishing research using Recombinant Anti-MYH11 Antibody [MYH11/4337R] - BSA and Azide free (A278622)? Please let us know so that we can list the citation on this page.

Alternative products to Anti-MYH11 Antibody [MYH11/4337R] - BSA and Azide free (A278622)

Proteins predicted to interact with MYH11

Predicted protein interactions based upon String database. Revelancy score correlates with probability of interaction.
99.3% Relevancy Score
98.6% Relevancy Score
98.1% Relevancy Score
97.8% Relevancy Score
96.8% Relevancy Score
96.8% Relevancy Score
96.1% Relevancy Score