Primary Antibodies
Secondary Antibodies
Proteins & Peptides
ELISA Kits
About Us
Contact Us
Sign In/Register
0
ISO 9001:2015 Certified
Live Customer Support
4.5/5 on Trustpilot
100% Quality Guarantee
Home
Primary Antibodies
Nanog Antibodies
Anti-NANOG Antibody (A48027)
Anti-NANOG Antibody (A48027)
Overview
Specifications
Images
Enlarge Image
Enlarge Image
$780
Product Datasheet
Rabbit polyclonal antibody to NANOG for ELISA, WB and IHC.
100% Guarantee
Price Match Guarantee
Product Size:
100µl
Quantity:
1
2
3
4
5
6
7
8
9
10
Add To Cart
Request a Quotation
Custom or Bulk Request
Shipping Information
Freight/Packing Charges:
$40
Dispatched from St. Louis, MO.
Lead Time: 6-9 business days.
Tags:
iPSCs Marker
Specifications
Name
Anti-NANOG Antibody
Description
Rabbit polyclonal antibody to NANOG
Applications
ELISA
,
WB
,
IHC
Reactivity
Human, Mouse, Rat
Immunogen
Raised against a 19 amino acid peptide near the center of human NANOG.
Host
Rabbit
Clonality
Polyclonal
Conjugate
Unconjugated
Purification
Affinity chromatography purified via peptide column
Formulation
Supplied in phosphate-buffered saline with 0.02% Sodium Azide.
Storage
Shipped at 4°C. Upon delivery aliquot and store at -20°C. Avoid freeze/thaw cycles.
Synonyms
hNanog, Homeobox protein NANOG, Homeobox transcription factor Nanog
Suitable Secondaries
Goat Anti-Rabbit IgG H&L Antibody (AP) (A294874)
Goat Anti-Rabbit IgG H&L Antibody (Biotin) (A294795)
Goat Anti-Rabbit IgG H&L Antibody (FITC) (A294887)
Goat Anti-Rabbit IgG H&L Antibody (HRP) (A294888)
See all Anti-Rabbit IgG Secondaries →
Disclaimer
This product is for research use only. It is not intended for diagnostic or therapeutic use.
Scientific Validation Data
Validation Data
(2)
Enlarge Image
Anti-NANOG Antibody (A48027)
Western blot analysis of NANOG in human spleen tissue lysate with NANOG antibody at (A) 1 and (B) 2 µg/mL.
Enlarge Image
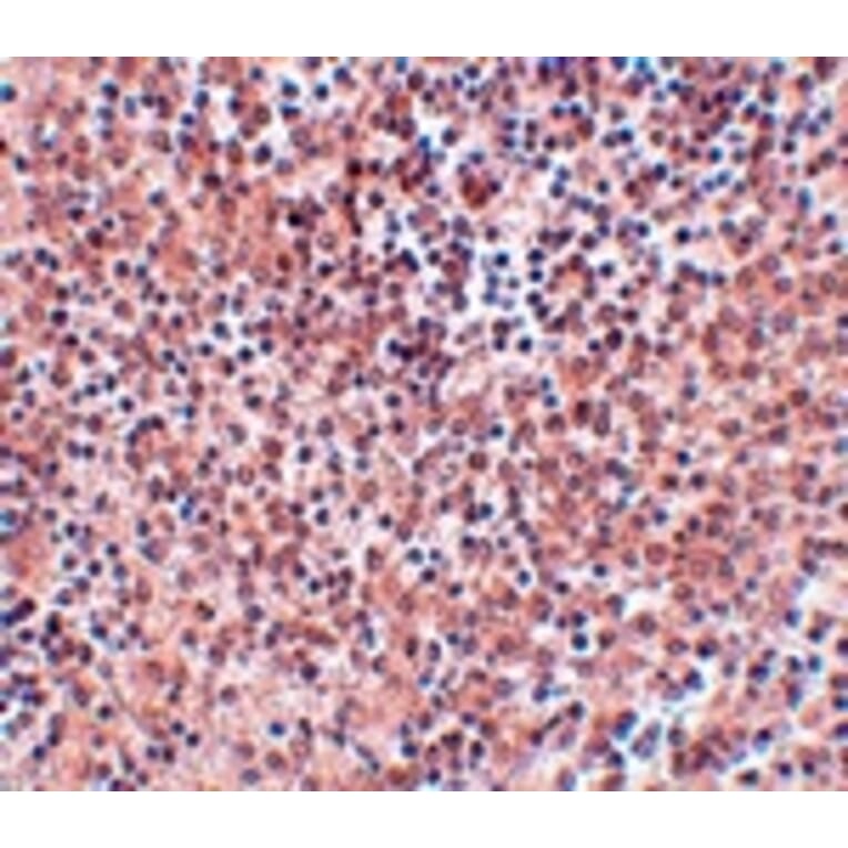
Immunohistochemistry - Anti-NANOG Antibody (A48027)
Immunohistochemistry of NANOG in human spleen tissue with NANOG antibody at 5 µg/mL.
Publishing research using Anti-NANOG Antibody (A48027)? Please
let us know
so that we can list the citation on this page.
Alternative products to Anti-NANOG Antibody (A48027)
(2)
A84113
Anti-Nanog Antibody
Goat polyclonal antibody to Nanog for ELISA, WB, IF and IHC.
(2)
A9165
Anti-Nanog Antibody
Rabbit polyclonal antibody to Nanog for WB and IHC.
(2)
A84315
Anti-Nanog Antibody
Goat polyclonal antibody to Nanog for ELISA, WB and IHC.
A309414
Anti-Nanog Antibody [ARC58438]
Rabbit monoclonal [ARC58438] antibody to Nanog for WB.
A320157
Anti-Nanog Antibody
Rabbit polyclonal antibody to Nanog for ChIP, IF and WB.
A85213
Anti-Nanog Antibody
Goat polyclonal antibody to Nanog for ELISA and WB.
A58116
Anti-Nanog Antibody [P5A10AT]
Mouse monoclonal [P5A10AT] antibody to Nanog for ELISA, WB and IHC.
A42599
Anti-Nanog Antibody
Rabbit polyclonal antibody to Nanog for WB.
(2)
A45771
Anti-NANOG Antibody
Rabbit polyclonal antibody to NANOG for IHC.
A295493
Anti-Nanog Antibody
Rabbit polyclonal antibody to Nanog for WB.
A306623
Anti-Nanog Antibody
Rabbit polyclonal antibody to Nanog for WB.
A324484
Anti-Nanog Antibody [IHC634]
Mouse monoclonal [IHC634] antibody to Nanog for IHC-P.
(2)
A84113
Anti-Nanog Antibody
Goat polyclonal antibody to Nanog for ELISA, WB, IF and IHC.
(2)
A9165
Anti-Nanog Antibody
Rabbit polyclonal antibody to Nanog for WB and IHC.
(2)
A84315
Anti-Nanog Antibody
Goat polyclonal antibody to Nanog for ELISA, WB and IHC.
A309414
Anti-Nanog Antibody [ARC58438]
Rabbit monoclonal [ARC58438] antibody to Nanog for WB.
A320157
Anti-Nanog Antibody
Rabbit polyclonal antibody to Nanog for ChIP, IF and WB.
A85213
Anti-Nanog Antibody
Goat polyclonal antibody to Nanog for ELISA and WB.
A58116
Anti-Nanog Antibody [P5A10AT]
Mouse monoclonal [P5A10AT] antibody to Nanog for ELISA, WB and IHC.
A42599
Anti-Nanog Antibody
Rabbit polyclonal antibody to Nanog for WB.
(2)
A45771
Anti-NANOG Antibody
Rabbit polyclonal antibody to NANOG for IHC.
A295493
Anti-Nanog Antibody
Rabbit polyclonal antibody to Nanog for WB.
A306623
Anti-Nanog Antibody
Rabbit polyclonal antibody to Nanog for WB.
A324484
Anti-Nanog Antibody [IHC634]
Mouse monoclonal [IHC634] antibody to Nanog for IHC-P.
See all NANOG Antibodies
Proteins predicted to interact with Nanog
Predicted protein interactions based upon String database. Revelancy score correlates with probability of interaction.
SALL4 Antibodies
99.9% Relevancy Score
OCT4 Antibodies
99.9% Relevancy Score
SOX2 Antibodies
99.9% Relevancy Score
STAT3 Antibodies
99.5% Relevancy Score
KLF4 Antibodies
99.4% Relevancy Score
TET1 Antibodies
99.3% Relevancy Score
CD44 Antibodies
98.7% Relevancy Score
LIN28A Antibodies
98% Relevancy Score
NANOGP8 Antibodies
98% Relevancy Score
Top